Chủ đề U nguyên bào thần kinh đệm
Chủ đề U nguyên bào thần kinh đệm
Trang chủ Chủ đề U nguyên bào thần kinh đệm

Danh sách bài viết

Slide item
Công dụng thuốc Temobela
Temobela thuộc nhóm thuốc chống ung thư và tác động vào hệ miễn dịch, được sử dụng để điều trị u nguyên bào thần kinh. Hãy cùng tìm hiểu về thông tin thuốc Temobela thông qua bài viết dưới đây.
Xem thêm
Slide item
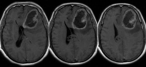
U nguyên bào thần kinh đệm (GBM) não trán trái là gì?
Bác sĩ cho em hỏi về bệnh u não thuỳ trán trái và GBM. Bác sĩ có thể tư vấn cho em u nguyên bào thần kinh đệm (GBM) não trán trái là gì? Cũng như phương pháp điều trị.
Xem thêm
Slide item
Đột biến gen IDH1 và IDH2 trên bệnh nhân ung thư
Theo phân loại khối u của hệ thần kinh trung ương của WHO năm 2016, xét nghiệm đánh giá sự đột biến của gen IDH1 và IDH2 được khuyến cáo cho tất cả bệnh nhân gliomas grade II – III và GBM chẩn đoán trước 55 tuổi. Đột biến thường gặp nhất của IDH1 là R132H có thể được phát hiện bởi xét nghiệm hóa mô miễn dịch (IHC). Với những đột biến còn lại của gen IDH1 và IDH2 có thể được phát hiện thông qua giải trình tự DNA.
Xem thêm
Slide item
Các phương pháp điều trị u nguyên bào thần kinh đệm
Tuy có tiên lượng không cao, nhưng các phương pháp điều trị đối với u nguyên bào thần kinh đệm như phẫu thuật và xạ trị có thể kéo dài tuổi thọ của người bệnh thêm 2 năm sau khi phát hiện.
Xem thêm
Slide item
Chẩn đoán u nguyên bào thần kinh đệm
U não tiên phát ác tính vẫn là một thách thức trong y khoa. U nguyên bào thần kinh đệm (còn gọi là u tế bào thần kinh đệm độ IV, u sao bào độ IV) là u não tiên phát phổ biến và ác tính nhất.
Xem thêm
Slide item
U thần kinh trung ương ở trẻ em: Những điều cần biết
U thần kinh trung ương không phải là tên một bệnh, mà là một nhóm bệnh, bao gồm cả các u lành tính và ác tính. Ở trẻ em thường gặp những loại u thần kinh trung ương nào, chúng ta hãy cùng tìm hiểu qua bài viết dưới đây.
Xem thêm
Slide item
Các giai đoạn của u nguyên bào thần kinh ở trẻ em
U nguyên bào thần kinh là bệnh lý được phát hiện ở trẻ nhỏ dưới 5 tuổi. Cũng như những căn bệnh ung thư khác, bệnh u nguyên bào thần kinh tiến triển qua nhiều giai đoạn khác nhau. Hiểu rõ các giai đoạn phát triển của bệnh sẽ giúp bệnh nhân u nguyên bào thần kinh được điều trị đúng phương pháp và sớm phục hồi.
Xem thêm
Slide item
Có thuốc giảm đau và hạn chế khối u thần kinh đệm phát triển không?
Chào bác sĩ, mẹ cháu bị u thần kinh đệm bậc cao cấp độ IV, đã mổ được 3 tháng. Bây giờ khối u mọc lại. Có thuốc gì giảm đau và hạn chế khối u phát triển không ạ? Mong bác sĩ tư vấn cho cháu.
Xem thêm
Slide item
Sau điều trị u nguyên bào thần kinh đệm bị co giật có phải bệnh tái phát không?
U nguyên bào thần kinh đệm phẫu thuật và xạ tia 30 liều sau 1 tuần vẫn co giật liệu có phải tái phát không ạ?
Xem thêm
Slide item
U não nguyên phát và thứ phát là gì?
Nếu như các khối u não nguyên phát hình thành từ chính não bộ hoặc trong các mô gần não thì u não thứ phát lại khởi phát khi các tế bào bình thường gặp lỗi (đột biến) trong DNA của chúng. Hiện nay, các lựa chọn điều trị phụ thuộc vào loại u não mà người bệnh mắc phải, cũng như kích thước và vị trí của nó.
Xem thêm
Slide item
Công dụng thuốc Carmustine
Carmustine là một loại thuốc chống ung thư được dùng điều trị một số loại khối u não; u nguyên bào thần kinh đệm, u thần kinh đệm thân não, u tế bào hình sao, u ependymoma,.... Hãy tìm hiểu công dụng thuốc Carmustine qua bài viết dưới đây.
Xem thêm
Câu chuyện khách hàng Thông tin sức khỏe