Chỉ định xét nghiệm nhiễm sắc thể đồ

Mục lục

Xét nghiệm nhiễm sắc thể đồ giúp phát hiện những bất thường của bộ nhiễm sắc thể người gây nên một số bệnh lý nguy hiểm. Đây là một cận lâm sàng hiện đại, giúp chẩn đoán các bệnh lý liên quan đến di truyền, dị tật bẩm sinh hoặc tìm nguyên nhân vô sinh hiếm muộn của các cặp vợ chồng.

1. Xét nghiệm nhiễm sắc thể đồ là gì?

Làm nhiễm sắc thể đồ (hay còn gọi là xét nghiệm karyotype) là một cận lâm sàng hiện đại giúp xác định bộ nhiễm sắc thể trên mẫu tế bào của con người, giúp chẩn đoán được một số rối loạn di truyền gây nên dị tật bẩm sinh hoặc các bệnh lý ác tính của máu. Xét nghiệm nhiễm sắc thể đồ giúp bác sĩ mô tả được 2 đặc điểm nổi bật là:

  • Số lượng nhiễm sắc thể
  • Các thay đổi bất thường về cấu trúc của nhiễm sắc thể

Đặc điểm của bộ nhiễm sắc thể bình thường

  • Nữ giới: bộ nhiễm sắc thể nữ có 22 cặp nhiễm sắc thể thường và 1 cặp nhiễm sắc thể giới tính (XX), ký hiệu bộ nhiễm sắc thể là: 46, XX
  • Nam giới: bộ nhiễm sắc thể năm có 22 cặp nhiễm sắc thể thường và 2 nhiễm sắc thể giới tính (XY), kí hiệu bộ nhiễm sắc thể là: 46, XY

Làm nhiễm sắc thể đồ hay còn gọi là xét nghiệm karyotype
Làm nhiễm sắc thể đồ hay còn gọi là xét nghiệm karyotype

2. Chỉ định xét nghiệm nhiễm sắc thể đồ khi nào?

  • Một số bệnh lý ác tính về máu như: bệnh bạch cầu cấp dòng tủy, bệnh bạch cầu cấp dòng lympho, bệnh bạch cầu mạn dòng lympho, đa u tủy, bệnh suy tủy, loạn sinh tủy cần xác định những bất thường nhiễm sắc thể gồm bất thường về số lượng (đơn bội, đa bội) hoặc các bất thường về cấu trúc (mất đoạn, chuyển đoạn, lặp đoạn, đảo đoạn).
  • Những cặp vợ chồng vô sinh hiếm muộn hoặc sảy thai nhiều lần không rõ nguyên nhân.
  • Kiểm tra một số bất thường về dị tật bẩm sinh có tính chất di truyền.
  • Kiểm tra bất thường về nhiễm sắc thể của thai nhi trong bụng mẹ.

Bệnh nhân bệnh bạch cầu cấp dòng tủy cần xét nghiệm nhiễm sắc thể đồ
Bệnh nhân bệnh bạch cầu cấp dòng tủy cần xét nghiệm nhiễm sắc thể đồ

3. Quy trình thực hiện xét nghiệm nhiễm sắc thể đồ

3.1 Loại mẫu để xét nghiệm karyotype

Tiến hành rút 2ml tủy xương hoặc 4ml máu ngoại vi (đối với mẫu có blast >10%).

  • Đối với bệnh loạn sinh tủy, bệnh đa u tủy, bệnh bạch cầu mạn dòng lympho thì cần lấy 2ml tủy xương, mẫu tủy xương sẽ được lấy qua phương pháp sinh thiết
  • Bệnh bạch cầu mạn dòng tủy có bạch cầu máu tăng cao > 50.000/mm3 thì cần lấy 4ml máu ngoại vi.
  • Đối với bệnh lý di truyền, vô sinh, dị tật bẩm sinh: cần lấy 2mL máu ngoại vi.

Một số trường hợp mẫu xét nghiệm là dịch ối được lấy qua phương pháp sinh thiết buồng ối trong tử cung.

Tất cả các mẫu sau khi lấy đều được được chống đông bằng Heparin 300UI.. và chuyển đến phòng xét nghiệm trong vòng 1 tiếng đồng hồ sau khi lấy.

3.2 Quy trình thực hiện xét nghiệm nhiễm sắc thể đồ

Các mẫu sau khi lấy sẽ được nuôi cấy trong đĩa hoặc ống môi trường đặc biệt ở phòng thí nghiệm. Sau một khoảng thời gian thích hợp sẽ thu hoạch các tế bào, nhỏ lam và nhuộm với kỹ thuật GTG (Giemsa trypsin G-banding).

Sau khi nhuộm, các tế bào sẽ được quan sát dưới kính hiển vi độ phóng đại lên đến 1000 lần để quan sát kích cỡ, hình dạng, số lượng nhiễm sắc thể trong mẫu tế bào. Kết quả sẽ được chụp hình lại, sắp xếp và làm nhiễm sắc thể đồ bằng máy móc chuyên dụng, qua đó sẽ phát hiện được các bất thường về số lượng và cấu trúc của bộ nhiễm sắc thể.


Các tế bào sau khi nhuộm sẽ được quan sát dưới kính hiển vi độ
Các tế bào sau khi nhuộm sẽ được quan sát dưới kính hiển vi độ

4. Một số bất thường bộ nhiễm sắc thể hay gặp

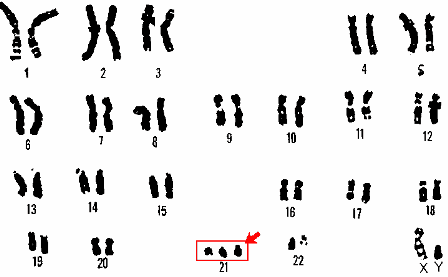
Hội chứng Down

Bộ nhiễm sắc thể của hội chứng Down là 47, XX (XY), +21 hay trisomy 21. Dị tật bẩm sinh này xảy ra do rối loạn dư một nhiễm sắc thể số 21 (tam nhiễm sắc thể 21 hay Trisomy 21), thường gặp nhất ở trẻ sau sinh với tần suất 1/700 - 1/1000.

Biểu hiện của hội chứng Down là trẻ sinh ra thường chậm phát triển tâm thần, chậm phát triển trí tuệ, có chỉ số thông minh thấp và gần như mất hoàn toàn khả năng ghi nhớ và học tập. Bên cạnh đó, hơn một nửa trẻ bệnh sẽ theo các dị tật bẩm sinh ở cơ quan khác như tim mạch, tiêu hóa...

Hội chứng Klinefelter

Ký hiệu bộ nhiễm sắc thể là 47, XXY. Cơ chế bệnh của hội chứng này là dư một nhiễm sắc thể giới tính X, bệnh chỉ xảy ra ở nam giới. Hội chứng Klinefelter là rối loạn bất thường về số lượng nhiễm sắc thể liên quan đến giới tính hay gặp nhất với tần suất 1/1000. Triệu chứng là tinh hoàn thường nhỏ và ảnh hưởng đến khả năng sinh sản hoặc vô sinh.

Hội chứng Edward

Ký hiệu bộ NST là 47, XX(XY), +18 hay trisomy 18. Bất thường số lượng nhiễm sắc thể gây nên hội chứng này với biểu hiện do dư một nhiễm sắc thể số 18, tỷ lệ bắt gặp là khoảng 1/3000 trẻ sinh ra sống. Thông thường, trẻ mắc bệnh này sống không quá 1 tuổi và hay mắc các dị tật bẩm sinh ở tim, thận và các cơ quan nội tạng khác.

Hội chứng Turner

Ký hiệu bộ NST là 45, XO. Đây là bất thường số lượng do thiếu một nhiễm sắc thể giới tính X với tỉ lệ gặp khoảng 1/2500 bé nữ. Hội chứng Turner thường làm bé gái lùn, cổ to, tóc mọc thấp, tai đóng thấp, tử cung và buồng trứng nhỏ, vô kinh, vô sinh...


Hội chứng Down là một bất thường bộ nhiễm sắc thể hay gặp
Hội chứng Down là một bất thường bộ nhiễm sắc thể hay gặp

Hội chứng Patau

Ký hiệu bộ nhiễm sắc thể là 47, XX(XY), +13 hay trisomy 13. Đây là hội chứng xảy ra do dư một nhiễm sắc thể 13, tỷ lệ gặp 1/10000 trẻ sinh sống. Đa số các trường hợp thai nhi mắc hội chứng Patau thường bị sảy thai, thai chết lưu hoặc chuyển dạ sinh nhưng tử vong sớm sau sinh và kèm theo các dị tật bẩm sinh các cơ quan khác như thần kinh (não nhỏ, não thất duy nhất...), dị tật tim, sứt môi chẻ vòm, đa ngón...

Nhiễm sắc thể Philadelphia

Đây là bất thường liên quan đến cấu trúc nhiễm sắc thể, với cơ chế là chuyển đoạn Philadelphia, bất thường nhiễm sắc thể đặc hiệu có liên quan đến thể CML (Chronic Myelogenous Leukemia) của bệnh bạch cầu cấp. Đây là kết quả của sự chuyển đoạn giữa nhiễm sắc thể số 9 và số 22, t(9;22)(q34;q11).

Để đặt lịch khám tại viện, Quý khách vui lòng bấm số HOTLINE hoặc đặt lịch trực tiếp TẠI ĐÂY. Tải và đặt lịch khám tự động trên ứng dụng MyVinmec để quản lý, theo dõi lịch và đặt hẹn mọi lúc mọi nơi ngay trên ứng dụng.

Chia sẻ