Bài viết bởi Thạc sĩ, Bác sĩ Mai Viễn Phương - Khoa Khám bệnh & Nội khoa - Bệnh viện Đa khoa Quốc tế Vinmec Central Park.
Trong chẩn đoán hằng ngày, chúng ta thỉnh thoảng bắt gặp các chẩn đoán về nội soi là thoát vị khe hoành, một số trường hợp nặng, phải phẫu thuật. Vậy thoát vị khe hoành là gì? Bệnh lý này có nguy hiểm? chẩn đoán bệnh này như thế nào? Bài viết này sẽ cho chúng ta biết những thông tin trên.
1. Thoát vị khe hoành là gì?
Cơ hoành là một mảng cơ, ngăn cách khoang bụng với khoang ngực, trong mảng cơ này, có những lỗ, khe, ngách để các cấu trúc giữa ngực và bụng thông thương với nhau.
Thoát vị cơ hoành (diaphragmatic hernia) là một khiếm khuyết hoặc là một cái lỗ mở trên cơ hoành mà cho phép các cơ quan trong ổ bụng di chuyển vào trong khoang ngực.
Thoát vị khe hoành (hiatal hernia) xảy ra khi dạ dày hoặc các cơ quan khác trồi vào trung thất qua lỗ thực quản của cơ hoành.
Đây là một bệnh lý thường gặp trong thực hành khám chữa bệnh.

Báo cáo đầu tiên về thoát vị khe hoành được công bố bởi Bowditch năm 1853.Năm 1900, Hirsch đã chẩn đoán thoát vị khe hoành dựa vào X quang thực quản - dạ dày cản quang. Friedenwald và Feldman đã mô tả những triệu chứng liên quan của thoát vị khe hoành. Năm 1926, Akerlund đã đề nghị thuật ngữ “hiatal hernia” và phân loại thoát vị khe hoành thành 3 loại (type):
- (I) thoát vị khe hoành với đoạn thực quản ngắn
- (II) thoát vị cạnh hoành
- (III) thoát vị khe hoành không gồm 2 loại này.
Gần đây, thoát vị khe hoành được phân thành 4 loại:
- Loại I với khớp nối thực quản - dạ dày trượt vào trung thất, kéo theo dạ dày phía dưới nó,loại này chiếm 95% thoát vị khe hoành, thường không triệu chứng hoặc là triệu chứng của trào ngược dạ dày thực quản.
- Trong loại II, khớp nối thực quản - dạ dày vẫn ở vị trí cũ, nhưng 1 phần đáy vị trượt vào trung thất cạnh thực quản, loại này khá hiếm, <1 % tất cả các loại thoát vị.
- Thoát vị khe hoành loại III (thoát vị hỗn hợp), được đặc trưng bởi cả đáy vị và khớp nối thực quản - dạ dày trong trung thất.
- Loại IV là loại thoát vị rộng hơn loại III với tạng thoát vị là đại tràng, lách, gan nằm trong lồng ngực. Một loại thoát vị khe hoành hiếm khác là thoát vị cạnh hoành, mà trong đó dạ dày thoát vị qua 1 lỗ khiếm khuyết nhỏ trên cơ hoành, cạnh trụ trái, phía trước trên cơ hoành.
2. Phân loại thoát vị khe hoành
Loại I (còn gọi là thoát vị trượt, thoát vị đồng tâm hay thoát vị trục): Với khớp nối thực quản dạ dày trượt vào trung thất, kéo theo dạ dày phía dưới nó.

Loại II: khớp nối thực quản dạ dày vẫn ở vị trí cũ, nhưng 1 phần đáy vị trượt vào trung thất cạnh thực quản.

Loại III: là sự phối hợp của thoát vị khe hoành loại I và thoát vị khe hoành loại II, được đặc trưng bởi cả đáy vị và khớp nối thực quản - dạ dày trong trung thất.

Loại IV: là loại thoát vị rộng hơn loại III với tạng thoát vị là đại tràng, lách, gan nằm trong lồng ngực.
Thoát vị khe hoành loại II, III, IV còn được gọi là thoát vị cạnh thực quản (paraesophageal hernias).
Thoát vị khe hoành khổng lồ: tùy theo định nghĩa của các tác giả, khi đường kính lỗ thoát vị lớn hơn 5 cm, hoặc hơn 1/3 dạ dày nằm trong lồng ngực.

Một loại thoát vị khe hoành hiếm khác là thoát vị cạnh hoành, mà trong đó dạ dày thoát vị qua 1 lỗ khiếm khuyết nhỏ trên cơ hoành, cạnh trụ trái, phía trước trên cơ hoành [9].

3. Tần suất thoát vị khe hoành
Tần suất thoát vị khe hoành trong toàn bộ dân số thì khó xác định, vì phần lớn bệnh nhân thoát vị mà không có triệu chứng. Tần suất thoát vị loại I cao gấp 7 lần thoát vị loại II, một số tài liệu ghi nhận khoảng 90% thoát vị khe hoành là loại I, khoảng 10% là thoát vị khe hoành loại II.
- Sự phân bố theo tuổi thì khác nhau đáng kể giữa loại I và loại II.
- Tần suất của thoát vị khe hoành tăng theo tuổi, từ 10% những người dưới 40 tuổi đến 79% những người trên 70 tuổi.
- Tuổi trung bình của thoát vị khe hoành là 61 tuổi, gần đây là 48 tuổi.
- Thoát vị loại II thường xảy ra ở nữ, tỉ lệ nữ/nam là 4/1.
4. Yếu tố thuận lợi của thoát vị khe hoành
- Cơ (bao gồm cả cơ hoành, trong đó có hai trụ cơ hoành) bị yếu và giảm tính đàn hồi (thoát vị mắc phải ở người già).
- Khiếm khuyết khe hoành (thoát vị bẩm sinh ở người trẻ) .
- Tăng áp lực trong xoang bụng (báng bụng, phụ nữ, người béo phì, người bị táo bón mãn tính...)
- Viêm thực quản mãn tính (làm xơ hoá lớp cơ dọc, dẫn đến thực quản bị rút ngắn).
5. Triệu chứng cơ năng thoát vị khe hoành
Không có sự liên quan rõ ràng giữa kích thước lỗ thoát vị và triệu chứng lâm sàng. Một lỗ thoát vị lớn có thể không có triệu chứng
Bệnh nhân bị thoát vị khe hoành có thể có một trong ba biểu hiện lâm sàng sau:
- Im lặng (chiếm hầu hết các trường hợp), bệnh nhân được phát hiện tình cờ qua khám sức khỏe hoặc vì một bệnh khác.
- Có triệu chứng (viêm thực quản trào ngược, hoặc triệu chứng của thoát vị cạnh thực quản).
- Có biến chứng (xoắn dạ dày, hoại tử dạ dày).
Các triệu chứng có thể gặp:
- Đau thượng vị hoặc đau ngay sau xương ức
- Nóng rát sau xương ức
- Đầy tức, khó tiêu
- Nôn ói, nôn máu
- Đau ngực
- Khó thở
- Sặc
- Đau hạ sườn trái...
6. Triệu chứng thực thể thoát vị khe hoành
- Thường không phát hiện gì.
- Triệu chứng thực thể, nếu có, cũng ít có giá trị chẩn đoán.
- Bệnh nhân có thể có biểu hiện thiếu máu nhẹ, tổng trạng béo phì, báng bụng...
- Có thể nghe được âm ruột ở ngực, vùng gõ đục ở ngực.
7. Các thủ thuật chẩn đoán thoát vị khe hoành
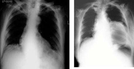
7.1. X quang ngực thẳng, nghiêng:
Hầu hết các trường hợp thoát vị khe hoành đều được chẩn đoán khởi đầu bằng hình ảnh nghi ngờ trên X quang ngực thẳng. Trên X quang ngực thẳng, thoát vị khe hoành biểu hiện bằng hình ảnh một khối mờ nằm sau bóng tim. Khối mờ này có thể có mức nước - hơi hay không.

Hình A: hình ảnh một khối có đậm độ mô mềm và giới hạn rõ nằm sau tim
Hình B: hình ảnh một khối hơi nằm trong trung thất.
Nguồn : A.H.A. Chapman, (2000)
7.2. X quang thực quản - dạ dày cản quang [1]:
X quang thực quản - dạ dày cản quang là một trong số cận lâm sàng được chỉ định để chẩn đoán xác định thoát vị khe hoành, cung cấp thông tin về sự trải rộng của khối thoát vị, giúp phân biệt thoát vị trượt và thoát vị cuộn qua xác định vị trí của tâm vị.

Nguồn : A.H.A. Chapman, (2000)
Trên phim X quang thực quản - dạ dày cản quang bình thường, vòng B (khớp nối dạ dày - thực quản), có thể nằm bên trên ≤2 cm hoặc nằm bên dưới lỗ thực quản.
Trong thoát vị khe hoành, sự thoát vị có thể được nhận ra với sự hiện diện của nếp niêm mạc dạ dày bên trong túi thoát vị. Thực quản bị xoắn có thể có một khớp nối lệch tâm với khối thoát vị.
Tiêu chuẩn thoát vị khe hoành loại I: khe hoành rộng hơn 3 cm, có ít nhất 5 nếp niêm mạc chạy xuyên qua khe hoành, khớp nối dạ dày thực quản di chuyển lên cao hơn 2 cm bên trên khe hoành (bình thường khớp nối dạ dày - thực quản chỉ ≤ 2cm).

H: khe hoành
S: dạ dày nằm bên trên khe hoành
B: vòng B (khớp nối dạ dày - thực quản)
V: thực quản
Nguồn : A.H.A. Chapman, (2000)
Vòng Schatzki:
Vòng Schatzki là một sự thu hẹp ở khớp nối dạ dày - thực quản, gây ra chứng khó nuốt, có thể là bẩm sinh,hoặc có thể do trào ngược dạ dày - thực quản. Trước khi chứng khó nuốt xảy ra, đường kính lòng thực quản thường thu hẹp xuống dưới hơn 13 mm. Vòng Schatzki luôn gắn liền với một thoát vị khe hoành dạng trượt nhỏ, và luôn được thấy rõ khi thực quản phình to sau khi uống Barium.

Hình A: vòng Schatzki trên phim chụp X - quang thực quản cản quang.
Hình B: bánh mì ngâm trong Barium đã được nuốt vào và bị kẹt tại vòng Schatzki.
Nguồn : A.H.A. Chapman, (2000)
Thoát vị khe hoành loại II:
Hình ảnh một túi cản quang nằm bên cạnh thực quản (phân biệt với túi thừa thực quản).

Nguồn : A.H.A. Chapman, (2000)
Thoát vị khe hoành loại III: đoạn xa thực quản nằm cạnh dạ dày bị thoát vị và khớp nối dạ dày - thực quản nằm trên cơ hoành.

Nguồn: DeMeester TR, (1989)
Thoát vị khe hoành loại IV: ngoài dạ dày, còn có các tạng như đại tràng, ruột non, mạc nối lớn trong túi thoát vị [1].

Nguồn: Lev Khithin (2009)
7. 3 CT scan ngực bụng
Hình ảnh thoát vị khe thực quản trên CT scan là một khối (có thể có mức nước - hơi hay không) nằm sau tim. Có thể lần theo khối để đến khe hoành qua các lát cắt tiếp theo sau. Ngoài ra còn các dấu hiệu như: khoảng cách giữa hai trụ hoành >15mm (bình thường ≤15mm), khối có đậm độ mô mềm nhô lên trên khe hoành mà có thể có mạc nối lớn bao quanh.
CT scan cung cấp những thông tin giá trị về vị trí khối thoát vị, những cơ quan liên quan (loại IV). Đặc biệt, kỹ thuật tái cấu trúc 3 chiều, giúp đánh giá cấu trúc trụ cơ hoành, những liên quan giải phẫu của nó đối với dạ dày, giúp định hướng kế hoạch trước phẫu thuật.

Hình A: khoảng cách giữa hai trụ hoành là 28mm (bình thường khoảng cách này ≤15mm), một phần đáy vị thoát vị qua lỗ cơ hoành
Hình B: Hình ảnh CT scan của trụ hoành bình thường: khoảng cách giữa hai trụ rất hẹp.
Nguồn : A.H.A. Chapman, (2000)

7.4. Nội soi thực quản - dạ dày
Loại I: Tư thế máy xuôi:
- Thực quản dãn hình chuông, với 2 vòng: vòng gần được hình thành bởi cơ vòng thực quản dưới, vòng xa được hình thành bởi lỗ thực quản.
Chiều dài từ cung răng đến đường Z ngắn lại: <35 cm.(bình thường khoảng cách này là 38 - 42 cm).
Các nếp niêm mạc hội tụ vào lỗ thoát vị.
Tư thế quặt ngược máy:
- Tâm vị không bóp chặt với các nếp niêm mạc hội tụ về lỗ thoát vị.
- Dãn hình chuông phía trên tâm vị.
- Sự đi lên của thoát vị trong giai đoạn hít vào

Nguồn: Berthold Block, (2004)
Loại II: Chỉ thấy khi quặt ngược máy: tâm vị bình thường, cạnh tâm vị có 1 lòng ống khác,các nếp niêm mạc hội tụ vào chỗ thoát vị.

Nguồn: Berthold Block, (2004)
Loại III: Hình ảnh là sự kết hợp hình ảnh hai dạng trên, với hình ảnh có 1 lỗ cạnh lỗ tâm vị, tâm vị không bóp chặt [12].
Nguồn: Berthold Block, (2004)
Ngoài vai trò chẩn đoán xác định, nội soi còn có tác dụng chẩn đoán các biến chứng của thoát vị khe hoành như viêm, loét, chảy máu, hay các bệnh lý có liên quan đến hiện tượng trào ngược mãn tính như thực quản Barrett, ung thư thực quản.
7.5. Siêu âm bụng
Ở người bình thường, đường kính của ống tiêu hoá (thực quản) ở vị trí khe thực quản là 7-10 mm. Kích thước này, khi đạt đến 16 - 21 mm, chứng tỏ không phải thực quản mà là dạ dày nằm ở khe thực quản. Dấu hiệu này có giá trị tiên đoán dương là 100% và giá trị tiên đoán âm là 90% trong chẩn đoán thoát vị khe hoành.
7.6. Đo áp lực thực quản và pH thực quản 24 giờ [21], [44], [46], [53], [54], [60]
Chủ yếu dùng để đánh giá tình trạng viêm thực quản trào ngược, các rối loạn vận động thực quản, các khiếm khuyết của thực quản, hoặc để loại trừ các bệnh lý như xơ cứng bì, co thắt tâm vị. Đo pH thực quản 24 giờ còn thể giúp đánh giá tình trạng viêm thực quản trào ngược ở những bệnh nhân mà hình ảnh nội soi thực quản bình thường.
8. Biến chứng của thoát vị khe hoành
Biến chứng của thoát vị khe hoành dạng trượt:
- Viêm thực quản trào ngược, bào mòn thực quản (loét Cameron), loét thực quản.
- Chảy máu từ các sang thương viêm hay loét thực quản. Máu thường chảy rỉ rả, chảy máu ồ ạt hiếm khi xảy ra.
Biến chứng của thoát vị khe hoành dạng cuộn:
Khoảng 30% bệnh nhân thoát vị khe hoành dạng cuộn có thiếu máu, có thể được gây nên do xuất huyết từ lớp niêm mạc do sự sung huyết của tĩnh mạch tại lỗ khe hoành.
Khoảng 30 % bệnh nhân thoát vị khe hoành dạng cuộn có biến chứng của viêm thực quản trào ngược. Nguy cơ lớn nhất của thoát vị khe hoành dạng cuộn là xoắn dạ dày, nghẹt, dẫn đến hoại tử phần dạ dày bị thoát vị.


Nguồn: Lev Khithin (2009)
Bệnh viện Đa khoa Quốc tế Vinmec là địa chỉ uy tín được nhiều bệnh nhân tin cậy trong thực hiện kỹ thuật chẩn đoán các bệnh lý thoát vị khe hoành...Cùng với đó, tại Bệnh viện Vinmec, việc nội soi chẩn đoán được thực hiện thông qua nội soi dạ dày với máy nội soi Olympus CV 190, với chức năng NBI (Narrow Banding Imaging - nội soi với dải tần ánh sáng hẹp) cho kết quả hình ảnh phân tích bệnh lý niêm mạc rõ nét hơn so với nội soi thông thường, phát hiện các tổn thương thoát vị nhỏ. Bệnh viện Vinmec với cơ sở vật chất và trang thiết bị hiện đại cùng đội ngũ chuyên gia giàu kinh nghiệm, luôn tận tâm tận lực trong khám chữa bệnh, khách hàng có thể yên tâm với dịch vụ nội soi dạ dày, thực quản tại Bệnh viện Đa khoa Quốc tế Vinmec.
Để đặt lịch khám tại viện, Quý khách vui lòng bấm số HOTLINE hoặc đặt lịch trực tiếp TẠI ĐÂY. Tải và đặt lịch khám tự động trên ứng dụng MyVinmec để quản lý, theo dõi lịch và đặt hẹn mọi lúc mọi nơi ngay trên ứng dụng.