Unfortunately, the content on this page is not available in
English.
Please press continue to read the content in Vietnamese.
Thank you for your understanding!
Chủ đề Quy trình chụp cộng hưởng từ
Trang chủ
Chủ đề Quy trình chụp cộng hưởng từ
Danh sách bài viết
Chụp cộng hưởng từ (MRI) có ích lợi gì?
Chụp cộng hưởng từ MRI là một trong những phương pháp chẩn đoán hình ảnh cận lâm sàng hiện đại và hiệu quả, mang đến hình ảnh rõ nét và chẩn đoán chính xác tình hình bệnh. Chụp cộng hưởng từ giúp chẩn đoán nhiều bệnh lý hiệu quả hơn các phương pháp cận lâm sàng khác.
Xem thêm
Chụp cộng hưởng từ khuếch tán (DWI-Diffusion-weighted Imaging)
Trong những năm gần đây, hình ảnh cộng hưởng từ khuếch tán được áp dụng để đánh giá các bệnh lý nội sọ, chẳng hạn như tai biến mạch não, trong chấn thương, các bệnh lý nhiễm trùng- nhiễm độc thần kinh, đặc biệt là trong bệnh lý nhồi máu não.
Xem thêm
Tìm hiểu về chụp cộng hưởng từ bìu, dương vật
Chụp cộng hưởng từ bìu và dương vật là phương pháp chẩn đoán hình ảnh cận lâm sàng hiện đại và đem lại kết quả chính xác cao, giúp các bác sĩ có thể thăm khám và đưa ra phương án điều trị bệnh tốt.
Xem thêm
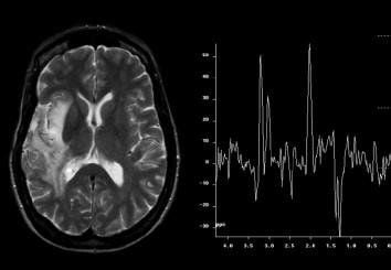
Chụp cộng hưởng từ phổ não (spect tính rography)
Chụp cộng hưởng từ phổ (MRC) là kỹ thuật dùng từ trường và sóng RF để xác định nồng độ các chất chuyển hóa trong mô sống. Theo đó, cộng hưởng từ phổ não thường sử dụng các chất chuyển hóa chứa P, Na, K, C, N, F để đánh giá nồng độ các chất chuyển hóa để thu được phổ với các đỉnh tương ứng là nồng độ các chất trong vùng khảo sát.
Xem thêm