U tế bào biểu mô quanh mạch máu của gan có thể bị chẩn đoán nhầm là ung thư biểu mô tế bào gan

Mục lục

U tế bào biểu mô quanh mạch (PEComas) là khối u trung mô có đặc điểm mô học và miễn dịch biểu hiện của tế bào biểu mô quanh mạch. PEComas bao gồm nhiều loại khối u, bao gồm u cơ mỡ mạch máu, u mạch bạch huyết, u cơ trơn mạch bạch huyết, u đường tế bào sáng và các loại khối u không được chỉ định khác. Chỉ có một số ít trường hợp PEComa có nguồn gốc từ gan được báo cáo và phần lớn các trường hợp này là lành tính.

Bài viết được viết bởi ThS. BS Mai Viễn Phương - Trưởng đơn nguyên Nội soi tiêu hóa - Khoa Khám bệnh & Nội khoa - Bệnh viện Đa khoa Quốc tế Vinmec Central Park.

PEComa gan ác tính cực kỳ hiếm gặp. PEComa gan thường được phát hiện trong các lần khám sức khỏe định kỳ. Hầu hết bệnh nhân đến khám với khối u không đau và chỉ một số ít bệnh nhân bị đau vùng thượng vị do khối u chèn ép. Tiêu chuẩn chẩn đoán PEComa gan chưa được định nghĩa và xác nhận rõ ràng cho đến nay. Do hiện nay thiếu các tiêu chuẩn chẩn đoán toàn cầu về khoa học hình ảnh và xét nghiệm, nên rất dễ nhầm PEComa gan nguyên phát với ung thư biểu mô tế bào gan (HCC). Tuy nhiên, hoại tử, hoạt động nguyên phân, đa hình, dị sản nhân rõ rệt, tăng trưởng thâm nhiễm và kích thước lớn gợi ý về hành vi sinh học ác tính. Nhuộm hematoxylin-eosin và nhuộm miễn dịch mô học dương tính với u hắc tố đen ở người 45 (HMB45) và Melan A là bằng chứng chẩn đoán chính cho PEComa. Việc quản lý lâm sàng và điều trị PEComa gan vẫn còn gây tranh cãi, nhưng phẫu thuật dường như là phương pháp điều trị được ưu tiên

Trường hợp lâm sàng

Y văn thế giới ghi nhận 1 trường hợp lâm sàng một người đàn ông 37 tuổi nhập viện vì đau bụng trong 1 tháng. Người bệnh đã phát hiện khối u dạng nốt trong quá trình đánh giá tình trạng đau bụng ở thùy gan phải tại một bệnh viện khác. Các xét nghiệm chức năng gan trong phòng thí nghiệm là tiêu chuẩn, các dấu hiệu viêm gan do virus và các chỉ số khối u, chẳng hạn như alpha-fetoprotein (AFP), kháng nguyên phôi thai (CEA), kháng nguyên carbohydrate 199 (CA-199) và kháng nguyên carbohydrate 125 (CA-125), đều âm tính.

Siêu âm cho thấy một nốt giảm âm, hình dạng không đều nằm ở thùy sau phải của gan. Chụp cắt lớp vi tính (CT) với sự tăng cường 3 pha của bụng trên đã được thực hiện. Chụp CT trước khi tiêm thuốc cản quang cho thấy một vết mờ dạng vảy và một bóng mờ mật độ thấp ở S6 của gan tại cùng vị trí được ghi nhận trên siêu âm ổ bụng. Ngược lại, tổn thương được tăng cường rõ rệt ở pha động mạch của chụp CT tăng cường thuốc cản quang. Chụp cộng hưởng từ (MRI) tăng cường thuốc cản quang gadolinium ethoxybenzyldiethylenetriaminepentaacetic acid là tác nhân tăng cường độ tương phản đặc hiệu cho gan hiện đang được sử dụng để chẩn đoán HCC. 

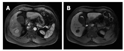
Đánh giá này cho thấy một bóng mờ tín hiệu bất thường dạng nốt ở S6 của gan có kích thước 2,5 cm × 2,0 cm × 2,3 cm với các cạnh mịn và ranh giới rõ ràng. Tổn thương biểu hiện dưới dạng giảm cường độ trên hình ảnh có trọng số T1 (T1WI) và tăng cường độ không đồng nhất trên hình ảnh có trọng số T2 (T2WI). Pha động mạch cho thấy tổn thương tăng cường đáng kể, trong khi pha tĩnh mạch cửa biểu hiện mức độ tăng cường thấp hơn so với nhu mô gan (Hình 1A và B ). Dựa trên các phát hiện hình ảnh, các bác sĩ cho rằng tổn thương là một nốt HCC.

Chụp cộng hưởng từ (MRI) khối u biểu mô quanh mạch gan (PEComa) ở một nam giới 37 tuổi: tổn thương nằm ở S6 cho thấy sự tăng cường rõ rệt trong thì động mạch gan (A), tăng cường viền ở thì muộn (B)
Chụp cộng hưởng từ (MRI) khối u biểu mô quanh mạch gan (PEComa) ở một nam giới 37 tuổi: tổn thương nằm ở S6 cho thấy sự tăng cường rõ rệt trong thì động mạch gan (A), tăng cường viền ở thì muộn (B)

Kiểm tra mô bệnh học : Dựa trên hội chẩn bệnh lý sinh thiết lạnh trong khi phẫu thuật, HCC được coi là chẩn đoán có khả năng nhất. Cuối cùng, bệnh nhân đã trải qua phẫu thuật cắt bỏ một phần gan. Kết quả mô bệnh học cho thấy mô khối u được sắp xếp thành các ổ và tấm có mạng lưới mạch máu mỏng, phong phú kết nối chúng. Các tế bào khối u có kích thước tương tự nhưng hình dạng không đều. Nhân con dễ thấy ở các tế bào khối u. Ngoài ra, nhân có hình dạng không đều (Hình 2A ). Các nghiên cứu nhuộm miễn dịch mô học cho thấy một số dấu ấn khối u là âm tính, chẳng hạn như tế bào gan, Glypican-3 (GPC-3), cụm biệt hóa (CD) 10 và AFP, trong khi một số khác là dương tính, chẳng hạn như CD34, Melan A và HMB45 (Hình 3A và D ). Chỉ số đánh dấu Ki-67 là 10%.

Kết quả nhuộm hematoxylin-eosin
Kết quả nhuộm hematoxylin-eosin
Kết quả nhuộm miễn dịch mô hóa học cho thấy  bệnh nhân có khối u biểu mô quanh mạch máu gan. A: Nhuộm dương tính với dấu ấn sinh học là u hắc tố đen ở người 45 (HMB45)
Kết quả nhuộm miễn dịch mô hóa học cho thấy bệnh nhân có khối u biểu mô quanh mạch máu gan. A: Nhuộm dương tính với dấu ấn sinh học là u hắc tố đen ở người 45 (HMB45)

Chẩn đoán xác định

U tế bào biểu mô quanh mạch gan (PEComa) ác tính cuối cùng được chẩn đoán dựa trên các phát hiện về hình thái và miễn dịch mô hóa học.

Việc phân biệt giữa HCC và PEComa gan là một thách thức

Hầu hết bệnh nhân mắc PEComa gan không biểu hiện các triệu chứng lâm sàng đặc trưng và một số ít bệnh nhân có thể bị đau bụng hoặc khó chịu ở bụng. PEComa gan không biểu hiện các đặc điểm lâm sàng hoặc hình ảnh cụ thể và hình ảnh trước phẫu thuật và xét nghiệm bệnh lý đông lạnh trong khi phẫu thuật cũng như sự không chắc chắn về biên độ phẫu thuật tối ưu có thể dẫn đến chẩn đoán nhầm là HCC nguyên phát hoặc di căn trước khi phẫu thuật. Do đó, phạm vi cắt bỏ gan được mở rộng hơn nữa; do đó, không đạt được mức độ cắt bỏ gan tối thiểu cần thiết cho mô hình xốp. 

Chẩn đoán phân biệt khối u là PEComa gan cần được thảo luận thêm. PEComa ở gan thường bao gồm các mô mỡ trưởng thành được bao quanh bởi thành mạch máu dày hoặc mỏng. Các tế bào khối u biểu mô được sắp xếp theo hướng xuyên tâm xung quanh mạch máu, biểu hiện các mức độ biệt hóa khác nhau và khó chẩn đoán về mặt mô học. Khi xem xét HCC, hình thái biểu mô đáng kể và kiểu hình xốp của PEComa gan khiến việc chẩn đoán nhầm là HCC trở nên cực kỳ dễ dàng, đặc biệt là dựa trên chẩn đoán bệnh lý đông lạnh trong khi phẫu thuật. PEComa gan đã được xác định không chính xác là HCC dựa trên phân tích bệnh lý đông lạnh trong các trường hợp hiện tại. Do có những điểm tương đồng về hình thái, các khối u biểu mô, chẳng hạn như HCC, có thể dễ bị nhầm lẫn với PEComa gan. Do đó, có thể rất khó để đạt được chẩn đoán bệnh lý đông lạnh trong thời gian ngắn, dẫn đến tỷ lệ chẩn đoán sai cao

Hơn nữa, các đặc điểm hình ảnh của khối u này liên quan đến các thành phần mô học; đặc biệt, hầu hết các khối u hoàn toàn không có mô mỡ, vì vậy sự suy giảm chất béo hiếm khi được quan sát thấy trên chụp cắt lớp vi tính và hình ảnh cộng hưởng từ. Ngược lại, sự xuất hiện của PEComa gan trên CT hoặc MRI được xác định rõ ràng với sự tăng cường sớm ở pha động mạch và tăng cường không đồng nhất ở pha tĩnh mạch và pha chậm.Các tổn thương có quá trình rửa trôi chậm có thể bắt chước HCC. Phù hợp với kết quả nghiên cứu, PEComa gan vẫn nên được xem xét bất cứ khi nào ghi nhận thấy mô hình mạch máu loang lổ của khối u, nếu không có bằng chứng xuất huyết trong khối u, nếu không có bất thường ở nhu mô nền, khi không phát hiện thấy dấu hiệu vi-rút viêm gan và khi xét nghiệm chức năng gan và dấu hiệu khối u (AFP, CEA) bình thường. Tuy nhiên, AFP tăng cao có mặt trong một số trường hợp

Mặc dù bệnh nhân đã hoàn thành siêu âm, chụp cắt lớp với tăng cường ba pha, xét nghiệm MRI tăng cường và bệnh lý sinh thiết lạnh trong khi phẫu thuật, những kết quả này gợi ý các nốt HCC cho đến khi bệnh lý sau phẫu thuật và miễn dịch mô hóa học xác nhận các tổn thương là PEComas gan nguyên phát. Các đặc điểm bệnh lý sau phẫu thuật của nó bao gồm sự sắp xếp giống như tổ của mô khối u và một mạng lưới mạch mỏng di chuyển giữa các tế bào. Việc quan sát thấy các tế bào trong suốt lớn hoặc các tế bào lớn có ngưng tụ ái toan xung quanh nhân cảnh báo các nhà bệnh học về khả năng mắc PEComa. Điều quan trọng là các nghiên cứu nhuộm miễn dịch mô hóa học đã xác nhận rằng tổn thương âm tính với dấu hiệu tế bào gan và dương tính với các dấu hiệu miễn dịch đặc hiệu HMB-45 và Melan-A.

Các kỹ thuật siêu âm tăng cường

Để chẩn đoán PEComa gan, hình ảnh siêu âm cho thấy các biểu hiện hình ảnh rõ ràng và cụ thể của các tổn thương ở bệnh nhân. Siêu âm tăng cường độ tương phản (CEUS) có thể có giá trị trong việc phân biệt PEComa gan với HCC. Các tổn thương PEComa gan biểu hiện sự rửa trôi chậm đáng kể so với các khối u ác tính khác, chẳng hạn như HCC và ung thư gan di căn. Hình ảnh dòng chảy Doppler màu chứng minh rằng các mạch máu lớn hơn xung quanh tổn thương cũng có thể biểu hiện một đặc điểm tiềm ẩn của PEComa gan. Sử dụng chất cản quang Sonazoid ® trong CUES có thể hỗ trợ chẩn đoán PEComa gan. Một biến thể biểu mô đơn điển hình của PEComa gan điển hình đã được mô tả với một số trường hợp biểu hiện kiểu hình xốp hình sin thuần túy bắt chước các đặc điểm của HCC. Một nhà nghiên cứu bệnh học nên quen thuộc với hình thái tế bào của PEComa gan và xu hướng bắt chước HCC của nó. Nếu không quan sát thấy các đặc điểm hình thái tế bào đặc trưng hoặc bối cảnh lâm sàng, cần phải thực hiện nhuộm miễn dịch tế bào học chọc hút kim nhỏ hoặc sinh thiết lõi để ngăn ngừa chẩn đoán sai.

Kết luận 

U tế bào biểu mô quanh mạch gan (PEComa gan) là một căn bệnh hiếm gặp với khả năng chẩn đoán sai cao. CEUS có thể góp phần chẩn đoán phân biệt xác nhận PEComa gan. Ngoài ra, miễn dịch mô học hiện là phương pháp lâm sàng duy nhất có thể xác nhận chẩn đoán và phẫu thuật là phương pháp điều trị chính. Chẩn đoán trước phẫu thuật rõ ràng về PEComa gan là điều cần thiết để xác định mức độ phẫu thuật cần thực hiện. 

Tài liệu tham khảo 

1.    Folpe AL, Mentzel T, Lehr HA, Fisher C, Balzer BL, Weiss SW. Perivascular epithelioid cell neoplasms of soft tissue and gynecologic origin: a clinicopathologic study of 26 cases and review of the literature. Am J Surg Pathol. 2005;29:1558-1575. 

2.     Abhirup B, Kaushal K, Sanket M, Ganesh N. Malignant hepatic perivascular epithelioid cell tumor (PEComa) - Case report and a brief review. J Egypt Natl Canc Inst. 2015;27:239-242.

3.    Kou YQ, Yang YP, Ye WX, Yuan WN, Du SS, Nie B. Perivascular epithelioid cell tumors of the liver misdiagnosed as hepatocellular carcinoma: Three case reports. World J Clin Cases 2023; 11(2): 426

Để đặt lịch khám tại viện, Quý khách vui lòng bấm số HOTLINE hoặc đặt lịch trực tiếp TẠI ĐÂY. Tải và đặt lịch khám tự động trên ứng dụng MyVinmec để quản lý, theo dõi lịch và đặt hẹn mọi lúc mọi nơi ngay trên ứng dụng.

Chia sẻ