Bệnh viêm não do virus Herpes simplex: Nguyên nhân, triệu chứng và cách điều trị

Mục lục

Bài viết được viết bởi Bác sĩ Lê Xuân Luật - Bệnh viện Đa khoa Quốc tế Vinmec Times City.

Viêm não là tình trạng viêm nhu mô não, gây ra các biến đổi chức năng của não bộ như rối loạn ý thức, rối loạn vận động, nhận thức, cảm nhận, thay đổi các hành vi, hoặc gây ra liệt mặt, liệt bán thân.

1. Viêm não do HSV

Khi nhắc đến viêm não thường được hiểu là viêm não do virus gây nên. Viêm não do HSV là bệnh lý nhiễm trùng thần kinh trung ương cấp tính, xuất hiện tản phát, không theo mùa. HSV xâm nhập nhu mô não, gây hoại tử kèm xuất huyết não.

Viêm não do HSV thường khởi phát nhanh, cấp tính, tỷ lệ tử vong cao. Triệu chứng biểu hiện như sốt, rối loạn ý thức, diễn biến nặng. Nếu được phát hiện sớm, điều trị đặc hiệu kịp thời, chăm sóc tích cực, người bệnh có tiên lượng tốt hơn.


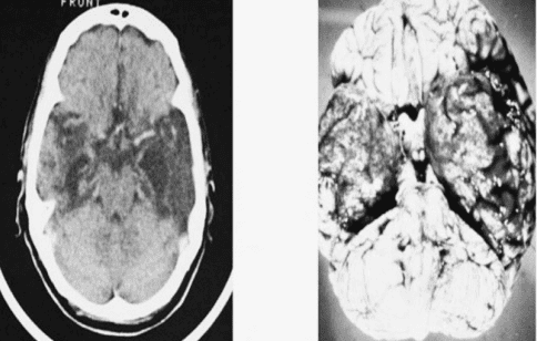
Viêm não do HSV gây ra nhiều biến chứng nguy hiểm
Viêm não do HSV gây ra nhiều biến chứng nguy hiểm

2. Nguyên nhân

Có nhiều loại virus có thể gây viêm não, virus Herpes simplex (HSV) là một trong những căn nguyên phổ biến. Trong 8 chủng HSV có thể gây bệnh ở người, HSV-1 là căn nguyên gây viêm não thường gặp nhất ở người. HSV gây viêm não chủ yếu bởi HSV-1, chiếm đến hơn 95% ca bệnh viêm não do HSV gây ra. Còn lại, HSV-2 chiếm dưới 5% các ca bệnh.

Tỷ lệ viêm não do HSV-1 gây ra ở người là 2-4/1.000.000 người. Trong số các ca tử vong do viêm não virus, HSV-1 chiếm 10%-20% trong số 20.000 ca nhiễm viêm não virus hàng năm.


Hình ảnh virus Herpes simplex 2 gây viêm não
Hình ảnh virus Herpes simplex 2 gây viêm não

HSV là virus thuộc họ Herpeviridae. HSV có cấu trúc DNA sợi kép, có khả năng tự nhân lên trong tế bào vật chủ. Tên herpes có nguồn gốc từ tiếng Hy lạp, herpein, có nghĩa là “leo" miêu tả khả năng gây nhiễm trùng tiềm ẩn của nhóm virus này.

HSV được xếp vào căn nguyên gây viêm não tiên phát, do khả năng tồn tại tiềm tàng ở cơ thể người trong thời gian dài, virus tái hoạt động và xâm nhập hệ thần kinh trung ương gây viêm não.

3. Triệu chứng lâm sàng

Khởi phát đột ngột, cấp tính. Người bệnh có sốt cao, đau đầu. Người bệnh có thể thay đổi nhận thức, giảm trí nhớ, thay đổi tính cách, thay đổi các cảm nhận mùi, nặng nề hơn có thể có hôn mê, co giật. Thăm khám có thể có gáy cứng hoặc dấu hiệu Kernig.

4. Chẩn đoán viêm não do HSV

Cần nghĩ đến viêm não do HSV ở bất kỳ người bệnh nào có biểu hiện viêm não cấp. Để chẩn đoán xác định cần lấy dịch não tuỷ để làm xét nghiệm như PCR tìm HSV. Ngoài ra chụp cộng hưởng từ sọ não cũng rất cần thiết trong chẩn đoán.


Chụp cộng hưởng từ cho phép chẩn đoán hình ảnh chính xác, an toàn
Chụp cộng hưởng từ cho phép chẩn đoán hình ảnh chính xác, an toàn

5. Điều trị đặc hiệu

Thuốc điều trị đặc hiệu cho HSV là Acycolvir truyền tĩnh mạch. Khi phát hiện sớm, và nghi ngờ viêm não do HSV cần chỉ định dùng Acyclovir sớm nhất có thể.

6. Điều trị hỗ trợ

Người bệnh viêm não do HSV cần điều trị tích cực trong giai đoạn đầu tại đơn vị hồi sức tích cực, cần theo dõi các chức năng sống như hô hấp, tuần hoàn chặt chẽ. Các điều trị hỗ trợ khác như:

  • Hạ sốt bằng paracetamol.
  • Bù nước, điều chỉnh rối loạn nước và điện giải.
  • Điều trị co giật.
  • Dùng kháng sinh nếu có bội nhiễm vi khuẩn.

Kháng sinh có hiệu quả trong việc điều trị hỗ trợ bệnh viêm não do HSV
Kháng sinh có hiệu quả trong việc điều trị hỗ trợ bệnh viêm não do HSV

Bệnh viện Đa khoa Quốc tế Vinmec là một trong những bệnh viện không những đảm bảo chất lượng chuyên môn với đội ngũ y bác sĩ, hệ thống trang thiết bị công nghệ hiện đại mà còn nổi bật với dịch vụ khám, tư vấn và chữa bệnh toàn diện, chuyên nghiệp; không gian khám chữa bệnh văn minh, lịch sự, an toàn và tiệt trùng tối đa. Khách hàng khi chọn thực hiện các xét nghiệm tại đây có thể hoàn toàn yên tâm về độ chính xác của kết quả xét nghiệm.

Nếu nhận thấy các vấn đề bất thường về sức khỏe bạn nên thăm khám và tư vấn với các bác sĩ chuyên khoa.

Để đặt lịch khám tại viện, Quý khách vui lòng bấm số HOTLINE hoặc đặt lịch trực tiếp TẠI ĐÂY. Tải và đặt lịch khám tự động trên ứng dụng MyVinmec để quản lý, theo dõi lịch và đặt hẹn mọi lúc mọi nơi ngay trên ứng dụng.

Chia sẻ