Phục hồi chức năng gãy đầu dưới xương quay

Mục lục

Gãy đầu dưới xương quay là một trong những chấn thương hay gặp ở xương chi trên. Nguyên nhân chủ yếu là do té ngã ở người lớn tuổi và tai nạn ở người trẻ tuổi. Việc phục hồi chức năng cho vùng xương bị gãy được thực hiện xuyên suốt quá trình điều trị, từ khi xương bất động đến khi xương lành.

Bài viết được tư vấn chuyên môn bởi BSCK II Mai Anh Kha - Bác sĩ ngoại Chấn thương chỉnh hình - Khoa Ngoại tổng hợp - Bệnh viện Đa khoa Quốc tế Vinmec Đà Nẵng. 

1. Gãy đầu dưới xương quay là gì?

Gãy đầu dưới xương quay là một trong những tổn thương thường gặp nhất ở xương chi trên. Nguyên nhân chủ yếu là do té ngã khi chống tay, đặc biệt là ở người lớn tuổi. Lực tác động mạnh từ mặt đất lên cổ tay khi bàn tay duỗi thẳng hoàn toàn là yếu tố chính gây ra gãy xương. Ngoài ra, các bệnh lý như loãng xương, giòn xương, u xương, tiểu đường hay lạm dụng corticoid để điều trị cũng có thể làm tăng nguy cơ gãy xương này.

Các tai nạn lao động, giao thông, sinh hoạt,... là nguyên nhân dẫn đến việc gãy đầu dưới xương quay ở người trẻ tuổi. Ngoài việc xương bị gãy, các mô mềm xung quanh cũng bị tổn thương nặng nề.

2. Chẩn đoán bệnh

Gãy đầu dưới xương quay cần được phân biệt với các chấn thương tương tự như gãy đầu dưới xương trụ, trật khớp quay trụ dưới hay trật khớp cổ tay.

2.1 Dấu hiệu gãy đầu dưới xương quay

  • Sưng tấy, đau nhức ở vùng cổ tay.
  • Biến dạng: Khi có di lệch, bàn tay bị lệch về phía ngoài, trục ngón tay không thẳng hàng với ngón giữa mà lệch về ngón áp út hoặc ngón út.
  • Hình dạng bất thường: Khi nhìn thẳng, cổ tay và bàn tay tạo thành hình lưỡi lê, còn khi nhìn nghiêng sẽ tạo thành hình dĩa.
  • Hạn chế vận động: Các ngón tay bị cứng.

2.2 Phương pháp chẩn đoán

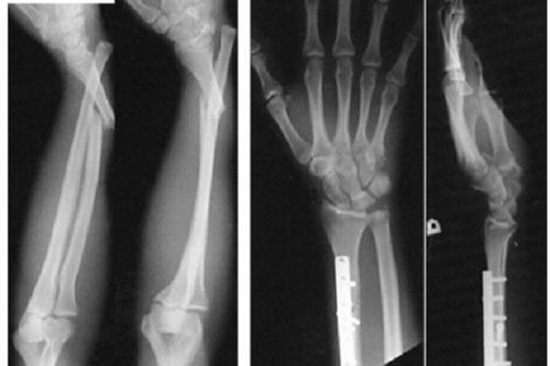
Chụp X-quang là một công cụ chẩn đoán hữu hiệu trong việc đánh giá tình trạng gãy xương đầu dưới xương quay. Kết quả hình ảnh cung cấp thông tin chi tiết về kiểu gãy xương và các tổn thương liên quan khác, bao gồm:  

  • Gãy ngoài khớp;
  • Gãy di lệch theo các hướng khác nhau như phía trên hoặc phía sau, ra ngoài;
  • Gãy kèm theo đầu dưới xương trụ, mỏm trâm trụ, xương thuyền;
  • Trật khớp quay-trụ dưới;
  • Gãy bong sụn ở đầu dưới xương quay (đặc biệt phổ biến ở trẻ em)

Kết quả chụp X-quang, tiền sử chấn thương và những biểu hiện lâm sàng như đau, sưng nề cổ bàn tay, biến dạng lệch khớp cổ tay, suy giảm hoặc mất chức năng vận động cổ tay là những căn cứ quan trọng để xác định gãy đầu dưới xương quay.

Bài viết được tư vấn chuyên môn bởi Bác sĩ chuyên khoa II Mai Anh Kha - Bác sĩ ngoại Chấn thương chỉnh hình - Khoa Ngoại tổng hợp - Bệnh viện Đa khoa Quốc tế Vinmec Đà Nẵng. Bác sĩ có hơn 22 năm kinh nghiệm trong lĩnh vực chấn thương chỉnh hình.

Chụp X-quang là một công cụ chẩn đoán hữu hiệu trong việc đánh giá tình trạng gãy xương đầu dưới xương quay.
Chụp X-quang là một công cụ chẩn đoán hữu hiệu trong việc đánh giá tình trạng gãy xương đầu dưới xương quay.

3. Điều trị gãy đầu dưới xương quay

3.1 Mục tiêu điều trị

  • Mục tiêu ngắn hạn: Mục tiêu trong tháng đầu tiên phục hồi là bệnh nhân sẽ đạt được khả năng tự chăm sóc bản thân bao gồm ăn uống, vệ sinh cá nhân và khôi phục chức năng vận động tay, cụ thể là cầm nắm và nắm chặt.
  • Mục tiêu dài hạn: Sau 4-5 tháng hồi phục, người bệnh dự kiến sẽ có khả năng tự lái các loại xe (xe đạp, xe máy, oto), tự đứng dậy bằng cách chống tay và quay trở lại với công việc cũng như các hoạt động thể thao như trước đây.
Mục tiêu điều trị gãy đầu dưới xương quay là người bệnh sẽ có khả năng tự lái các loại xe.
Mục tiêu điều trị gãy đầu dưới xương quay là người bệnh sẽ có khả năng tự lái các loại xe.

3.2 Cách điều trị

  • Tiến hành gây tê tại chỗ bằng Novocain để giảm đau.
  • Thực hiện kéo nắn xương. Người bệnh được nắn khớp và cố định cổ tay ở tư thế gấp nhẹ (15-30 độ), sau đó được bó bột hoặc nẹp. Thông thường, việc nắn khớp có thể thực hiện mà không cần phẫu thuật.
  • Vùng xương bị tổn thương sẽ được cố định bằng bột trong khoảng thời gian 4 tuần.
  • Người bệnh có thể được chỉ định phẫu thuật đặt nẹp ốc nhỏ hoặc phẫu thuật xuyên kim Kirschner.

Trong những trường hợp sau, việc phẫu thuật mở để nắn chỉnh và cố định xương bên trong có thể là cần thiết:

  • Khi khớp bị đứt đoạn hoặc vết gãy xâm lấn vào bên trong khớp.
  • Trường hợp gãy xương gây ra tình trạng rút ngắn xương quá mức.
  • Nếu phương pháp nắn chỉnh kín không mang lại hiệu quả.

Để hỗ trợ quá trình nắn chỉnh kín đầu dưới xương quay, người ta có thể sử dụng nẹp ôm ngón tay. Nẹp này có tác dụng giữ và kéo các ngón tay trong khi thực hiện thao tác nắn chỉnh góc gãy của xương quay. Lực kéo này sẽ giúp kéo giãn mảnh xương gãy ở phía xa, khôi phục lại chiều dài ban đầu của xương quay.

4. Phục hồi chức năng cho bệnh nhân

4.1 Giai đoạn bất động

Giai đoạn bất động trong quá trình phục hồi chức năng gãy đầu dưới xương quay tập trung vào việc:

  • Ngăn chặn các rối loạn về tuần hoàn.
  • Giảm đau, giảm sưng.
  • Chống teo cơ và dính khớp.
  • Đồng thời duy trì khả năng vận động của các khớp.

Đối với trường hợp gãy đầu dưới xương quay đang điều trị bằng phương pháp bó bột, việc phục hồi chức năng cần được tiến hành theo các bước sau:

  • Giữ cho bàn tay không bị phù nề: Treo tay lên cao trong khoảng thời gian từ 1 - 2 tuần.
  • Ngăn ngừa các biến chứng như teo cơ, dính khớp và đồng thời hỗ trợ quá trình liền xương: Tập co cơ tĩnh phần bị cố định sau khi bột khô.
  • Để duy trì tầm vận động các khớp: Tập vận động tự do các khớp khuỷu, vai, khớp liên đốt bàn tay và ngón tay.
Điều trị bằng cách bó bột.
Điều trị bằng cách bó bột.

4.2 Giai đoạn sau bất động

Kết quả của việc bất động khiến cho bàn tay của người bệnh bị phù nề, da trở nên khô, cơ bắp bị teo, các khớp bị dính, rối loạn dinh dưỡng và tuần hoàn. Đồng thời, biên độ hoạt động cổ tay (điển hình như gập, duỗi, quay) giảm sút đáng kể. Do đó, mục đích của việc phục hồi chức năng sau giai đoạn bất động là:

  • Giảm đau nhức, giảm sưng tấy.
  • Tăng cường tuần hoàn máu, mở rộng phạm vi vận động của các khớp.
  • Điều trị hội chứng Sudeck ở giai đoạn 3, tập trung vào vùng bàn tay và cổ tay.

Đối với trường hợp điều trị gãy đầu dưới xương quay bằng cách bó bột ở giai đoạn này, việc phục hồi chức năng sẽ được tiến hành như sau:

  • Để giảm sưng nề và tăng cường tuần hoàn, các phương pháp như nhiệt, thủy hoặc điện trị liệu được áp dụng lên vùng bàn tay và cổ tay.
  • Để phục hồi chức năng, người bệnh cần tập luyện các bài tập vận động chủ động như gập, duỗi, xoay cổ tay, nghiêng theo các hướng khác nhau như nghiêng trụ, nghiêng quay, quay sấp và quay ngửa cổ tay. Bên cạnh đó, việc tập luyện các bài tập mạnh hơn cho cơ cầm nắm cũng rất quan trọng để tăng phạm vi vận động của khớp cổ tay.
  • Các bài tập vận động tự do có đề kháng được thực hiện cho các khớp khuỷu, vai và liên đốt bàn đốt. Khi phạm vi vận động gần đạt mức hoạt động bình thường, người bệnh bắt đầu tập nâng tạ nhẹ từ 0,5kg đến 1kg. Quá trình tăng cường bài tập tạ diễn ra trong khoảng 10-12 tuần sau chấn thương (nếu bệnh nhân chịu được). Đồng thời, sau 14 tuần (nếu bệnh nhân chịu được), các bài tập liên quan đến công việc của bệnh nhân cũng được đưa vào chương trình phục hồi.
  • Cần tăng cường các bài tập giúp cổ bàn tay linh hoạt hơn, bao gồm cầm thả đồ vật, xoay vặn nắp chai, mặc cởi quần áo, lật sách, lăn bóng, phủi bụi, vắt khăn...

Giai đoạn này, bệnh nhân sau phẫu thuật gãy đầu dưới xương quay sẽ được tiến hành phục hồi chức năng theo phương pháp như sau:

  • Trong giai đoạn phục hồi từ 1-3 tuần sau ca mổ, người bệnh nên nâng cao tay, thực hiện các động tác vận động thụ động nhẹ nhàng cho cổ tay và bàn tay, đồng thời tập luyện chủ động với sự hỗ trợ cho các khớp liên đốt bàn đốt, khớp khuỷu và vai.
  • Trong giai đoạn phục hồi từ 4-7 tuần sau ca mổ, người bệnh cần tập chủ động các bài tập cổ tay, bao gồm gập, duỗi, quay sấp, quay ngửa, nghiêng trụ và nghiêng quay. Đồng thời, các bài tập tăng cường sức mạnh nhóm cơ cầm nắm bàn tay và các hoạt động trị liệu điều phối kết hợp bàn tay, ngón tay như cầm, nắm, nhặt đồ vật cũng rất quan trọng.
Bệnh nhân sau phẫu thuật gãy đầu dưới xương quay sẽ được tiến hành thực hiện các bài tập phục hồi chức năng.
Bệnh nhân sau phẫu thuật gãy đầu dưới xương quay sẽ được tiến hành thực hiện các bài tập phục hồi chức năng.

Để giảm đau, giảm sưng, tăng cường tuần hoàn máu và cải thiện khả năng vận động các khớp, việc phục hồi chức năng cho xương quay dưới bị gãy được thực hiện xuyên suốt quá trình điều trị, từ giai đoạn bất động đến khi kết thúc.

Để đặt lịch khám tại viện, Quý khách vui lòng bấm số HOTLINE hoặc đặt lịch trực tiếp TẠI ĐÂY. Tải và đặt lịch khám tự động trên ứng dụng MyVinmec để quản lý, theo dõi lịch và đặt hẹn mọi lúc mọi nơi ngay trên ứng dụng.

Chia sẻ