Vai trò của sinh thiết gan trong u tế bào biểu mô quanh mạch máu

Mục lục

U tế bào biểu mô quanh mạch gan (PEComas) là khối u trung mô bao gồm các tế bào biểu mô quanh mạch có đặc điểm mô học và miễn dịch mô học độc đáo. Chúng có biểu hiện lâm sàng không đặc hiệu, các đặc điểm hình ảnh không rõ ràng và thay đổi và kiểu hình bệnh lý phức tạp, khiến chẩn đoán trước phẫu thuật rất khó khăn. 

Bài viết được viết bởi ThS. BS Mai Viễn Phương - Trưởng đơn nguyên Nội soi tiêu hóa - Khoa Khám bệnh & Nội khoa - Bệnh viện Đa khoa Quốc tế Vinmec Central Park.

Chẩn đoán trước phẫu thuật chính xác là rất quan trọng đối với việc điều trị các khối u tế bào biểu mô quanh mạch máu gan (PEComas) vì u tế bào biểu mô quanh mạch máu gan chủ yếu là khối u lành tính và có thể không cần can thiệp phẫu thuật. Bằng cách phân tích nguyên nhân, đặc điểm và biểu hiện lâm sàng của u tế bào biểu mô quanh mạch máu, chúng tôi tóm tắt những thách thức và giải pháp trong chẩn đoán u tế bào biểu mô quanh mạch máu. 

Chẩn đoán trước phẫu thuật

Như đã thảo luận bởi Kou và cộng sự, u tế bào biểu mô quanh mạch máu gan có tỷ lệ chẩn đoán sai trước phẫu thuật rất cao. Theo Yang và cộng sự, Zeng và cộng sự và Jung và cộng sự, chỉ có 18%-26% bệnh nhân được xác nhận mắc u tế bào biểu mô quanh mạch máu gan bằng mô bệnh học được chẩn đoán đúng trước khi phẫu thuật. Hiện tượng này có thể là do nhiều yếu tố. 

Kiểm tra hình ảnh

Về dữ liệu hình ảnh trước phẫu thuật, theo hai báo cáo ca bệnh bao gồm 92 bệnh nhân và 94 bệnh nhân, độ chính xác của siêu âm là 0%-33%, chụp cắt lớp vi tính (CT) là 15,7%-18,2% và chụp cộng hưởng từ (MRI) là 4,3%-22,7%. Điều này có thể là do sự thay đổi về tỷ lệ và phân bố của các thành phần mô khác nhau trên hình ảnh, cản trở việc chẩn đoán. Ví dụ, các đặc điểm hình ảnh nổi bật nhất của u tế bào biểu mô quanh mạch máu gan là mô mỡ trưởng thành và mạch máu thành dày ở trung tâm. Điều này làm cho u tế bào biểu mô quanh mạch máu gan được đặc trưng bởi mô mỡ dễ chẩn đoán.

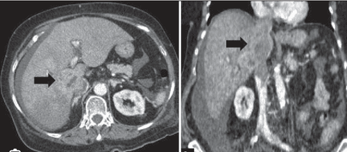
Hình anh chụp cắt lớp của u tế bào biểu mô quanh mạch máu
Hình anh chụp cắt lớp của u tế bào biểu mô quanh mạch máu

Tuy nhiên, u tế bào biểu mô quanh mạch máu gan có tính thay đổi và cũng có thể biểu hiện dưới dạng khối u chứa mô ít mỡ hoặc mô không mỡ. Hơn nữa, sự hiện diện của chất béo được phát hiện là không đáng tin cậy vì một số hydrocarbon có chứa chất béo và những chất béo này cũng có thể bắt chước u tế bào biểu mô quanh mạch máu gan trong quá trình trình bày. Điều này sẽ ảnh hưởng tiêu cực đến các chuyên gia hình ảnh và dễ dẫn đến chẩn đoán không chính xác. Để giải quyết vấn đề này, nhiều chuyên gia lâm sàng đã áp dụng nhiều cách tiếp cận khác nhau. Ví dụ, Ding và cộng sự, thông qua việc kết hợp kiểm tra siêu âm, CT, MRI và chụp mạch ở 79 bệnh nhân, đã đạt được độ chính xác chẩn đoán là 52%. Wang và cộng sự đã sử dụng siêu âm B bổ sung và siêu âm tăng cường độ tương phản (CEUS) để phân biệt u tế bào biểu mô quanh mạch máu gan với các khối u gan lành tính khác.
Điều này có thể gợi ý rằng việc kết hợp kiểm tra nhiều hình ảnh có thể cải thiện tỷ lệ chẩn đoán. Trong một báo cáo gần đây, chụp cắt lớp phát xạ positron (PET)/CT dường như là một công cụ hiệu quả để chẩn đoán u tế bào biểu mô quanh mạch máu. Các tác giả báo cáo rằng u tế bào biểu mô quanh mạch máu gan biểu hiện sự hấp thụ 68Ga-FAPI mạnh và hoạt động 18F-FDG nhẹ. Điều này có nghĩa là PET/CT 68Ga-FAPI có tiềm năng trở thành một công cụ chẩn đoán u tế bào biểu mô quanh mạch máu. 

Xét nghiệm trong phòng thí nghiệm

Các xét nghiệm trong phòng thí nghiệm trước phẫu thuật chỉ có thể đáp ứng các yêu cầu để loại trừ một số bệnh nhất định. Ví dụ, trong ba bệnh nhân được Kou và cộng sự báo cáo, ngoại trừ sự gia tăng CA-125 ở Bệnh nhân 3 có khối u buồng trứng, các bệnh nhân không có nồng độ dấu hiệu khối u trong huyết thanh bất thường, điều này phù hợp với các phát hiện trước đó rằng u tế bào biểu mô quanh mạch máu gan không đi kèm với kết quả huyết thanh bất thường. Phương pháp tiếp cận này có thể giúp các bác sĩ lâm sàng loại trừ chẩn đoán một số khối u phổ biến hoặc chỉ khiến họ nghi ngờ chẩn đoán được đề xuất.

Hình ảnh mô học của u tế bào biểu mô quanh mạch máu
Hình ảnh mô học của u tế bào biểu mô quanh mạch máu

Vai trò của sinh thiết gan

Tuy nhiên, trong một nghiên cứu đa trung tâm gần đây, ngay cả phân tích mô học của dữ liệu sinh thiết gan trước phẫu thuật cũng cho tỷ lệ chẩn đoán sai khoảng 15%. Tuy nhiên, sinh thiết gan vẫn là cách tốt nhất để xác định chẩn đoán các tổn thương gan như vậy trước khi phẫu thuật. Sự hiện diện của mô mỡ rất hữu ích để phân biệt bệnh này với các thực thể ác tính khác. 

Tuy nhiên, do tổn thương có thể thay đổi và lượng mô lấy được bằng cách chọc nhỏ, nên có thể lấy mẫu vùng mỡ hoặc không, khiến cho việc chẩn đoán từ sinh thiết chọc trở nên khó khăn. Tuy nhiên, so với chụp ảnh thông thường, độ chính xác chẩn đoán của sinh thiết đã tăng lên đáng kể. Đáng chú ý, hầu hết các PEComa đều dương tính mạnh với U hắc tố đen ở người-45 (HMB-45), S-adenosyl methionine (SAM) và melan-A. Ameurtesse và cộng sự cũng báo cáo rằng các tế bào HMB-45 thường dương tính; melan-A và SMA thường được biểu hiện. Biểu hiện âm tính của S100, desmin và vimentin có thể là dấu hiệu đặc hiệu của Hu tế bào biểu mô quanh mạch máu. 

Nếu chọc dò trước phẫu thuật hoặc xét nghiệm bệnh lý đông lạnh trong khi phẫu thuật có thể giải thích toàn diện sự khác biệt giữa kết quả chụp ảnh và xét nghiệm vi thể của những bệnh nhân như vậy và các khối u thông thường và nếu HMB-45, Melan-A và các chỉ số miễn dịch mô học mô bệnh học ung thư gan hiếm gặp khác được sử dụng, độ chính xác của chẩn đoán trước phẫu thuật cũng có thể tăng lên đáng kể.

Tài liệu tham khảo

1.  Kou YQ, Yang YP, Ye WX, Yuan WN, Du SS, Nie B. Perivascular epithelioid cell tumors of the liver misdiagnosed as hepatocellular carcinoma: Three case reports. World J Clin Cases. 2023;11:426-433.   

2.  Jo VY, Doyle LA. Refinements in Sarcoma Classification in the Current 2013 World Health Organization Classification of Tumours of Soft Tissue and Bone. Surg Oncol Clin N Am. 2016;25:621-643.

3.Yan S, Lu JJ, Chen L, Cai WH, Wu JZ. Hepatic perivascular epithelioid cell tumors: The importance of preoperative diagnosis. World J Gastroenterol 2024; 30(13): 1926

Để đặt lịch khám tại viện, Quý khách vui lòng bấm số HOTLINE hoặc đặt lịch trực tiếp TẠI ĐÂY. Tải và đặt lịch khám tự động trên ứng dụng MyVinmec để quản lý, theo dõi lịch và đặt hẹn mọi lúc mọi nơi ngay trên ứng dụng.

Chia sẻ