Unfortunately, the content on this page is not available in
English.
Please press continue to read the content in Vietnamese.
Thank you for your understanding!
Chủ đề Chọc sinh thiết gan
Trang chủ
Chủ đề Chọc sinh thiết gan
Danh sách bài viết
Sinh thiết gan bao lâu có kết quả
Sinh thiết gan là thủ thuật xâm lấn lấy 1 mảnh nhỏ nhu mô gan nhằm chẩn đoán xác định 1 số bệnh lý về gan. Thủ thuật được thực hiện bởi bác sĩ có kinh nghiệm dưới sự hướng dẫn của siêu âm, để có được kết quả của thủ thuật sinh thiết gan cần có 1 khoảng thời gian nhất định.
Xem thêm
U gan: Khi nào cần sinh thiết?
Gan là bộ phận quan trọng trong cơ thể người, ngày càng có nhiều căn bệnh nguy hiểm ở gan được phát hiện và quá trình điều trị gặp nhiều khó khăn do phát hiện bệnh ở giai đoạn muộn. Hiện nay, sinh thiết gan là phương pháp hữu hiệu giúp chẩn đoán và xác định tình trạng bệnh lý sớm và chính xác.
Xem thêm
Biến chứng có thể gặp khi sinh thiết gan
Sinh thiết gan là thủ thuật thường được các bác sĩ chỉ định để tầm soát các bệnh lý về gan, mặc dù đơn giản và tương đối an toàn, tuy nhiên trong một số trường hợp sinh thiết gan có thể gây ra biến chứng không mong muốn cho người bệnh.
Xem thêm
Quá trình sinh thiết gan diễn ra thế nào?
Sinh thiết gan là thủ thuật được tiến hành bởi bác sĩ chuyên khoa, bằng cách dùng kim sinh thiết nhỏ để chọc qua da của người bệnh và lấy ra một ít nhu mô gan để làm xét nghiệm. Nhờ có xét nghiệm sinh thiết gan mà bác sĩ sẽ chẩn đoán chính xác tình trạng, nguyên nhân bệnh lý và có phác đồ điều trị kịp thời.
Xem thêm
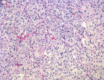
Vai trò của sinh thiết gan trong u tế bào biểu mô quanh mạch máu
U tế bào biểu mô quanh mạch gan (PEComas) là khối u trung mô bao gồm các tế bào biểu mô quanh mạch có đặc điểm mô học và miễn dịch mô học độc đáo.
Xem thêm