Bệnh lý tủy cổ do thoái hóa - Những điều cần biết

Mục lục

Bài viết được viết bởi Bác sĩ chấn thương chỉnh hình - Khoa Ngoại tổng hợp - Bệnh viện Đa khoa Quốc tế Vinmec Central Park

Bệnh lý tủy cổ do thoái hóa gặp nhiều ở người lớn tuổi (thường trên 55 tuổi), đặc trưng bởi sự chèn ép tủy cổ do các gai xương, thoát vị đĩa đệm, phì đại dây chằng vàng. Bệnh diễn tiến âm thầm từ từ với các triệu chứng cứng cổ, đau cánh tay, tê bàn tay và yếu dần tứ chi.

1.Bệnh lý tủy cổ là gì?

Bệnh lý cổ xảy ra do hậu quả của sự chèn ép tủy – rễ cổ bởi những nhiều nguyên nhân khác nhau như: Thoái hóa, chấn thương, cốt hóa, thoát vị đĩa đệm, bướu, viêm... thường nguyên nhân do thoái hóa cột sống cổ hay gặp.

Thoái hóa cột sống cổ chỉ những biến đổi thoái hóa, gồm sự thoái hóa mấu khớp, đĩa đệm, dây chằng và các mô liên kết của đốt sống. Ba yếu tố quan trọng trong sinh lý bệnh bao gồm: Cơ chế tĩnh, cơ chế động và sự thiếu máu cục bộ tủy sống.

1.1 Cơ chế tĩnh

Cơ chế tĩnh gây giảm đường kính ống sống và chèn ép tủy. Đĩa đệm trở nên mất nước, khô và giảm chiều cao theo tuổi. Quá trình này làm tổn thương thêm sụn khớp và mâm sụn tương ứng. Các gai xương thoái hóa phát triển từ vùng rìa của mâm sụn này cùng với sự vôi hóa đĩa đệm để tăng cường sự giữ vững cột sống. Khi gai xương phát triển quá mức, dây chằng vàng sẽ cứng hơn, phồng vào ống sống, chúng chèn ép trực tiếp và gây bệnh lý tủy cổ (thường gây triệu chứng khi kích thước ống sống giảm ít nhất 30%).


X quang cột sống cổ
X quang cột sống cổ

1.2 Cơ chế động

Cơ chế động do những cử động bình thường của cột sống cổ làm nặng thêm các tổn thương tủy sống có sẵn. Khi cúi cổ, tủy sống sẽ bị căng và cọ sát vào gai xương; khi ngửa cổ, dây chằng vàng phồng ra đẩy vào ống sống, làm ống sống vốn hẹp lại hẹp thêm.


Cơ chế động của cột sống cổ
Cơ chế động của cột sống cổ

1.3 Cơ chế thiếu máu cục bộ

Cơ chế thiếu máu cục bộ có lẽ cũng đóng một vai trò trong bệnh lý tủy cổ, đặc biệt ở giai đoạn muộn. Người ta thấy sự biến đổi mô học phù hợp với sự thiếu máu cục bộ tủy, nhưng không rõ cơ chế chính xác.

Những yếu tố khác cũng có liên quan đến thoái hóa cột sống như: Lao động nặng, do tư thế và yếu tố di truyền. Khoảng 70% người hội chứng Down bị thoái hóa cột sống ở tuổi 50.

2. Triệu chứng bệnh lý tủy cổ do thoái hóa

  • Bệnh nhân bị bệnh tủy cổ thường bị cứng cổ, đau sâu một hoặc hai bên cổ, lan xuống vai, cánh tay, dáng đi cứng và vụn về (dáng đi Robot).
  • Bệnh thường tiến triển âm thầm từ từ, giai đoạn đầu thường bệnh nhân thường thấy cứng cổ, một số bệnh nhân khi cử động cổ có tiếng kêu răng rắc khi vận động cổ.
  • Đau cánh tay, với đặc trưng đau nhói dọc theo trục cánh tay, khuỷu, cổ tay hoặc các ngón tay. Bệnh nhân cảm giác đau âm ỉ cánh tay, tê hoặc buốt ở bàn tay. Bệnh nhân bị teo cơ bàn tay, mất cảm giác, tăng các phản xạ. Khi cúi cổ bệnh nhân sẽ bị cảm giác giống điện giật xuống giữa lưng (dấu Lhermitte).

3. Chẩn đoán bệnh lý tủy cổ

3.1 Khám thực thể

Khám các dấu hiệu: Có thể phát hiện các dấu hiệu teo cơ bàn tay. Bệnh nhân có thể bị mất cảm giác rung, cảm giác bản thể, nhất là ở 2 bàn chân.

3.2 Hình ảnh học

X quang thường quy: Đánh giá sơ bộ ban đầu.

Chụp điện toán cắt lớp (CT scanner): Đánh giá phần xương tốt hơn MRI. Có thể thấy cốt hóa dây chằng dọc sau chèn ép tủy.

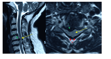
Cộng hưởng từ (MRI): Giúp đánh giá mức độ hẹp ống sống, chèn ép tủy sống; phát hiện tổn thương trong tủy như bướu ... Sự tăng cường độ tín hiệu của tủy gợi ý nhuyễn tủy hoặc tổn thương tủy vĩnh viễn.


Hình ảnh cộng hưởng từ (MRI) đánh giá mức độ hẹp ống sống
Hình ảnh cộng hưởng từ (MRI) đánh giá mức độ hẹp ống sống

4. Điều trị bệnh lý tủy cổ

Đánh giá kết quả điều trị bệnh lý tủy cổ mãn tính do thoái hóa rất khó, do nếu không điều trị thì khoảng 18% bệnh nhân tự hồi phục, 40% bệnh ổn định, không tiến triển thêm và khoảng 40% bệnh nhân sẽ diễn tiến nặng hơn. Hầu hết, điều trị bệnh lý tủy cổ đều chọn lựa điều trị bảo tồn, một số ít không đáp ứng điều trị bảo tồn thì cân nhắc chỉ định phẫu thuật.

4.1 Điều trị bảo tồn

  • Chế độ nghỉ ngơi một phần: tránh những động tác làm bệnh nặng thêm, tăng cường nằm nghỉ tại giường khi đau nhiều.
  • Bất động cột sống cổ bằng đai cổ (nẹp cổ) trong tư thế sinh lý.
  • Thuốc giảm đau, chống viêm không steroid. Đôi khi sử dụng corticoid, thuốc giãn cơ, vitamin nhóm B
  • Vật lý trị liệu.

Điều trị bảo tồn hữu ích trong giai đoạn sớm của bệnh

4.2 Phẫu thuật

Khi bệnh lý tủy cổ thực sự thì can thiệp phẫu thuật là cần thiết. Mục tiêu là giải ép tủy làm rộng ống sống.

4.2.1 Phương pháp cắt bản sống lối sau


Phương pháp cắt bản sống lối sau
Phương pháp cắt bản sống lối sau

Phẫu thuật tạo hình bản sống lối sau là một phương pháp mở rộng ống sống ra phía sau bằng cách mở nắp bản sống, có nhiều kiểu mở như: mở hình chữ Z (Z – plasty), hoặc mở theo phương pháp của Giáo sư Võ Văn Thành (mở về một bên, phẫu thuật VVT), phẫu thuật tạo hình bản sống lối sau theo phương pháp Tateru Shiraishi ...


Phẫu thuật tạo hình bản sống lối sau (làm rộng ống sống)
Phẫu thuật tạo hình bản sống lối sau (làm rộng ống sống)

4.2.2 Phẫu thuật giải ép lối trước

Phẫu thuật giải ép lối trước giúp loại bỏ trực tiếp gai xương và thoát vị đĩa đệm chèn ép tủy, ghép xương. Một số trường hợp, tiến đến đặt nẹp vít hàn xương giúp ngăn ngừa mất vững cột sống cổ sau mổ.


Phẫu thuật giải ép và đặt dụng cụ hàn xương lối trước
Phẫu thuật giải ép và đặt dụng cụ hàn xương lối trước

Lựa chọn đường mổ phía trước hay sau phụ thuộc nhiều yếu tố khác nhau nhưng mục tiêu trước hết là phải mở rộng ống sống đủ để giải ép tủy. Và trước khi mổ, phải loại trừ bệnh lý tủy cổ không phải do thoái hóa như bệnh xơ cứng rải rác, xơ cứng cột bên teo cơ.

Nhiều yếu tố tiên lượng kết quả phẫu thuật kém gồm: Liệt vận động nặng trước mổ, thay đổi tín hiệu bất thường trong tủy và/hoặc teo tủy sống thấy trên phim cộng hưởng từ, và thấy chèn ép tủy nặng trên hình ảnh học.

Bệnh lý tủy cổ thường gặp ở người có tuổi. Do dấu hiệu thoái hóa cột sống cũng thường thấy ở nhiều bệnh nhân lớn tuổi, nên điều quan trọng là phải có sự tương quan giữa diễn tiến lâm sàng và dấu hiệu hình ảnh học. Trong đó cộng hưởng từ có vai trò quan trọng nhất cho thấy số lượng tầng bị hẹp và loại trừ những bệnh lý khác. Điều trị, vẫn còn nhiều bàn cãi giữa điều trị bảo tồn và phẫu thuật. Phẫu thuật giải ép tủy vẫn là phương pháp thích hợp nhất cho nhiều bệnh nhân bị bệnh lý tủy cổ do thoái hóa.

Bệnh viện Đa khoa Quốc tế Vinmec là một trong những bệnh viện không những đảm bảo chất lượng chuyên môn với đội ngũ y bác sĩ, hệ thống trang thiết bị công nghệ hiện đại mà còn nổi bật với dịch vụ khám, tư vấn và chữa bệnh toàn diện, chuyên nghiệp; không gian khám chữa bệnh văn minh, lịch sự, an toàn và tiệt trùng tối đa. Khách hàng khi chọn thực hiện các xét nghiệm và điều trị bệnh tại đây có thể hoàn toàn yên tâm về độ chính xác và đem lại hiệu quả cao trong quá trình điều trị.

XEM THÊM

Để đặt lịch khám tại viện, Quý khách vui lòng bấm số HOTLINE hoặc đặt lịch trực tiếp TẠI ĐÂY. Tải và đặt lịch khám tự động trên ứng dụng MyVinmec để quản lý, theo dõi lịch và đặt hẹn mọi lúc mọi nơi ngay trên ứng dụng.

Chia sẻ