Bài viết bởi: Thạc sĩ, Bác sĩ Nguyễn Lê Thảo Trâm - Khoa Chẩn đoán hình ảnh - Bệnh viện Đa khoa Quốc tế Vinmec Nha Trang.
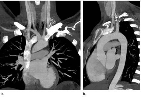
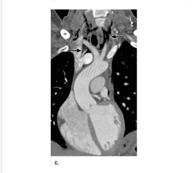
Triple-Rule-Out (viết tắt là TRO) là kỹ thuật chụp CTScan có thuốc cản quang dùng để khảo sát động mạch vành, động mạch chủ, động mạch phổi trong 1 lần chụp phim.
1. Chụp Triple – rule – out là gì?
Kỹ thuật TRO thường dùng trong những trường hợp cấp cứu cần loại trừ các bệnh lý liên quan đến động mạch vành, động mạch chủ hoặc động mạch phổi, như thuyên tắc động mạch phổi, bóc tách động mạch chủ hoặc hẹp tắc động mạch vành.
Tuy nhiên, trong những trường hợp chống chỉ định như dị ứng với thuốc cản quang, có hoặc đang nghi ngờ có thai, suy tim, suy thận nặng ..., kỹ thuật chụp TRO không nên được chỉ định.
2. Khi nào thì bạn nên chụp Triple – rule – out?
Bác sĩ sẽ chỉ định chụp TRO khi bạn bị đau ngực cấp, có nguy cơ mắc hội chứng mạch vành mức độ thấp hoặc trung bình và không có hội chứng vành cấp.
Trước khi chụp, bạn sẽ được xét nghiệm các markers về mạch vành như myoglobin hoặc troponin-I và đo điện tim (ECG) để loại trừ bệnh lý nhồi máu cơ tim. Đồng thời bạn nên cung cấp cho chúng tôi thông tin về tiền sử vôi hóa mạch vành nếu bạn đã từng chụp mạch vành trước đó.

3. Nên chuẩn bị gì trước khi chụp Triple – rule – out?
Bạn sẽ được hỏi về tiền sử dị ứng thuốc cản quang và tình trạng có thai hay không. Đồng thời, nếu bạn bị suy tim nặng, suy thận nặng, hoặc bạn không nín thở được thì bác sỹ cũng sẽ rất cân nhắc khi cho chụp TRO.
Bạn phải ngưng caffein và các chất kích thích trước khi chụp và tối ưu nhất thì bạn phải nhịn ăn 4 đến 6 giờ trước khi chụp.
4. Chụp Triple – rule – out được thực hiện thế nào?
Bạn sẽ được lấy vein với kim luồn 18G và đưa vào phòng CTScan, khi nằm trên giường chụp bạn sẽ đưa hai tay lên đầu. Tại đây bạn được đo điện tim và bơm nước muối sinh lý tốc độ nhanh để kiểm tra tĩnh mạch trước. Bạn sẽ được tập hít thở và được xịt thuốc Nitromin dưới lưỡi trước khi chụp 2 đến 3 phút.
Bơm tiêm điện sẽ truyền thuốc cản quang và nước muối vào tay bạn vài lần qua kim đã lấy sẵn. Trong quá trình chụp, có thể bạn sẽ cảm thấy một số triệu chứng như nóng, khô hầu họng....Sẽ có một số hiệu lệnh được phát ra và bạn nên thực hiện theo. Nhân viên của chúng tôi sẽ hướng dẫn những việc cần làm điều gì trong quá trình chụp và sẽ thông báo cho bạn khi hoàn thành.
5. Những rủi ro có thể xảy ra khi chụp Triple – rule – out?
Vì kỹ thuật chụp TRO sử dụng thuốc nên bạn có thể có phản ứng với thuốc, các mức độ phản ứng sẽ được bác sĩ đánh giá phân độ và xử trí theo đúng mức độ.
6. Trang thiết bị để chụp Triple – rule – out
Để chụp được kỹ thuật TRO, bệnh viện yêu cầu phải có máy CTScan từ 64 lát cắt trở lên. Máy CTScan 512 lát cắt của GE đang được sử dụng ở Vinmec Nha Trang có khả năng thực hiện tốt kỹ thuật này và không cần dùng thuốc beta blocker.




Bệnh viện Đa khoa Quốc tế Vinmec Nha Trang tự hào là một trong những bệnh viện trong cả nước được đầu tư máy chụp CT 512 slide hiện đại với đội ngũ bác sĩ chuyên môn cao có thể tiến hành chụp, chẩn đoán, phát hiện các bệnh lý động mạch vành, động mạch chủ, động mạch phổi cho hiệu quả chẩn đoán và điều trị cao.
Để đặt lịch khám tại viện, Quý khách vui lòng bấm số HOTLINE hoặc đặt lịch trực tiếp TẠI ĐÂY. Tải và đặt lịch khám tự động trên ứng dụng MyVinmec để quản lý, theo dõi lịch và đặt hẹn mọi lúc mọi nơi ngay trên ứng dụng.