Giá trị của xét nghiệm FNA tuyến giáp?

Mục lục

Bài viết được viết bởi ThS.BS Bùi Thị Hồng Khang - Bác sĩ Giải phẫu bệnh, Khoa Xét nghiệm - Bệnh viện Đa khoa Quốc tế Vinmec Central Park

Phương pháp tế bào học chọc hút bằng kim nhỏ hay gọi tắt là FNA áp dụng trong chẩn đoán bệnh lý các cục tuyến giáp được đánh giá là phương pháp hiệu quả nhất do có độ chính xác trên 95%; với giá trị tiên đoán dương từ 89-98%, giá trị tiên đoán âm 94-99%; tỉ lệ âm giả và dương giả dưới 1%. FNA đã giúp chọn lọc đúng các trường hợp cần phẫu thuật, giảm hơn phân nửa số trường hợp phải mổ, đồng nghĩa với việc tiết giảm phí tổn điều trị.

1. Kỹ thuật FNA tuyến giáp thực hiện như thế nào?

Kỹ thuật FNA tuyến giáp đơn giản, có thể thực hiện dễ dàng trong 1 phòng khám thông thường đối với các cục tuyến giáp sờ thấy được. Đối với các cục quá nhỏ khó sờ thấy thì phải thực hiện FNA dưới hướng dẫn siêu âm. (Hình 1).


Hinh 1: Kỹ thuật thực hiện FNA 1 cục trong tuyến giáp (A); Tế bào lấy ra được trải lên tiêu bản (B); đối với các cục nhỏ, FNA được làm dưới siêu âm giúp đưa kim hút vào đúng vị trí tổn thương (C).
Hinh 1: Kỹ thuật thực hiện FNA 1 cục trong tuyến giáp (A); Tế bào lấy ra được trải lên tiêu bản (B); đối với các cục nhỏ, FNA được làm dưới siêu âm giúp đưa kim hút vào đúng vị trí tổn thương (C).

Tế bào lấy ra được trải lên tiêu bản, cố định ngay bằng cồn 95% và nhuộm bằng phương pháp Papanicolaou (hoặc để khô tự nhiên trong không khí nếu nhuộm bằng phương pháp May-Grnwald-Giemsa, Diff-Quik). Các biến đổi hình thái tế bào quan sát được dưới kính hiển vi quang học cho phép chẩn đoán tổn thương của tuyến giáp là lành tính, ác tính hoặc nghi ngờ ác tính.

Trắc nghiệm: Loại bỏ tin đồn và tìm hiểu sự thật về bệnh suy giáp

Suy giáp là một hội chứng chứ không phải căn bệnh riêng biệt. Tuy nhiên, vẫn còn rất nhiều thông tin gây tranh cãi về bệnh suy giáp. Hãy cùng trả lời 8 câu hỏi sau để phá vỡ một số nghi ngờ về bệnh lý này nhé!

Nguồn tham khảo: webmd.com

2. Kết quả xét nghiệm FNA tuyến giáp được thực hiện như thế nào?

Các thuật ngữ dùng để mô tả kết quả chẩn đoán FNAC tuyến giáp có thể thay đổi tùy theo phòng xét nghiệm, tùy từng quốc gia; điều này gây lúng túng cho các bác sĩ lâm sàng trong việc chọn lựa điều trị.

Do vậy vào năm 2007, viện Ung thư quốc gia Hoa kỳ đã đề xuất hệ thống Bethesda chẩn đoán tế bào học tuyến giáp, nhằm thống nhất về thuật ngữ, mô tả và phân loại tổn thương vào 6 nhóm chẩn đoán.

3. Ý nghĩa của hệ thống Bethesda tế bào học tuyến giáp

Hệ thống này giúp các bác sĩ lâm sàng dễ dàng chọn lựa hướng xử trí thích hợp, cũng như tạo điều kiện thuận lợi cho việc trao đổi kinh nghiệm giữa các người làm công tác chẩn đoán tế bào học.


chẩn đoán Nguy cơ ác tính (%) Hướng xử trí
chẩn đoán Nguy cơ ác tính (%) Hướng xử trí

4. Tế bào học tuyến giáp bình thường như thế nào?

Theo phương pháp nhuộm Papanicolaou, các nang giáp bình thường là những thể hình cầu đường kính trung bình 200 μm (50-500 μm), bể ra khi được chọc hút, tạo thành các đám phẳng 2 chiều giống hình tổ ong, gồm các tế bào nang giáp có kích thước đồng đều liên kết với nhau.

Tế bào nang giáp có nhân tròn, đường kính 7-8 μm, màng nhân đều đặn, chất nhiễm sắc dạng hạt thô, tương đối tăng sắc, hạch nhân không thấy rõ; bào tương có màu xanh lợt; giới hạn tế bào không rõ rệt. Do bào tương tế bào nang giáp dễ vỡ nên có thể thấy các nhân trần hình tròn, dễ lầm với lympho bào. Chất keo giáp được tìm thấy trên nền tiêu bản giữa các tế bào nang giáp, có đặc điểm thay đổi tùy tình trạng chức năng của tuyến giáp.

Tuyến giáp càng kém hoạt động, chất keo giáp càng đặc, bắt màu hồng hoặc xanh dương, có bờ khúc khuỷu không đều; tuyến giáp hoạt động mạnh, chất keo có dạng loãng như nước, bắt màu hồng hoặc xanh rất lợt, khó quan sát. (Hình 2).


Hình 2: Tế bào nang giáp xếp thành đám phẳng hình tổ ong (A); chất keo loãng (B); chất keo đặc (mũi tên) (C).
Hình 2: Tế bào nang giáp xếp thành đám phẳng hình tổ ong (A); chất keo loãng (B); chất keo đặc (mũi tên) (C).

5. Tìm hiểu các nhóm kết quả của hệ thống Bethesda chẩn đoán tế bào học tuyến giáp

5.1 Nhóm I - Không đủ tiêu chuẩn chẩn đoán

(Nondiagnostic/Unsatisfactory) Nhóm này được lập ra nhằm loại bỏ các tiêu bản không đạt yêu cầu về chất lượng (phết tế bào quá dày, nhiều máu; cố định tồi) và số lượng (tiêu bản quá ít tế bào), mà nếu vẫn được sử dụng để chẩn đoán thì sẽ làm tăng tỉ lệ âm giả. (Hình 3)


Hình 3: Phết không đủ tiêu chuẩn chẩn đoán: quá dầy, nhiều máu (A)
Hình 3: Phết không đủ tiêu chuẩn chẩn đoán: quá dầy, nhiều máu (A)

Để hội đủ tiêu chuẩn chẩn đoán, mỗi tiêu bản phải chứa 6 nhóm tế bào nang giáp, với mỗi nhóm có 10 tế bào. Tuy nhiên, tiêu chuẩn về số lượng này sẽ được miễn áp dụng đối với 3 trường hợp sau:

  • Tiêu bản chứa các tế bào nang giáp không điển hình, dù số lượng ít thì vẫn xem là đủ tiêu chuẩn chẩn đoán. Thí dụ tiêu bản chỉ cần chứa một nhóm tế bào nang giáp tạo thành cấu trúc nhú với đặc điểm hình thái của carcinôm tuyến giáp dạng nhú thì đã đủ để xếp vào nhóm VI.
  • Tiêu bản chứa nhiều lympho bào (lấy từ viêm giáp Hashimoto), bạch cầu đa nhân (viêm giáp cấp tính áp-xe hoá), tế bào dạng biểu mô và đại bào (viêm giáp hạt) vẫn được xem là đủ tiêu chuẩn chẩn đoán (nhóm II) dù chỉ chứa ít tế bào nang giáp.
  • Tiêu bản chứa toàn chất keo giáp đặc (lấy từ phình giáp đa hạt) cũng được xem là đủ tiêu chuẩn chẩn đoán (nhóm II) dù chỉ chứa ít tế bào nang giáp.

Số trường hợp chọc hút rơi vào nhóm I chiếm khoảng 10-30%, tùy theo từng labor tế bào học; nhưng một khi có tỉ lệ hơn 20% thì cần phải kiểm tra lại chất lượng khâu kỹ thuật (chọc hút, cố định và nhuộm...) để đạt kết quả tối ưu. Thái độ xử trí đối với nhóm I là phải làm lại FNAC lần 2 sau 3 tháng dưới hướng dẫn siêu âm; khoảng 60% FNAC lần 2 đạt đủ tiêu chuẩn chẩn đoán.

5.2 Nhóm II - Lành tính

Các bệnh lý tuyến giáp cho kết quả tế bào học lành tính thường gặp nhất là phình giáp đa hạt, viêm giáp Hashimoto, viêm giáp hạt và viêm giáp cấp tính.

5.3 Nhóm III - Tế bào không điển hình, ý nghĩa không xác định (Atypia of Undetermined Significance)

Được xếp vào nhóm này là các tiêu bản có chứa 1 số tế bào bất thường không rõ lành hay ác (bao gồm tế bào nang giáp và các loại tế bào khác) nhưng không hội đủ tiêu chuẩn để xếp vào nhóm IV, V hoặc VI; bệnh nhân sẽ được yêu cầu làm lại FNAC sau 3 tháng. Nguy cơ ác tính của nhóm III là 5-15%.

Cần tránh lạm dụng chẩn đoán nhóm III vì trong nhiều trường hợp, tế bào không điển hình là do lỗi của khâu kỹ thuật chuẩn bị tiêu bản (cố định chậm, để khô,...). Tỉ lệ nhóm III không nên vượt quá 7% tổng số các trường hợp FNAC.

Đặc điểm các tiêu bản có thể được xếp vào nhóm III rất đa dạng, gồm có: (Hình 9)

  • Bên cạnh các đám phẳng 2 chiều lại có các nang giáp nhỏ với tỉ lệ bằng nhau (50/50); nang giáp nhỏ cũng có thể thấy trong phình giáp đa hạt nhưng thường không quá 10%).
  • Phết nghèo tế bào nhưng chủ yếu là các nang giáp nhỏ.
  • Phết nghèo tế bào nhưng toàn là tế bào Hürthle.
  • Phết tế bào gần như hoàn toàn lành tính, nhưng có vài tế bào với nhân có rãnh nằm rải rác.
  • Tiêu bản chứa nhiều lympho bào và tương bào với 1 số lympho bào có nhân không điển hình.
  • Bất thường tế bào không định loại được, thí dụ có vài tế bào với nhân lớn, hạch nhân to.

5.4 Nhóm IV - Nghi ngờ u tuyến giáp dạng nang (Suspicious for follicular neoplasm)

Hình ảnh đại thể và vi thể của carcinôm dạng nang và u tuyến giáp dạng nang lành tính có thể giống hệt nhau; tính chất ác tính của khối u chỉ được xác định qua hiện tượng xâm nhập của tế bào u vào trong vỏ bao hoặc mạch máu, là điều không thể đánh giá trên tiêu bản tế bào học.

Do vậy, FNAC chỉ có thể chẩn đoán nghi ngờ 1 tổn thương dạng cục của tuyến giáp là u tuyến giáp dạng nang nhưng không phân biệt được giữa lành tính và ác tính. Các bệnh nhân nhóm IV có nguy cơ ác tính từ 15-30%, sẽ được cắt bỏ thùy giáp tương ứng.

5.5 Nhóm V - Nghi ngờ ác tính (Suspicious for malignancy)

Chiếm khoảng 2,4-7,9% các trường hợp FNAC tuyến giáp. Tiêu bản tế bào học của bệnh

nhân thuộc nhóm này vẫn còn các tế bào nang giáp bình thường, nhưng có thêm một số tế bào có

đặc điểm nghi ngờ bị ung thư tuyến giáp; như vậy về số lượng là chưa đủ để xếp vào nhóm VI. Riêng các trường hợp nghi ngờ u tuyến giáp dạng nang hoặc u tế bào Hrthle thì không được đưa vào nhóm này, nhưng vào nhóm IV. Các bệnh nhân nhóm V có nguy cơ ác tính từ 60-75%, sẽ được phẫu thuật kèm cắt lạnh để quyết định chỉ cắt 1 thùy giáp hoặc cắt giáp gần trọn.

  • Nghi ngờ carcinôm tuyến giáp dạng nhú

Phết tế bào chọc hút chứa các đám tế bào nang giáp bình thường xếp hình tổ ong; xen lẫn với 1 ít tế bào có nhân lớn hình bầu dục, hơi lợt màu, có rãnh nhưng thường không tạo được cấu trúc nhú.

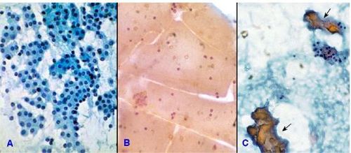
Trong viêm giáp Hashimoto và phình giáp đa hạt, một số tế bào Hürthle có thể có nhân lớn hình bầu dục và có rãnh, nhưng không có thể vùi trong nhân; vì vậy nếu thấy thể vùi trong nhân thì phải nghi ngờ carcinôm tuyến giáp dạng nhú. (Hình 12)

  • Nghi ngờ carcinôm tuyến giáp dạng tủy khi trên tiêu bản có vài nhóm tế bào tương đối rời rạc với tỉ lệ nhân/bào tương cao, nhân lệch bên và có dạng hơi giống muối tiêu. Nền tiêu bản có thể chứa vài đám nhỏ chất vô định hình, không rõ là chất amyloid hay chất keo.
  • Nghi ngờ lymphoma tuyến giáp khi tiêu bản chứa một số lympho bào tương đối đồng đều về kích thước và có nhân không điển hình, bên cạnh các đám tế bào nang giáp bình thường.
  • Nghì ngờ ác tính, không xác định loại khi tiêu bản chứa 1 số tế bào phân bố rải rác, nghi ngờ ác tính nhưng không xác định được là nguyên phát của tuyến giáp hay do di căn.

5.6 Nhóm VI - Ác tính

Các bệnh lý tuyến giáp cho kết quả tế bào học ác tính bao gồm carcinôm tuyến giáp dạng

nhú, carcinom tuyến giáp kém biệt hoá, carcinom tuyến giáp không biệt hoá, carcinôm tuyến giáp dạng tủy, lymphoma và các carcinôm từ nơi khác di căn đến tuyến giáp. Nhóm VI chiếm khoảng 4-8% các trường hợp FNAC tuyến giáp, đại đa số là carcinôm tuyến giáp dạng nhú. Các bệnh nhân nhóm VI có nguy cơ ác tính từ 97-99%, sẽ được cắt giáp gần trọn.

  • Carcinôm tuyến giáp dạng nhú (papillary thyroid carcinoma):

Carcinôm tuyến giáp dạng nhú là loại ung thư xuất phát từ tế bào nang giáp thường gặp nhất, chiếm 60-80% ung thư tuyến giáp nguyên phát. Tuổi mắc bệnh trung bình là 40 tuổi, tuy nhiên u có thể xảy ra ở mọi lứa tuổi, kể cả trẻ em; giới nữ mắc bệnh nhiều hơn giới nam. Phết tế bào học chọc hút bằng kim nhỏ có các đặc điểm sau đây: (Hình 4, 5)

  • Các tế bào u tạo thành cấu trúc nhú một lớp 2 chiều hoặc cấu trúc nhú 3 chiều có chứa trục liên kết mạch máu; tuy nhiên loại nhú 3 chiều tương đối ít gặp.
  • Tế bào u có nhân lớn hình bầu dục, bắt màu lợt chồng chất lên nhau, nhân có rãnh và thể vùi. Các đặc điểm nhân này có thể tim thấy tương đối dễ dàng trên khắp tiêu bản.

Ngoài ra, có thể thấy các tế bào u dạng gai (có bào tương đặc), đại bào nhiều nhân (nguồn gốc từ đại thực bào), chất keo đặc ngoằn ngoèo dạng dây thừng và thể psammoma (thấy trong 4-20% phết tế bào carcinom tuyến giáp dạng nhú).


Hình 4: Carcinôm tuyến giáp dạng nhú, tế bào u tạo thành nhú 1 lớp 2 chiều (A); hoặc nhú 3 chiều có trục liên kết mạch máu (mũi tên) (B).
Hình 4: Carcinôm tuyến giáp dạng nhú, tế bào u tạo thành nhú 1 lớp 2 chiều (A); hoặc nhú 3 chiều có trục liên kết mạch máu (mũi tên) (B).

Hình 5: Carcinôm tuyến giáp dạng nhú, tế bào có nhân lớn hình bầu dục, lợt mầu, chồng chất lên nhau và có rãnh (mũi tên) (A); một số nhân có thể vùi (mũi tên) (B).
Hình 5: Carcinôm tuyến giáp dạng nhú, tế bào có nhân lớn hình bầu dục, lợt mầu, chồng chất lên nhau và có rãnh (mũi tên) (A); một số nhân có thể vùi (mũi tên) (B).

Bệnh viện Đa khoa Quốc tế Vinmec là một trong những bệnh viện không những đảm bảo chất lượng chuyên môn với đội ngũ y bác sĩ giàu kinh nghiệm, hệ thống trang thiết bị công nghệ hiện đại mà còn nổi bật với dịch vụ khám, tư vấn và chữa bệnh toàn diện, chuyên nghiệp; không gian khám chữa bệnh văn minh, lịch sự, an toàn và tiệt trùng tối đa. Khách hàng khi chọn thực hiện các xét nghiệm tại đây có thể hoàn toàn yên tâm về độ chính xác của kết quả xét nghiệm.

Khách hàng có thể trực tiếp đến hệ thống Y tế Vinmec trên toàn quốc để thăm khám hoặc liên hệ hotline tại đây để được hỗ trợ.

Tài liệu tham khảo: Giáo trình Tế bào học Bộ môn GPB, Đại Học Y khoa Phạm Ngọc Thạch, TPHCM.

Để đặt lịch khám tại viện, Quý khách vui lòng bấm số HOTLINE hoặc đặt lịch trực tiếp TẠI ĐÂY. Tải và đặt lịch khám tự động trên ứng dụng MyVinmec để quản lý, theo dõi lịch và đặt hẹn mọi lúc mọi nơi ngay trên ứng dụng.

Chia sẻ