Unfortunately, the content on this page is not available in
English.
Please press continue to read the content in Vietnamese.
Thank you for your understanding!
Chủ đề Màng cứng

Trang chủ
Chủ đề Màng cứng
Danh sách bài viết

Gây tê tủy sống và gây tê ngoài màng cứng khác nhau thế nào?
Chào bác sĩ. Tôi hiện tại sắp tới ngày dự sinh và đang tham khảo phương pháp đẻ không đau. Bác sĩ cho tôi hỏi gây tê tủy sống và gây tê ngoài màng cứng khác nhau ở đâu? Phương pháp gây tê ngoài màng cứng có tác dụng thế nào? Mong bác sĩ tư vấn giúp tôi. Tôi xin chân thành cảm ơn.
Xem thêm

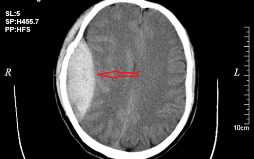
Điều trị hút máu tụ dưới màng cứng có ảnh hưởng đến trí nhớ không?
Cho em hỏi, điều trị hút máu tụ dưới màng cứng có ảnh hưởng đến trí nhớ không ạ? Nếu có ảnh hưởng thì có cách nào giúp bệnh nhân điều trị và phục hồi tốt nhất không ạ? Mong bác sĩ tư vấn giúp em. Em xin chân thành cảm ơn.
Xem thêm

Gây tê ngoài màng cứng thực chất là tiêm thuốc tê trực tiếp vào dây thần kinh hoặc trong ống cột sống phải không?
Chào bác sĩ! Cho em hỏi, gây tê ngoài màng cứng thực chất là tiêm thuốc tê trực tiếp vào dây thần kinh hoặc trong ống cột sống phải không ạ? Cảm ơn bác sĩ!
Xem thêm