Ở tuổi 59, bác L. dù sống tại Hà Nội vẫn quyết định “ngược dòng” về Bệnh viện Đa khoa Quốc tế Vinmec Hải Phòng, với mong muốn được TS.BS Nguyễn Hữu Mạnh – chuyên gia chấn thương chỉnh hình – trực tiếp phẫu thuật thay khớp háng.
Hành trình ngược dòng từ Thủ đô về Thành phố Cảng để tìm lại bước đi
Dưới đây là câu chuyện của bác L, 59 tuổi, đang sinh sống tại Hà Nội cùng các con. Bác bắt đầu xuất hiện tình trạng đau khớp háng 2 bên nhiều tháng nay, đã đi khám nhiều cơ sở uy tín tại Hà Nội, được chẩn đoán hoại tử chỏm xương đùi 2 bên. Sau quá trình trải qua điều trị nội khoa và vật lý trị liệu, tình trạng đau không có dấu hiệu thuyên giảm. Đặc biệt khớp háng phải đau tăng nhiều kèm hạn chế vận động, sinh hoạt. Các bác sĩ tuyến trung ương cũng đã đưa ra lời khuyên thay khớp háng phải toàn phần. Sau một thời gian tìm hiểu từ nhiều nguồn thông tin và tư vấn từ nhiều bác sĩ khác, ông đã quyết định từ Hà Nội về Vinmec Hải Phòng để được thăm khám và điều trị trực tiếp với Tiến sĩ, Bác sĩ Nguyễn Hữu Mạnh - Giám đốc bệnh viện Vinmec Hải Phòng.
Bác L. có tiền sử phẫu thuật cố định cột sống thắt lưng. Trong nhiều tháng gần đây, ông bị đau khớp háng liên tục, cơn đau ngày càng tăng khiến:
- Đi lại vô cùng khó khăn, thậm chí chỉ xoay người trên giường cũng đau nhói.
- Vận động bị hạn chế nghiêm trọng, sinh hoạt thường ngày trở nên nặng nề.
- Chất lượng cuộc sống giảm sút, giấc ngủ không trọn vẹn vì cơn đau hành hạ.
TS.BS Nguyễn Hữu Mạnh đưa ra chẩn đoán quyết định vận mệnh
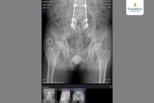
Tới Bệnh viện Đa khoa Vinmec Hải Phòng, bệnh nhân được tham khám và tư vấn trực tiếp với TS.BS Nguyễn Hữu Mạnh - Giám đốc Bệnh viện Đa khoa Vinmec Hải Phòng. Tại đây, sau khi thăm khám và đánh giá phim MRI và X - quang, bác sĩ chẩn đoán bệnh nhân bị hoại tử chỏm xương đùi mức độ nặng - tình trạng mà phần chỏm xương mất hoàn toàn chức năng, không thể hồi phục bằng các phương pháp bảo tồn. Bệnh nhân được các bác sĩ chuyên khoa chỉ định phẫu thuật thay khớp háng toàn phần để lấy lại khả năng vận động.

Lý do lựa chọn Bệnh viện Đa khoa Vinmec Hải Phòng?
Câu trả lời nằm ở hai chữ “NIỀM TIN”:
- Đội ngũ chuyên môn: Bệnh viện Đa khoa Vinmec Hải Phòng hội tụ các bác sĩ chấn thương chỉnh hình giàu kinh nghiệm, thường xuyên thực hiện các ca phẫu thuật thay khớp háng, khớp gối phức tạp.
- Trang thiết bị hiện đại: Hệ thống phòng mổ và dụng cụ mổ tiên tiến, đặc biệt là công nghệ vô khuẩn tuyệt đối, giảm tối đa nguy cơ nhiễm trùng sau mổ, đảm bảo an toàn tối đa cho bệnh nhân.
- Dịch vụ tận tâm: Không chỉ điều trị bệnh, Bệnh viện Đa khoa Vinmec Hải Phòng còn chăm sóc từ dinh dưỡng, vật lý trị liệu đến tư vấn tâm lý, tạo cảm giác yên tâm trọn vẹn, giúp bệnh nhân không chỉ “hết bệnh” mà còn “sống khỏe”.
Với bệnh nhân, lựa chọn rời Hà Nội để đến Bệnh viện Đa khoa Vinmec Hải Phòng “đi xa một chút nhưng yên tâm trọn vẹn” là lựa chọn xứng đáng.
Ca mổ thay khớp háng – Cuộc “tái sinh” trong phòng mổ
Ca phẫu thuật của Bác L. được thực hiện thành công dưới sự thực hiện trực tiếp phẫu thuật của TS.BS Nguyễn Hữu Mạnh - một trong những chuyên gia hàng đầu trong lĩnh vực chấn thương chỉnh hình và y học thể thao. Với tay nghề vững vàng, kinh nghiệm dày dặn và sự tận tâm, TS.BS Nguyễn Hữu Mạnh đã giúp hàng ngàn bệnh nhân chấn thương chỉnh hình, đặc biệt là các ca phẫu thuật khớp háng, khớp gối phức tạp, giúp bệnh nhân tìm lại khả năng vận động.
Sau khi được hội chẩn kỹ lưỡng, bệnh nhân được chỉ định thay toàn bộ khớp háng nhân tạo. Ca phẫu thuật diễn ra thuận lợi và chỉ sau vỏn vẹn 12 giờ, bệnh nhân đã có thể tập đứng, tập đi lại dưới sự hướng dẫn của đội ngũ vật lý trị liệu.

Bệnh viện Đa khoa Vinmec Hải Phòng - “Bến đỗ” tin cậy cho bệnh nhân
Câu chuyện bệnh nhân ngược dòng từ Hà Nội về Hải Phòng không chỉ là lựa chọn cá nhân, mà còn là minh chứng cho:
- Uy tín và thương hiệu Bệnh viện Đa khoa Vinmec Hải Phòng vượt ra ngoài ranh giới địa phương.
- Niềm tin bệnh nhân đặt vào chất lượng chuyên môn và dịch vụ toàn diện.
- Sứ mệnh “Chăm sóc bằng tài năng, y đức và sự thấu cảm” mà Bệnh viện Đa khoa Vinmec Hải Phòng luôn theo đuổi.
Sức khỏe xương khớp là vốn quý. Đừng ngần ngại tìm đến Bệnh viện Đa khoa Vinmec Hải Phòng, điểm đến cho những bước đi vững chắc và cuộc sống trọn vẹn, để được thăm khám và tư vấn kịp thời.
Để đặt lịch khám tại viện, Quý khách vui lòng bấm số HOTLINE hoặc đặt lịch trực tiếp TẠI ĐÂY. Tải và đặt lịch khám tự động trên ứng dụng MyVinmec để quản lý, theo dõi lịch và đặt hẹn mọi lúc mọi nơi ngay trên ứng dụng.