Nội soi hình ảnh dải hẹp tiêu chuẩn so với phóng đại để chẩn đoán nhiễm Helicobacter pylori và các tình trạng tiền ung thư dạ dày

Mục lục

Bài viết bởi Thạc sĩ, Bác sĩ Mai Viễn Phương - Khoa Khám bệnh & Nội khoa - Bệnh viện Đa khoa Quốc tế Vinmec Central Park

Trong mô hình sinh ung thư dạ dày của Correa, nhiễm Helicobacter pylori, viêm teo dạ dày và chuyển sản ruột có liên quan đến sự phát triển ung thư dạ dày. Mức độ thấp của pepsinogens trong huyết thanh được biết là có liên quan nhiều đến viêm dạ dày teo rộng. Hình ảnh dải hẹp có độ phân giải cao và phóng đại (M-NBI) giúp kiểm tra chi tiết niêm mạc đường tiêu hóa. Tuy nhiên, không có dữ liệu so sánh về tính hữu ích của nội soi tiêu chuẩn và M-NBI đối với nhiễm H. pylori và các tình trạng tiền ung thư dạ dày.

Các tác giả nhận thấy mối liên hệ có ý nghĩa giữa các kiểu niêm mạc nội soi và mức độ của các tình trạng tiền ung thư dạ dày (viêm teo dạ dày vừa đến nặng và tỷ lệ pepsinogen I / II huyết thanh ≤ 3). Những kết quả này dường như có giá trị để xác định một nhóm có nguy cơ ung thư dạ dày bằng nội soi chất lượng cao.

1. Cập nhật về mối liên quan giữa nhiễm Helicobacter pylori và viêm dạ dày

Tỷ lệ nhiễm Helicobacter pylori (H. pylori) trên toàn cầu được báo cáo là> 50%. Trong dạ dày bị nhiễm H. pylori, tình trạng viêm mãn tính hoạt động của niêm mạc trở nên dai dẳng, dẫn đến viêm teo dạ dày và chuyển sản ruột (chuyển sản ruột). Theo mô hình sinh ung thư dạ dày của Correa, viêm teo dạ dày và chuyển sản ruột có liên quan đến sự tiến triển của ung thư dạ dày. Teo dạ dày tiến triển và chuyển sản ruột được coi là tình trạng tiền ung thư vì chúng tương quan với quá trình sinh ung thư dạ dày. Chẩn đoán chính xác các tình trạng tiền ung thư dạ dày là điều cần thiết để xác định bệnh nhân có nguy cơ mắc ung thư dạ dày.

2. Vai trò của chế độ hình ảnh NBI và NBI phóng đại

Chụp ảnh dải hẹp (NBI) là một phương pháp quang học cải tiến giúp kiểm tra chi tiết niêm mạc dạ dày. Hơn nữa, nội soi NBI (M-NBI) phóng đại với độ phóng đại 80 lần có thể hình dung cấu trúc niêm mạc mịn và các vi mạch. Nội soi M-NBI có thể được sử dụng để chẩn đoán nhiễm H. pylori và phân loại viêm dạ dày theo mức độ mô học. Những cải tiến gần đây về độ phân giải (> 1 triệu pixel) của nội soi tiêu hóa đã nâng cao chất lượng hình ảnh, tạo điều kiện cho việc mô tả đặc điểm của mô niêm mạc dạ dày. Quan sát chặt chẽ niêm mạc dạ dày bằng nội soi tiêu chuẩn không cần phóng đại cho phép dự đoán viêm dạ dày do H. pylori. Hơn nữa, mức độ nghiêm trọng của viêm teo dạ dày và chuyển sản ruột khác nhau tùy theo hình thái niêm mạc nội soi. Trong một đánh giá có hệ thống, nội soi tiêu chuẩn có hiệu quả như một phương pháp thay thế để chẩn đoán nhiễm H. pylori . Tuy nhiên, không có dữ liệu so sánh về tiện ích của nội soi tiêu chuẩn và M-NBI để chẩn đoán nhiễm H. pylori, viêm teo dạ dày và chuyển sản ruột.

Nội soi hình ảnh dải hẹp tiêu chuẩn so với phóng đại để chẩn đoán nhiễm Helicobacter pylori và các tình trạng tiền ung thư dạ dày

Hình ảnh niêm mạc dạ dày bình thường và ba mẫu niêm mạc bất thường trong thân vị dạ dày bằng nội soi tiêu chuẩn. A: Mẫu bình thường, nhiều chấm đỏ nhỏ; B: Loại A, dạng khảm; C: Loại B, đỏ đồng nhất lan tỏa; D: Loại C, đỏ không đều, có rãnh giữa các cấu trúc viêm.

Nội soi hình ảnh dải hẹp tiêu chuẩn so với phóng đại để chẩn đoán nhiễm Helicobacter pylori và các tình trạng tiền ung thư dạ dày

Các hình thái vi niêm mạc trong thân vị dạ dày được quan sát bằng nội soi hình ảnh dải hẹp phóng đại. A: Mô hình bình thường được đặc trưng bởi sự sắp xếp đều đặn của các tiểu tĩnh mạch thu thập và mạng lưới mao mạch dưới biểu mô giống như tổ ong; B: Loại Z-1, các hố tròn đều với các rãnh đa giác; C: Loại Z-2, các hố tuyến tính và giãn hơn mà không có sulci; D: Loại Z-3, mất các hố dạ dày với các vi ống cuộn.

3. Đánh giá bằng mô bệnh học đóng vai trò quan trọng trong chẩn đoán các bệnh lý đường tiêu hóa bằng nội soi.

Các nhà nội soi có xu hướng tập trung vào việc phát hiện các tổn thương bất thường, và việc kiểm tra vĩ mô bằng nội soi thông thường có những hạn chế trong việc xác định đặc điểm các tổn thương niêm mạc. Do đó, chẩn đoán cuối cùng của các tổn thương được phát hiện là phụ thuộc vào báo cáo bệnh lý. Để xác định những người có nguy cơ ung thư dạ dày, sự hiện diện của các tình trạng tiền ung thư được đánh giá bằng sinh thiết không nhắm mục tiêu theo phác đồ ở các khu vực khác nhau. Tuy nhiên, sinh thiết nhiều niêm mạc làm tăng chi phí y tế và thời gian thực hiện thủ thuật.

4. Nội soi có độ phân giải cao và độ phóng đại cao tạo điều kiện kiểm tra chi tiết niêm mạc đường tiêu hóa.

Năm 2002, Yagi và cộng sự sử dụng nội soi phóng đại để chỉ ra rằng RAC là một phát hiện đặc trưng ở dạ dày bình thường không nhiễm H. pylori . Các kiểu niêm mạc bất thường không có RAC được phân loại từ Z-1 đến Z-3 tùy theo mức độ tổn thương niêm mạc trong dạ dày bị nhiễm H. pylori. Anagnostopoulos và cộng sự đã chứng minh rằng kiểm tra nội soi phóng đại có thể xác định niêm mạc dạ dày bình thường, H. pylori– Viêm dạ dày liên quan, và viêm teo dạ dày ở người phương Tây. Mức độ nghiêm trọng của viêm dạ dày mãn tính đã được nghiên cứu dựa trên các mô hình vi niêm mạc mà M-NBI quan sát được. Kanzaki và cộng sự báo cáo rằng niêm mạc kiểu rãnh có mức độ teo và chuyển sản ruột cao hơn so với niêm mạc kiểu ổ. Tuy nhiên, nội soi M-NBI không có sẵn trong tất cả các đơn vị nội soi và cần phải có chương trình đào tạo trước khi ứng dụng lâm sàng.


Hình ảnh niêm mạc dạ dày trên nội soi phóng đại có chức năng nhuộm màu điện tử NBI
Hình ảnh niêm mạc dạ dày trên nội soi phóng đại có chức năng nhuộm màu điện tử NBI

5. Đánh giá tình trạng nhiễm H. pylori bằng nội soi độ phân giải cao

Trong một nghiên cứu trước đây, các tác giả xác định tình trạng nhiễm H. pylori bằng cách quan sát kỹ niêm mạc dạ dày bằng nội soi độ phân giải cao không có độ phóng đại . Độ nhạy và độ đặc hiệu của tất cả các mẫu bất thường để dự đoán nhiễm H. pylori lần lượt là 93,3% và 89,1%, và độ chính xác chẩn đoán tổng thể là 91,6%. Sự đồng ý giữa các quan sát viên và nội bộ đối với các kiểu niêm mạc nội soi lần lượt là 91,7% và 90,0%. Kỹ thuật nội soi đơn giản hóa này đã cho phép dự đoán đáng tin cậy về tình trạng nhiễm H. pylori trong dạ dày ở các nước khác. Những tiến bộ gần đây trong công nghệ hình ảnh nội soi đã làm tăng độ chính xác chẩn đoán Nhiễm H. pylori. Theo hiểu biết của các tác giả, đây là nghiên cứu đầu tiên so sánh hiệu suất chẩn đoán giữa nội soi tiêu chuẩn và nội soi M-NBI đối với nhiễm H. pylori. Các tác giả cũng phân tích mức độ viêm teo dạ dày, chuyển sản ruột và nồng độ PG huyết thanh theo hai phân loại nội soi. Sự giảm tỷ lệ PG I / II trong huyết thanh được cho là một dấu hiệu không xâm lấn cho viêm dạ dày thể tiến triển và ung thư dạ dày.

6. Pepsinogen huyết thanh có tương quan chặt chẽ với chuyển sản ruột ở dạ dày và ung thư dạ dày

Wang và cộng sự báo cáo rằng mức PG huyết thanh có tương quan chặt chẽ với phân loại viêm dạ dày theo OLGA và phân loại giai đoạn chuyển sản ruột ở dạ dày theo OLGIM. Do đó, tỷ lệ PG I / II huyết thanh ≤ 3 là dấu hiệu huyết thanh của các tình trạng tiền ung thư dạ dày. Ngoại trừ độ nhạy, hiệu quả chẩn đoán nhiễm H. pylori là tương tự giữa nội soi tiêu chuẩn và nội soi M-NBI. Bảy bệnh nhân có hình thể bình thường bằng nội soi tiêu chuẩn đã bị nhiễm H. pylori . Ngược lại, những bệnh nhân này được phân loại là loại Z-1 ( n = 4), loại Z-2 ( n = 2) và loại Z-3 ( n = 1) bằng nội soi M-NBI. Điều này có thể là do khả năng của M-NBI trong việc kiểm tra hình thái vi mô bề ngoài của vùng dạ dày và mô hố, điều này không thể thực hiện được với nội soi tiêu chuẩn. Tuy nhiên, nội soi tiêu chuẩn có thể cho phép phát hiện nhiễm H. pylori trong thực hành lâm sàng thường quy (độ chính xác chẩn đoán, 93,3%).

7. Quá trình tiến triển viêm teo của niêm mạc dạ dày

Để chẩn đoán viêm teo dạ dày và chuyển sản ruột, nội soi tiêu chuẩn và M-NBI có độ nhạy tuyệt vời, giá trị NPV (> 95%) và AUC (> 0,7); tuy nhiên, độ đặc hiệu và giá trị PPV không được chấp nhận.

Theo phân loại Kimura – Takemoto, viêm teo dạ dày tiến triển thường xuyên hơn dọc theo độ cong nhỏ hơn so với bờ cong lớn của thân vị. Khi sự thay đổi teo kéo dài đến niêm mạc trước và sau của thân vị, mô hình của chuyển sản ruột trở nên lan tỏa hơn trong dạ dày. Trong nghiên cứu này, các tác giả tập trung vào mô hình niêm mạc ở độ cong lớn hơn của thân vị dạ dày. Sự teo niêm mạc dạ dày và sự biến đổi thành chuyển sản ruột xảy ra cuối cùng ở độ cong lớn hơn của thân vị, cản trở việc đánh giá các tình trạng tiền ung thư dạ dày. Một quy trình sàng lọc có hệ thống cho dạ dày đã được phát triển để đảm bảo đánh giá nội soi chất lượng cao, và cho phép phát hiện viêm teo dạ dày và chuyển sản ruột ở các vùng khác nhau của dạ dày.

Sử dụng NBI mà không cần phóng đại, Pimentel-Nunes và cộng sự đã tạo ra một phân loại nội soi để phân loại chuyển sản ruột dạ dày; một mô hình niêm mạc dạng tubulovillous rất phù hợp với chuyển sản ruột mô học. Tuy nhiên, các kết quả nội soi nâng cao hình ảnh để chẩn đoán và phân loại bệnh viêm teo dạ dày vẫn còn được thiết lập.

8. Hình ảnh mô học của viêm dạ dày do nhiễm H.Pylori

Nhiễm vi khuẩn H.Pylori thường gây nên hình ảnh phù nề xung huyết ở niêm mạc thân vị và hang vị. Về mặt mô học, nhiễm H. pylori gây thâm nhiễm bạch cầu trung tính và tế bào đơn nhân trong niêm mạc dạ dày. Trong bệnh phẩm sinh thiết, tăng sản bạch huyết là một phản ứng miễn dịch đặc hiệu đối với nhiễm H. pylori. Trong quá trình viêm do H. pylori gây ra trong thời gian dài , sự hiện diện của tăng sản bạch huyết giảm khi mức độ nghiêm trọng của viêm teo dạ dày và chuyển sản ruột ngày càng tăng. Ở phụ nữ trẻ, viêm dạ dày dạng nốt do nhiễm H. pylori và các nang lympho trong tổn thương dạng nốt có thể được phát hiện bằng mô học.

Nội soi hình ảnh dải hẹp tiêu chuẩn so với phóng đại để chẩn đoán nhiễm Helicobacter pylori và các tình trạng tiền ung thư dạ dày

Miyamoto và cộng sự báo cáo rằng viêm dạ dày dạng nốt cho thấy điểm teo thấp hơn so với các dạng viêm dạ dày liên quan đến H. pylori khác. Tương tự, các tác giả giả định rằng một vùng dạ dày phù nề sẽ xuất hiện trong giai đoạn đầu nhiễm H. pylori . Do đó, loại A được sử dụng như một tham chiếu để đánh giá nguy cơ ung thư dạ dày theo mô hình niêm mạc bất thường bằng nội soi tiêu chuẩn. Bằng nội soi M-NBI, loại Z-1 được báo cáo có tương quan với viêm teo dạ dày và chuyển sản ruột ít nghiêm trọng hơn so với các loại khác. Trong một số nghiên cứu loại A và B + C cho thấy tỷ lệ PG I / II huyết thanh khác nhau đáng kể (3,82 so với 2,74, P= 0,007), cũng như loại Z-1 và Z-2 + Z-3 (3,24 so với 2,28, P = 0,005). Tuy nhiên, không có sự khác biệt đáng kể giữa các mẫu niêm mạc bất thường đối với chuyển sản ruột trong thân vị . Dựa trên các mẫu chuyển sản ruột đa tiêu điểm, nên nội soi niêm mạc toàn bộ dạ dày, nhiều tác giả báo cáo rằng phân loại chuyển sản ruột qua nội soi NBI rất hữu ích để đánh giá nguy cơ ung thư dạ dày sớm.


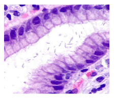
Hình ảnh xoắn khuẩn H.Pylori được nhìn thấy dưới kính hiển vi
Hình ảnh xoắn khuẩn H.Pylori được nhìn thấy dưới kính hiển vi

Kết luận

Kết luận, việc quan sát chặt chẽ niêm mạc dạ dày bằng nội soi tiêu chuẩn và M-NBI cho phép chẩn đoán nhiễm H. pylori và các tình trạng tiền ung thư dạ dày. Hơn nữa, kết quả của các tác giả cho thấy mối liên quan giữa các kiểu niêm mạc nội soi với teo vừa đến nặng và tỷ lệ PG I / II huyết thanh ≤ 3.

Để đặt lịch khám tại viện, Quý khách vui lòng bấm số HOTLINE hoặc đặt lịch trực tiếp TẠI ĐÂY. Tải và đặt lịch khám tự động trên ứng dụng MyVinmec để quản lý, theo dõi lịch và đặt hẹn mọi lúc mọi nơi ngay trên ứng dụng.

Chia sẻ