Vai trò của xét nghiệm nhiễm sắc thể đồ trong chẩn đoán dị tật thai nhi

Mục lục

Bài viết được tư vấn chuyên môn bởi Bác sĩ chuyên khoa I Lê Hồng Liên - Khoa Sản phụ khoa - Bệnh viện Đa khoa Quốc tế Vinmec Central Park.

Khi bạn mang thai, bạn sẽ được xét nghiệm nhằm sàng lọc dị tật thai nhi, nếu phát hiện bất kỳ dấu hiệu bất thường nào, bác sĩ có thể đề nghị thực hiện nhiễm sắc thể đồ để xác định liệu em bé của bạn có vấn đề di truyền hoặc nhiễm sắc thể nào không. Đặc biệt với những cặp vợ chồng hiếm muộn, sảy thai hoặc trong gia đình có người dị tật thì làm xét nghiệm nhiễm sắc thể là lựa chọn tốt nhất.

1. Nhiễm sắc thể đồ là gì?

Bộ nhiễm sắc thể của người bình thường bao gồm 22 cặp nhiễm sắc thể thường và 1 cặp nhiễm sắc thể giới tính, XX ở người nữ và XY ở người nam. Bất kỳ một thay đổi nào về số lượng hoặc cấu trúc nhiễm sắc thể đều có thể dẫn đến các bất thường trong quá trình phát triển của người đó.

Nhiễm sắc thể đồ hay Karyotyping là xét nghiệm bộ nhiễm sắc thể trên mẫu tế bào để xác định rối loạn di truyền gây nên dị tật. Xét nghiệm này cho biết:

  • Số lượng nhiễm sắc thể.
  • Thay đổi về cấu trúc nhiễm sắc thể.

Xét nghiệm này có thể thực hiện được trên mẫu máu, tủy xương, dịch ối, gai nhau hoặc các mô cơ quan của người.

  • Để xét nghiệm dịch ối, cần phải chọc ối.
  • Mẫu tủy xương được lấy qua sinh thiết.

Các mẫu được nuôi cấy trong đĩa hoặc ống môi trường đặc biệt ở phòng thí nghiệm. Sau thời gian thích hợp sẽ thu hoạch các tế bào, nhỏ lam và nhuộm. Kích cỡ, hình dạng, số lượng nhiễm sắc thể trong mẫu tế bào sẽ được quan sát dưới kính hiển vi và được chụp hình sắp xếp thành bộ nhiễm sắc thể. Khi đó bất thường về số lượng và cấu trúc của bộ nhiễm sắc thể sẽ được phát hiện.

Bộ nhiễm sắc thể bình thường:

  • Nữ: 44 nhiễm sắc thể thường và 2 nhiễm sắc thể giới tính (XX), ký hiệu: 46, XX.
  • Nam: 44 nhiễm sắc thể thường và 2 nhiễm sắc thể giới tính (XY), kí hiệu: 46, XY.

Nhiễm sắc thể đồ bất thường:

  • Có nhiều hơn hoặc ít hơn 46 nhiễm sắc thể.
  • Hình dạng và kích cỡ của một hoặc nhiều nhiễm sắc thể là bất thường.
  • Một cặp nhiễm sắc thể có thể bị gãy hoặc được tách ra không hợp lý.

2. Khi nào cần thực hiện nhiễm sắc thể đồ?

2.1. Chẩn đoán trước sinh

Trong chẩn đoán trước sinh, các thai phụ được chỉ định chọc ối hoặc sinh thiết tua rau để phân tích nhiễm sắc thể thai khi có ít nhất một trong các yếu tố sau:

  • Những thai phụ lớn tuổi (trên 35 tuổi, thường từ 38 tuổi trở lên).
  • Những thai phụ có tiền sử sảy thai tự nhiên, thai chết lưu liên tiếp hoặc có con chết khi sinh.
  • Những thai phụ có tiền sử sinh con dị tật.
  • Những cặp vợ chồng thai phụ đã được xác định một trong hai người có đột biến cấu trúc nhiễm sắc thể di truyền được, ví dụ có mang nhiễm sắc thể mất đoạn, chuyển đoạn, đảo đoạn,... Những thai phụ đã được xác định là người mang nhiễm sắc thể X ở vị trí Xq27.3 dễ đứt có nguy cơ truyền NST X đột biến này cho con của mình.
  • Những thai phụ có kết quả siêu âm thai xác định có bất thường về hình thái có nguy cơ cao sinh con dị tật bẩm sinh (tăng khoảng sáng sau gáy hay còn gọi độ mờ da gáy ≥3mm, có nang bạch huyết, không có xương mũi,... hoặc các bất thường khác nghi ngờ có bất thường nhiễm sắc thể thai).
  • Những thai phụ có kết quả sàng lọc bằng huyết thanh (Double test, Triple test) có nguy cơ cao sinh con dị tật.

Những thai phụ có tiền sử sảy thai tự nhiên, thai chết lưu liên tiếp hoặc có con chết khi sinh nên thực hiện nhiễm sắc thể đồ.
Những thai phụ có tiền sử sảy thai tự nhiên, thai chết lưu liên tiếp hoặc có con chết khi sinh nên thực hiện nhiễm sắc thể đồ.

2.2. Trong chẩn đoán sau sinh

Xét nghiệm nhiễm sắc thể đồ từ máu ngoại vi (nuôi cấy bạch cầu lympho máu ngoại vi) được chỉ định trong các trường hợp sau:

  • Trẻ sơ sinh có dị tật bẩm sinh.
  • Những người mơ hồ về giới tính, bộ phận sinh dục chưa rõ là nam hay nữ.
  • Trẻ chậm phát triển tâm thần vận động chưa rõ nguyên nhân.
  • Những người mà tiền sử gia đình có người bị đột biến nhiễm sắc thể.
  • Những cặp vợ chồng vô sinh nguyên phát hoặc thứ phát. Vô sinh nguyên phát là tình trạng một cặp vợ chồng trong độ tuổi sinh đẻ, mong muốn có con nhưng không thể có thai sau 12 tháng có quan hệ tình dục mà không sử dụng biện pháp tránh thai nào. Vô sinh thứ phát là những cặp vợ chồng đã từng có thai nhưng sau 1 năm quan hệ tình dục bình thường mà không có thai lại.
  • Trẻ gái tới tuổi dậy thì (>16 tuổi) mà không có kinh (vô kinh nguyên phát) hoặc nữ giới đã có kinh nhưng đột nhiên bị mất kinh (vô kinh thứ phát).
  • Các cặp vợ chồng sẩy thai hoặc thai lưu liên tiếp.
  • Những người bị bệnh ung thư ví dụ như bệnh bạch cầu cấp thể tủy hoặc thể lympho, u nguyên bào thần kinh,... cần làm xét nghiệm nhiễm sắc thể đồ của tủy xương hoặc tế bào của khối u rất có giá trị trong phân loại bệnh, tiên lượng và điều trị bệnh.

3. Vai trò của xét nghiệm nhiễm sắc thể đồ

Xét nghiệm nhiễm sắc thể đồ trong chẩn đoán trước sinh và sau sinh giúp xác định đột biến nhiễm sắc thể về số lượng và cấu trúc. Kết quả xét nghiệm nhiễm sắc thể đồ sẽ được các chuyên gia di truyền tư vấn và tùy theo loại đột biến mà người có đột biến nhiễm sắc thể và gia đình sẽ được tư vấn và tiên lượng cụ thể về nguyên nhân và các khả năng có thể xảy ra đối với họ cũng như các thế hệ tương lai.

4. Các bất thường nhiễm sắc thể thường gặp

4.1. Bệnh do rối loạn nhiễm sắc thể thường

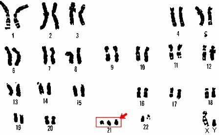
Hội chứng Down 47, XX (XY), +21 hay trisomy 21: Đây là rối loạn dư một nhiễm sắc thể số 21 (tam nhiễm sắc thể 21 hay Trisomy 21), thường gặp nhất ở trẻ sinh sống với tần suất 1/700 - 1/1000. Người bệnh Down thường biểu hiện chậm phát triển tâm thần, trí tuệ, chỉ số thông minh thấp và gần như không có khả năng học tập. Hơn 50% người bị bệnh kèm theo các dị tật bẩm sinh như: Tim mạch, tiêu hóa,...


Hội chứng Down là rối loạn nhiễm sắc thể do dư một nhiễm sắc thể số 21.
Hội chứng Down là rối loạn nhiễm sắc thể do dư một nhiễm sắc thể số 21.
  • Hội chứng Edward, 47, XX(XY), +18 hay trisomy 18: Là rối loạn nhiễm sắc thể nặng do dư một nhiễm sắc thể 18, hay gặp với tần suất 1/3000 trẻ sinh sống. Trẻ bệnh thường sống không quá 1 tuổi và hay mắc các dị tật bẩm sinh tim, thận và các cơ quan nội tạng khác.
  • Hội chứng Patau, 47, XX(XY), +13 hay trisomy 13: là bất thường nhiễm sắc thể nặng do dư một nhiễm sắc thể 13, gặp 1/10 000 trẻ sinh sống. Thai nhi mắc hội chứng Patau thường là thai lưu hoặc tử vong sớm sau khi sinh và kèm theo các dị tật bẩm sinh: Thần kinh, đa ngón, dị tật tim.
  • Nhiễm sắc thể Philadelphia: Hay còn gọi là chuyển đoạn Philadelphia là một bất thường nhiễm sắc thể đặc hiệu có liên quan đến thể CML (Chronic Myelogenous Leukemia) của bệnh leukemia kinh dòng tủy.

Một số rối loạn nhiễm sắc thể ít gặp

  • Ba nhiễm sắc thể số 8: Mặt dài, môi dưới dày, vẹo cột sống,... Có thể sống đến tuổi trưởng thành, đa số ở dạng khảm.
  • Ba nhiễm sắc thể số 9: Dị dạng xương khớp, dị dạng tim mạch.
  • Ba nhiễm sắc thể thứ 22: Đầu nhỏ, đa số chết trong năm đầu.
  • Hội chứng 5p (Mất đoạn nhánh ngắn nhiễm sắc thể số 5): hội chứng mèo kêu.

4.2. Rối loạn nhiễm sắc thể giới tính

  • Hội chứng Turner (45, XO hoặc 46,XO/46,XX): Là bất thường nhiễm sắc thể do thiếu một nhiễm sắc thể giới tính X với tần suất 1/2500 nữ. Biểu hiện hay gặp như lùn, cổ to, tóc mọc thấp, tai đóng thấp, tử cung và buồng trứng nhỏ, vô kinh, vô sinh,...
  • Hội chứng Klinefelter 47, XXY: Đây là một rối loạn ảnh hưởng đến nhiễm sắc thể giới tính, X và Y. Thông thường, mọi người chỉ có hai nhiễm sắc thể giới tính. Nếu là nữ sẽ mang XX, nếu là nam sẽ mang XY. Với hội chứng Klinefelter, người này có nhiễm sắc thể giới tính XXY, dư một nhiễm sắc thể giới tính X ở nam giới. Đây là rối loạn nhiễm sắc thể giới tính hay gặp nhất với tần suất 1/1000 nam. Bệnh nhân thường có tinh hoàn nhỏ và vô sinh.

Các bất thường nhiễm sắc thể là một trong các bệnh lý di truyền và hiện nay hoàn toàn có thể sàng lọc sớm từ tuần thứ thứ 9 với ưu điểm vượt trội là không xâm lấn, hoàn toàn không gây hại cho thai nhi NIPT được khuyến cáo chỉ định với các đối tượng có nguy cơ cao và thậm chí có thể là lựa chọn đầu tay cho các mẹ bầu trong sàng lọc lệch bội ở quý 1.


Xét nghiệm nhiễm sắc thể đồ rất cần thiết với các trường hợp có nguy cơ cao trong chẩn đoán trước sinh
Xét nghiệm nhiễm sắc thể đồ rất cần thiết với các trường hợp có nguy cơ cao trong chẩn đoán trước sinh

Để đặt lịch khám tại viện, Quý khách vui lòng bấm số HOTLINE hoặc đặt lịch trực tiếp TẠI ĐÂY. Tải và đặt lịch khám tự động trên ứng dụng MyVinmec để quản lý, theo dõi lịch và đặt hẹn mọi lúc mọi nơi ngay trên ứng dụng.

Chia sẻ