Quy trình chụp và nút tắc búi giãn tĩnh mạch dạ dày qua da số hoá xoá nền

Mục lục

Bài viết được tư vấn chuyên môn bởi Thạc sĩ, Bác sĩ Nguyễn Văn Phấn - Trưởng đơn nguyên Chẩn đoán hình ảnh can thiệp - Khoa Chẩn đoán hình ảnh và Y học hạt nhân - Bệnh viện Đa khoa Quốc tế Vinmec Times City.

Giãn tĩnh mạch dạ dày là một trong những nguyên nhân gây ra xuất huyết tiêu hóa cao. Đây là một trong những biến chứng thường gặp ở người bệnh có hội chứng tăng áp lực tĩnh mạch cửa. Hiện nay, có nhiều phương pháp điều trị giãn tĩnh mạch, tuy nhiên điều trị bằng phương pháp nút tắc búi giãn tĩnh mạch dạ dày mang lại hiệu quả cao, tỷ lệ tái phát thấp ít xâm lấn hơn các phương pháp khác.

1. Nút tắc búi giãn tĩnh mạch dạ dày qua da số hóa xóa nền

Nút tắc búi giãn tĩnh mạch dạ dày (BRTO) là kỹ thuật can thiệp nội mạch đường tĩnh mạch, sử dụng một ống thông có bóng (balloon-catheter), đặt vào vị trí luồng thông tĩnh mạch vị - thận trái, bơm căng bóng để bịt luồng thông này tránh trào ngược, sau đó gây tắc tất cả các luồng thông của búi tĩnh mạch giãn với hệ thống tĩnh mạch chủ dưới.

1.1 Chỉ định

  • Giãn tĩnh mạch dạ dày có nguy cơ vỡ: Trên hình ảnh nội soi thấy các búi giãn lớn, có các điểm xung huyết hoặc loét khu trú và tiến triển nhanh.
  • Giãn tĩnh mạch dạ dày đã vỡ: Tái diễn nhiều lần, nội soi không cầm được máu.
  • Chống chỉ định với kỹ thuật TIPS (nối thông cửa chủ qua tĩnh mạch cảnh).
  • Một vấn đề lưu ý trong chỉ định của BRTO là các trường hợp tĩnh mạch dạ dày giãn và có đường nối thông tĩnh mạch vị - thận trái. Trong trường hợp không có đường nối thông tĩnh mạch vị - thận trái thì có thể tiếp cận qua đường khác như nút búi giãn tĩnh mạch dạ dày qua gan (transhepatic access).

1.2 Chống chỉ định

  • Dị ứng thuốc cản quang
  • Suy thận: creatinin huyết thanh > 1.5 mg/dl
  • Tắc tĩnh mạch cửa
  • Cổ trướng mức độ nhiều, tái diễn do tăng áp lực tĩnh mạch cửa
  • Đang bị giãn tĩnh mạch thực quản nặng
  • Phụ nữ có thai.

Phụ nữ có thai thuộc nhóm đối tượng chống chỉ định chụp số hoá nền và nút tắc búi giãn
Phụ nữ có thai thuộc nhóm đối tượng chống chỉ định chụp số hoá nền và nút tắc búi giãn

2. Quy trình chụp và nút tắc búi giãn tĩnh mạch dạ dày qua da số hoá xoá nền

2.1 Chuẩn bị

Người thực hiện

  • Bác sĩ chuyên khoa điện quang can thiệp
  • Kỹ thuật viên điện quang can thiệp
  • Bác sĩ/kỹ thuật viên gây mê (nếu bệnh nhân khó hợp tác)
  • Điều dưỡng.

Phương tiện sử dụng:

  • Máy chụp mạch số hóa xóa nền (DSA);
  • Hệ thống lưu trữ hình ảnh Pacs;
  • Máy tiêm thuốc cản quang chuyên dụng;
  • Bộ váy, áo và cổ chì giúp che chắn tia X.

Thuốc:

  • Dung dịch sát khuẩn da và vùng niêm mạc.
  • Thuốc gây tê tại chỗ
  • Thuốc gây mê toàn thân (nếu cần)
  • Thuốc cản quang iod tan trong nước;
  • Heparin và thuốc trung hòa Heparin;

Vật tư y tế thông thường:

  • Bơm tiêm 1, 3, 5, 10, 20ml và bơm dành cho máy tiêm thuốc cản quang.
  • Nước muối sinh lý;
  • Xe Etroley;
  • Trang phục phẫu thuật;
  • Bộ dụng cụ vô trùng (kéo, dao, kẹp, khay đựng dụng cụ..v.v);
  • Bông gạc, băng dính y tế phẫu thuật.

Vật tư y tế đặc biệt:

  • Kim chọc động mạch;
  • Dây dẫn tiêu chuẩn 0.035 inch;
  • Bộ mở đường vào lòng mạch (long sheath) 6F - 12F;
  • Vi ống thông 1.9F-2.7F, vi dây dẫn 0.014-0.018 inch;
  • Ống thông có bóng balloon - catheter.

Máy chụp mạch số hóa xóa nền (DSA) cần có trong quá trình chụp giãn tĩnh mạch dạ dày qua da số hoá xoá nền
Máy chụp mạch số hóa xóa nền (DSA) cần có trong quá trình chụp giãn tĩnh mạch dạ dày qua da số hoá xoá nền

Vật liệu gây tắc mạch:

  • Xốp sinh học giúp cầm máu;
  • Vòng xoắn kim loại (coils) các cỡ;
  • Chất gây tắc mạch sclerosant;
  • Keo kết dính sinh học (Histoacryl);

Người bệnh cần chuẩn bị:

  • Được giải thích kỹ về thủ thuật để phối hợp với bác sĩ;
  • Khám lâm sàng trước thủ thuật;
  • Nhịn ăn trước 6 giờ, không uống quá 50ml nước;
  • Trường hợp người bệnh không thể nằm yên sẽ được chỉ định dùng thuốc an thần.

Phiếu xét nghiệm:

  • Hồ sơ bệnh án điều trị nội trú
  • Có phiếu chỉ định thực hiện thủ thuật đã được thông qua
  • Phim ảnh chụp X quang, chụp cắt lớp vi tính, chụp cộng hưởng từ (nếu có).

2.2 Các bước tiến hành

Mở đường vào lòng mạch

  • Gây tê tại chỗ, rạch da
  • Chọc vào lòng mạch (tĩnh mạch đùi chung phải, tĩnh mạch cảnh trong phải) dưới hướng dẫn siêu âm.
  • Đặt ống vào lòng mạch thường quy

Chụp mạch đánh giá tổn thương

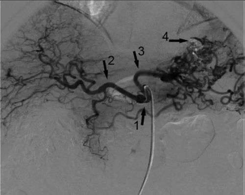
  • Dùng ống thông và dây dẫn tiếp cận với tĩnh mạch thận trái và vị trí nối thông tĩnh mạch vị - thận trái (gastrorenal shunt).
  • Đưa ống thông có bóng (Forgarty catheter) vào luồng thông tĩnh mạch vị thận. Tiến hành bơm bóng để chặn hoàn toàn dòng chảy của vị trí nối thông tĩnh mạch này.
  • Tiến hành chụp mạch búi tĩnh mạch dạ dày giãn qua ống thông có bóng. Đánh giá toàn bộ hệ thống búi mạch giãn và các nhánh bàng hệ, dẫn lưu.

Nút mạch các nhánh bàng hệ

  • Dùng vi ống thông (microcatheter) và dây dẫn siêu nhỏ (microguide wire) tiếp cận với các nhánh tĩnh mạch bàng hệ
  • Tiến hành nút tắc các nhánh tĩnh mạch bàng hệ này bằng vòng xoắn kim loại (Coils).

Hình ảnh giãn tĩnh mạch dạ dày do huyết khối động mạch lách
Hình ảnh giãn tĩnh mạch dạ dày do huyết khối động mạch lách

Nút mạch búi tĩnh mạch dạ dày giãn

  • Ống thông có bóng (Forgarty catheter) vẫn được giữ trong luồng thông tĩnh mạch vị - thận trái, bóng được bơm căng đến khi chặn được hoàn toàn dòng lưu thông của luồng thông tĩnh mạch này.
  • Đưa vi ống thông vào trong búi tĩnh mạch giãn qua ống thông có bóng.
  • Bơm chất gây xơ hóa, tắc mạch vào trong búi tĩnh mạch giãn qua vi ống thông.
  • Khóa vi ống thông và ống thông có bóng để không cho các chất gây xơ trào ngược trở lại.

Theo dõi và đánh giá

  • Đưa người bệnh trở lại phòng bệnh trong tình trạng ống thông, vi ống thông đã khóa và vẫn nằm trong lòng mạch
  • Sau 4-24 giờ, chụp CLVT ổ bụng có tiêm thuốc cản quang để đánh giá mức độ tắc nghẽn của búi tĩnh mạch dạ dày giãn.

Kết thúc thủ thuật

  • Khi búi tĩnh mạch giãn đã tắc theo kết quả chụp CLVT ổ bụng, đưa người bệnh trở lại phòng can thiệp.
  • Chụp mạch kiểm tra mức độ tắc qua vi ống thông.
  • Rút toàn bộ ống thông, vi ống thông.
  • Đóng đường vào lòng mạch, kết thúc thủ thuật.
  • BRTO thành công khi toàn bộ búi tĩnh mạch dạ dày giãn đã bị xẹp do xơ hóa, huyết khối, không còn ngấm thuốc trên hình ảnh chụp CLVT. Các nhánh bàng không còn dòng chảy.

3. Tai biến và xử lý

3.1 Tăng áp lực tĩnh mạch cửa

Gặp khoảng 15-27% sau 1 năm và 45-58% sau 3 năm. Hậu quả của tăng áp lực tĩnh mạch cửa có thể dẫn đến vỡ các búi giãn tĩnh mạch thực quản và tăng mức độ dịch cổ chướng.

3.2 Suy thận cấp

Khi có suy thận cấp thì cần hội chẩn chuyên khoa thận – tiết niệu để xử trí suy thận.

Để đặt lịch khám tại viện, Quý khách vui lòng bấm số HOTLINE hoặc đặt lịch trực tiếp TẠI ĐÂY. Tải và đặt lịch khám tự động trên ứng dụng MyVinmec để quản lý, theo dõi lịch và đặt hẹn mọi lúc mọi nơi ngay trên ứng dụng.

Chia sẻ