Bài viết được tư vấn chuyên môn bởi Bác sĩ Chẩn đoán hình ảnh, Khoa Chẩn đoán hình ảnh - Bệnh viện Đa khoa Quốc tế Vinmec Central Park.
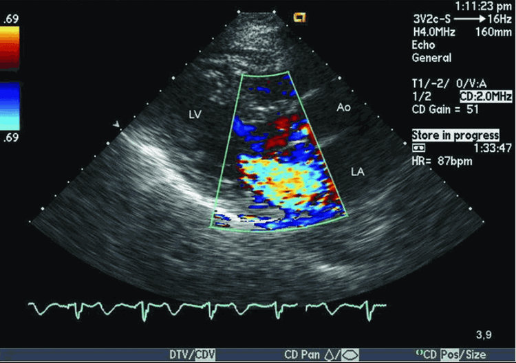
Siêu âm tim Doppler màu là phương tiện chẩn đoán hình ảnh hiện đại rất có giá trị trong chẩn đoán các bệnh lý tim mạch, đặc biệt các bệnh lý van tim. Khảo sát van hai lá có ý nghĩa trong việc đánh giá mức độ và lựa chọn phương pháp điều trị.
1. Siêu âm Doppler màu là gì?
Siêu âm Doppler màu là hình thức siêu âm hiện đại có độ chính xác cao nhất và hình ảnh siêu âm có màu dễ quan sát. Đây là phương pháp thăm dò chẩn đoán hình ảnh nhằm mục đích đánh giá trạng thái hoạt động, cấu trúc của tim hay các tình trạng chuyển dịch của máu trong hệ tuần hoàn, trạng thái huyết động. Từ đó, phát hiện các dấu hiệu hoặc các bệnh lý bất thường của tại hệ thống tim mạch. Do đó, đây là phương pháp được các bác sĩ chỉ định và sử dụng nhiều trong quá trình chẩn đoán và đánh giá bệnh lý tim mạch. Ngoài ra, siêu âm Doppler màu còn chỉ định trong 1 số bệnh lý khác.
2. Tìm hiểu về bệnh hẹp hai lá
Hẹp van hai lá là bệnh rất phổ biến ở nước ta, thường là do di chứng thấp tim. Sau một số đợt thấp tim tái phát, hẹp van 2 lá bắt đầu xuất hiện, tiếp tục tiến triển nhiều năm cho tới khi biểu hiện triệu chứng.

Thương tổn chính trong hẹp van hai lá là thâm nhiễm xơ, dày lá van, dính mép van, dính và co rút dây chằng, cột cơ góp phần gây nên hẹp van 2 lá, xuất hiện vôi hóa lắng đọng trên lá van, dây chằng, vòng van, làm hạn chế chức năng bình thường của van tim lâu ngày dẫn đến suy tim.
Để chẩn đoán chính xác hẹp van hai lá và mức độ hẹp để có thái độ xử trí kịp thời cần thực hiện siêu âm Doppler màu.
3. Đánh giá hẹp van hai lá trên siêu âm tim Doppler màu
Mục tiêu của siêu âm tim Doppler màu trong hẹp van hai lá:
- Chẩn đoán xác định và chẩn đoán mức độ hẹp van hai lá,
- Tính chất lá van, vòng van, bờ mép van và bộ máy dưới van
- Diện tích mở van
- Kích thước buồng tim và dòng máu quẩn trong hay cục máu đông nhĩ trái
- Áp lực động mạch phổi
- Kích thước, chức năng thất trái
- Tổn thương các van tim khác, bệnh tim khác phối hợp
Cụ thể:
- Siêu âm Doppler màu giúp đánh giá vận tốc đỉnh dòng chảy qua van hai lá > 1m/giây gợi ý có hẹp van hai lá, song dấu hiệu này không đặc hiệu, có thể xảy ra do nhịp nhanh, tăng co bóp, hở hai lá và thông liên thất
- Đo được chênh áp qua van hai lá (đo viền phổ dòng chảy qua van hai lá) cho phép ước lượng mức độ nặng của hẹp van.
- Hẹp van hai lá nhẹ: Chênh áp trung bình qua van < 5 mmHg,
- Hẹp van hai lá vừa: Chênh áp trung bình qua van từ 5-12 mmHg
- Hẹp van hai lá khít: Chênh áp trung bình qua van > 12 mmHg.

- Siêu âm Doppler màu nhằm ước tính áp lực động mạch phổi thông qua việc đo phổ của hở van ba lá kèm theo hoặc hở van động mạch phổi kèm theo gặp trong hẹp van hai lá.
- Cho phép đánh giá tổn thương thực tổn kèm theo như hở van hai lá, hở chủ và mức độ, điều này rất quan trọng giúp cho quyết định lựa chọn phương pháp can thiệp van hai lá thích hợp.
- Siêu âm Doppler tim dùng để đánh giá diện tích lỗ van hai lá khá chính xác, từ đó xác định và đánh giá mức độ hẹp.
- Hẹp van hai lá rất khít khi diện tích lỗ van < 1,0 cm2.
- Hẹp van hai lá khít khi diện tích lỗ van từ 1 đến < 1,5 cm2.
- Hẹp van hai lá vừa khi diện tích lỗ van từ 1,5-2,0 cm2.
- Phương pháp PHT (thời gian bán giảm áp lực): Thời gian bán giảm áp lực (thời gian để áp lực giảm một nửa so với giá trị ban đầu), là thời gian để vận tốc giảm còn 70% vận tốc đỉnh. Hẹp hai lá làm thời gian giảm áp lực của dòng chảy qua van hai lá bị kéo dài ra. Càng hẹp nhiều thì khoảng thời gian này càng dài.
4. Ưu điểm siêu âm Doppler màu là gì
Siêu âm Doppler màu là loại siêu âm hiện đại, được ứng dụng phổ biến, có nhiều ưu điểm vượt trội như:
- Siêu âm dễ dàng thực hiện nhiều lần với mức chi phí khá vừa phải.
- Siêu âm được đánh giá là an toàn, không gây ảnh hưởng gì đến toàn cơ thể và không gây đau đớn khó chịu gì.

- Độ chính xác cao giúp bác sĩ dễ dàng chẩn đoán và phát hiện bệnh tốt hơn
- Siêu âm có khả năng phát hiện các tình huống có thể xay ra trong huyết động dòng máu, giải phẫu Mode B mà các hình thức siêu âm khác không thực hiện được.
Tuy nhiên đây là kỹ thuật cao đòi hỏi kinh nghiệm và trình độ chuyên môn của bác sĩ đọc kết quả. Do vậy, chỉ đạt được hiệu quả tại các cơ sở y tế có trình độ chuyên môn cao.
Để đặt lịch khám tại viện, Quý khách vui lòng bấm số HOTLINE hoặc đặt lịch trực tiếp TẠI ĐÂY. Tải và đặt lịch khám tự động trên ứng dụng MyVinmec để quản lý, theo dõi lịch và đặt hẹn mọi lúc mọi nơi ngay trên ứng dụng.