Niêm mạc dạ dày lạc chỗ ở thực quản và ung thư

Mục lục

Bài viết bởi Thạc sĩ, Bác sĩ Mai Viễn Phương - Khoa Khám bệnh & Nội khoa - Bệnh viện Đa khoa Quốc tế Vinmec Central Park

Các yếu tố rủi ro đồng thời khác cũng phải được xem xét trước khi kết luận niêm mạc dạ dày lạc chỗ và ung thư thực quản có liên quan với ung thư thực quản, vì trên những bệnh nhân như vậy, có thể ung thư thực quản là do các yếu tố đi kèm, chứ không phải do niêm mạc dạ dày lạc chỗ.

1. Tình hình chẩn đoán bệnh lý này hiện nay

Các cấu trúc niêm mạc dạ dày lạc chỗ phần lớn được coi là không có triệu chứng hoặc tương đối không quan trọng. Gần đây, ngày càng nhiều các triệu chứng được ghi nhận có liên quan đến những tổn thương thực quản này, khiến chúng trở thành một chủ đề gây tranh cãi.

Hiện nay, không có hướng dẫn tiêu chuẩn nào để quản lý các triệu chứng cấu trúc niêm mạc dạ dày lạc chỗ ở thực quản. Cụ thể, chẩn đoán tình trạng bệnh thông qua việc sử dụng thời gian rút ống soi dài hơn kết hợp với việc sử dụng thường quy nội soi quang học trong thực quản có thể hữu ích để khám phá thêm tầm quan trọng của các cấu trúc niêm mạc dạ dày lạc chỗ.


Niêm mạc dạ dày lạc chỗ ở thực quản
Niêm mạc dạ dày lạc chỗ ở thực quản

2. Niêm mạc dạ dày lạc chỗ và ung thư

Một câu hỏi liên quan khác là liệu cấu trúc niêm mạc dạ dày lạc chỗ có liên quan đến sinh lý bệnh của ung thư thực quản hay không? Xem xét số lượng các nghiên cứu báo cáo cấu trúc niêm mạc dạ dày lạc chỗ là 1 vùng niêm mạc vô hại có thể bị bỏ qua, người ta có thể nghĩ rằng số lượng hạn chế các trường hợp mắc cả ung thư thực quản và cấu trúc niêm mạc dạ dày lạc chỗ là ngẫu nhiên.

Mặt khác, các báo cáo trường hợp gần đây về ung thư biểu mô tuyến mô tả các cấu trúc niêm mạc dạ dày lạc chỗ là các tổn thương nhỏ và phẳng và khá dễ nhận thấy so với các cấu trúc niêm mạc dạ dày lạc chỗ lành tính. Do đó, các bác sĩ nội soi có nên cảm thấy tội lỗi khi bỏ sót loại tổn thương này hay vì không thường xuyên lấy sinh thiết? Câu trả lời cho câu hỏi này phụ thuộc vào mức độ tổn thương có liên quan đến các triệu chứng của bệnh nhân và nếu tổn thương ảnh hưởng đến kết quả của bệnh nhân.

3. Các yếu tố liên quan đồng thời của bệnh nhân vừa có niêm mạc dạ dày lạc chỗ và ung thư thực quản

Các yếu tố rủi ro đồng thời khác cũng phải được xem xét trước khi kết luận niêm mạc dạ dày lạc chỗ và ung thư thực quản có liên quan với ung thư thực quản, vì trên nhưng bệnh nhân như vậy, có thể ung thư thực quản là do các yếu tố đi kèm, chứ không phải do niêm mạc dạ dày lạc chỗ.

Một nghiên cứu gần đây không tìm thấy sự khác biệt nào liên quan đến tuổi tác, chủng tộc, thu nhập hộ gia đình hoặc tỷ lệ vòng eo trên hông, trong khi bệnh nhân mắc bệnh cấu trúc niêm mạc dạ dày lạc chỗ có tiền sử hút thuốc nặng hơn (trung bình 23,7 gói/năm so với 16,3 gói/năm, P = 0,006). Không có sự khác biệt đáng kể so với những người không bao giờ hút thuốc. Không tìm thấy mối liên hệ nào giữa lượng rượu hàng tuần và cấu trúc niêm mạc dạ dày lạc chỗ. 1 báo cáo gần đây về một nghiên cứu dân số lớn kéo dài 14 năm phân tích liệu cấu trúc niêm mạc dạ dày lạc chỗ có liên quan đáng kể với ung thư biểu mô tuyến thực quản gần cho thấy chỉ 39 trường hợp được chẩn đoán đồng thời từ tổng quan tài liệu của họ và chỉ có 3 trường hợp bổ sung trong quá trình nghiên cứu của họ. Thật vậy, các tác giả cũng đề cập rằng thiếu các báo cáo cấu trúc niêm mạc dạ dày lạc chỗ trong tường trình nội soi có thể là một hạn chế của các nghiên cứu này.

Năm 2013, Chong và cộng sự chỉ có thể tìm thấy 43 trường hợp ung thư thực quản trong y văn có biểu hiện đồng thời với niêm mạc dạ dày lạc chỗ kể từ năm 1950 khi Carrie và cộng sự báo cáo trường hợp đầu tiên.

Hơn nữa, Sahin và cộng sự không tìm thấy trường hợp nào ung thư biểu mô tuyến hoặc loạn sản và chỉ phát hiện thêm chuyển sản ruột ở 5 trong số 123 trường hợp cấu trúc niêm mạc dạ dày lạc chỗ.

4. Có nên sinh thiết tất cả các tổn thương niêm mạc dạ dày lạc chỗ?

Việc thiếu các nghiên cứu theo dõi dài hạn về cấu trúc niêm mạc dạ dày lạc chỗ có thể là một nguồn gốc của sự sai lệch này. Các tác giả khác như Peitz và cộng sự cũng cho rằng tỷ lệ cấu trúc niêm mạc dạ dày lạc chỗ bị đánh giá thấp, gây khó khăn cho mối tương quan với ung thư thực quản cổ giai đoạn muộn. Do tần suất hiếm gặp của tiền sản được báo cáo cho cấu trúc niêm mạc dạ dày lạc chỗ, các tác giả không ủng hộ việc sinh thiết thường quy để xác định mô bệnh học của nó, nhưng sinh thiết mục tiêu nên được xem xét bất cứ khi nào quan sát thấy bất kỳ bất thường nào trong khu vực. Ngoài ý kiến ​​này, có những khó khăn về kỹ thuật ở vùng thường xảy ra nằm ở thực quản trên (sự co thắt của cơ thắt thực quản trên hoặc khả năng chịu đựng thấp của bệnh nhân không có tiến bộ), do đó, sinh thiết thường quy nên được giới hạn ở các vị trí không điển hình của cấu trúc niêm mạc dạ dày lạc chỗ (ví dụ, phần xa hoặc phần giữa của thực quản) hoặc xuất hiện không điển hình ( ví dụ, các loại polypoid).


Sinh thiết thường quy nên được giới hạn ở các vị trí không điển hình của cấu trúc niêm mạc dạ dày lạc chỗ
Sinh thiết thường quy nên được giới hạn ở các vị trí không điển hình của cấu trúc niêm mạc dạ dày lạc chỗ

5. Vai trò của các kỹ thuật hình ảnh mới trong đánh giá niêm mạc dạ dày lạc chỗ

Đối với những bệnh nhân có triệu chứng với cấu trúc niêm mạc dạ dày lạc chỗ thường định vị và khi không thể xác nhận bằng sinh thiết, nội soi nhuộm màu ảo với các trường hợp theo dõi được chọn có thể hữu ích.

Nội soi bằng laser xung quanh có thể tránh cho cả bác sĩ và bệnh nhân lo lắng về dự đoán liên quan đến việc chẩn đoán đúng. Thật không may, tính khả thi của kỹ thuật này đối với việc sử dụng thông thường bị suy giảm do chi phí tăng và khả năng tiếp cận hạn chế.

Việc phát hiện các tổn thương giống cấu trúc niêm mạc dạ dày lạc chỗ và xác nhận sau đó bằng mô học sẽ giúp tránh nhầm lẫn giữa ung thư sơ bộ với niêm mạc dị vật. Các cấu trúc niêm mạc dạ dày lạc chỗ xuất hiện với vùng tiêu điểm màu đỏ hoặc hồng cá hồi trên nội soi tiêu chuẩn và là một tổn thương màu nâu sẫm đồng nhất được phân tách rõ ràng với biểu mô vảy màu xanh lục nhạt ở chế độ NBI .

>>Xem thêm: Điều trị và tầm soát niêm mạc dạ dày lạc chỗ ở thực quản - Bài viết bởi Bác sĩ Mai Viễn Phương - Khoa Khám bệnh & Nội khoa - Bệnh viện Đa khoa Quốc tế Vinmec Central Park

6. Vai trò của hệ thống hình ảnh dải hẹp NBI

Hệ thống NBI có thể rất hữu ích để xác định các khu vực màu nâu với các chấm màu nâu và các mạch phân nhánh trong thực quản cổ là ung thư thực quản bề ngoài tiềm ẩn. Do đó, việc áp dụng kết hợp phóng đại và NBI có thể giúp thông báo và chỉ đạo việc quản lý chẩn đoán và phát hiện sớm ung thư thực quản. Nội soi phóng đại với hệ thống NBI ưu việt hơn nội soi ánh sáng trắng thông thường trong việc phát hiện ung thư sớm và giúp giải quyết các mô vi mạch của bề mặt niêm mạc thực quản. Một cách lý tưởng, có thể triển khai trong tương lai hệ thống phát hiện tự động ung thư sớm tương tự như thuật toán máy tính tự động được phát triển cho u tân sinh sinh ở thực quản Barrett do Fons van der Sommen và cộng sự đề xuất


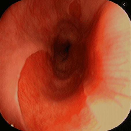
Hình ảnh niêm mạc dạ dày lạc chỗ: Nhiều vùng khu trú nhỏ hình tròn theo hình dạng của mô dạ dày, một trong số chúng hơi nhô lên, được ghi nhận ở trường bên phải, cách cung răng 10cm, ở một thanh niên mắc chứng khó nuốt trên không rõ nguyên nhân.
Hình ảnh niêm mạc dạ dày lạc chỗ: Nhiều vùng khu trú nhỏ hình tròn theo hình dạng của mô dạ dày, một trong số chúng hơi nhô lên, được ghi nhận ở trường bên phải, cách cung răng 10cm, ở một thanh niên mắc chứng khó nuốt trên không rõ nguyên nhân.

7. Liệu cấu trúc niêm mạc dạ dày lạc chỗ có làm tăng nguy cơ ung thư biểu mô thực quản?

Liệu cấu trúc niêm mạc dạ dày lạc chỗ có làm tăng nguy cơ ung thư biểu mô thực quản hay không vẫn còn tranh cãi. Tiết axit cũng là một nguyên nhân nghi ngờ gây ra biến đổi ác tính, nhưng có sự khác biệt giữa tỷ lệ phổ biến cấu trúc niêm mạc dạ dày lạc chỗ có liên quan đến axit có triệu chứng và các trường hợp ác tính hiếm khi được báo cáo.

Có thể có các yếu tố nguy cơ đồng thời khác có liên quan. Tuy nhiên, xem xét rằng ung thư trong các cấu trúc niêm mạc dạ dày lạc chỗ thường được báo cáo là các trường hợp cá biệt, cần tập trung vào khả năng phân biệt chính xác giữa các cấu trúc niêm mạc dạ dày lạc chỗ vô hại và các khối u ác tính bề ngoài. Vì nội soi ánh sáng trắng có thể không tiết lộ các đặc điểm bất thường của ung thư sớm, nên việc sử dụng thường quy nội soi thực quản ảo trong thực quản là chính đáng. Việc báo cáo sai tỷ lệ cấu trúc niêm mạc dạ dày lạc chỗ bằng nội soi phải được tránh và các nghiên cứu trong tương lai nên được thực hiện để đưa ra các kết luận thích hợp hơn.

Hiện nay, Bệnh viện Đa khoa Quốc tế Vinmec là địa chỉ uy tín được nhiều bệnh nhân tin cậy trong thực hiện kỹ thuật chẩn đoán các bệnh lý tiêu hóa, bệnh lý gây tiêu chảy mạn tính, bệnh Crohn, niêm mạc dạ dày lạc chỗ ở thực quản...Cùng với đó, tại Bệnh viện Vinmec, sàng lọc ung thư dạ dày, polyp dạ dày được thực hiện thông qua nội soi dạ dày với máy nội soi Olympus CV 190, với chức năng NBI (Narrow Banding Imaging - nội soi với dải tần ánh sáng hẹp) cho kết quả hình ảnh phân tích bệnh lý niêm mạc rõ nét hơn so với nội soi thông thường, phát hiện các tổn thương viêm loét đại tràng, các tổn thương ung thư tiêu hoá giai đoạn sớm... Bệnh viện Vinmec với cơ sở vật chất và trang thiết bị hiện đại cùng đội ngũ chuyên gia giàu kinh nghiệm, luôn tận tâm tận lực trong khám chữa bệnh, khách hàng có thể yên tâm với dịch vụ nội soi dạ dày, thực quản tại Bệnh viện Đa khoa Quốc tế Vinmec.

Tài liệu tham khảo

  1. Raine CH. Ectopic gastric mucosa in the upper esophagus as a cause of dysphagia. Ann Otol Rhinol Laryngol. 1983;92:65-66. [PubMed] [DOI]
  2. Truong LD, Stroehlein JR, McKechnie JC. Gastric heterotopia of the proximal esophagus: a report of four cases detected by endoscopy and review of literature. Am J Gastroenterol. 1986;81:1162-1166. [PubMed]
  3. Akbayir N, Alkim C, Erdem L, Sökmen HM, Sungun A, Başak T, Turgut S, Mungan Z. Heterotopic gastric mucosa in the cervical esophagus (inlet patch): endoscopic prevalence, histological and clinical characteristics. J Gastroenterol Hepatol. 2004;19:891-896. [PubMed] [DOI]
  4. Borhan-Manesh F, Farnum JB. Incidence of heterotopic gastric mucosa in the upper oesophagus. Gut. 1991;32:968-972. [PubMed] [DOI]
  5. Tang P, McKinley MJ, Sporrer M, Kahn E. Inlet patch: prevalence, histologic type, and association with esophagitis, Barrett esophagus, and antritis. Arch Pathol Lab Med. 2004;128:444-447. [PubMed] [DOI]
  6. Adriana Ciocalteu, Petrica Popa, Issues and controversies in esophageal inlet patch, World J Gastroenterol. Aug 14, 2019; 25(30): 4061-4073

Để đặt lịch khám tại viện, Quý khách vui lòng bấm số HOTLINE hoặc đặt lịch trực tiếp TẠI ĐÂY. Tải và đặt lịch khám tự động trên ứng dụng MyVinmec để quản lý, theo dõi lịch và đặt hẹn mọi lúc mọi nơi ngay trên ứng dụng.

Chia sẻ