Ứng dụng của MRI trong tim mạch, não, tủy sống, xương, nội tạng

Mục lục

Bài viết được tư vấn chuyên môn bởi Bác sĩ chuyên khoa I Trần Công Trình - Bác sĩ Chẩn đoán hình ảnh - Khoa Chẩn đoán hình ảnh - Bệnh viện Đa khoa Quốc tế Vinmec Central Park.

Chụp MRI (chụp cộng hưởng từ) cho phép bác sĩ nhìn thấy các cơ quan, xương, và các mô bên trong cơ thể của bạn mà không cần phải làm phẫu thuật. Xét nghiệm này có thể giúp chẩn đoán bệnh hoặc chấn thương.

1. Chụp MRI là gì?

Chụp cộng hưởng từ (MRI) là một kỹ thuật chẩn đoán hình ảnh y tế sử dụng từ trường và sóng vô tuyến do máy tính tạo ra để tạo ra hình ảnh chi tiết của các cơ quan và mô trong cơ thể bạn.

Hầu hết các máy MRI là nam châm lớn, có hình ống. Khi bạn nằm trong máy MRI, từ trường sẽ tạm thời sắp xếp lại các phân tử nước trong cơ thể bạn. Sóng vô tuyến làm cho các nguyên tử thẳng hàng này tạo ra tín hiệu mờ, được sử dụng để tạo ra hình ảnh MRI cắt ngang.

Máy MRI cũng có thể tạo ra hình ảnh 3D, được xem từ các góc khác nhau.

2. MRI hoạt động như thế nào?

Máy MRI là một máy lớn, hình trụ (hình ống) tạo ra từ trường mạnh xung quanh bệnh nhân và các xung sóng vô tuyến được gửi từ máy quét. Các sóng vô tuyến đánh bật hạt nhân của các nguyên tử trong cơ thể bạn ra khỏi vị trí tự nhiên của chúng. Khi các hạt nhân sắp xếp lại vào vị trí thích hợp, chúng sẽ gửi tín hiệu vô tuyến. Những tín hiệu này được nhận bởi một máy tính phân tích và chuyển đổi chúng để tạo thành hình ảnh hai chiều (2D) của bộ phận cơ thể đang được kiểm tra. Hình ảnh này sau đó xuất hiện trên một màn hình xem.

Một số máy MRI trông giống như các đường hầm hẹp, trong khi những máy khác rộng rãi hơn hoặc rộng hơn. Quét MRI có thể kéo dài từ 30 phút đến hai giờ.


Hình ảnh máy MRI
Hình ảnh máy MRI

3. Ứng dụng của MRI trong tim mạch, não tủy sống, xương, nội tạng

MRI là phương pháp chẩn đoán không xâm lấn giúp bác sĩ kiểm tra các cơ quan, mô và hệ xương của bạn. Phương pháp này tạo ra hình ảnh độ phân giải cao bên trong cơ thể giúp chẩn đoán nhiều vấn đề khác nhau.

Trong chỉnh hình, MRI có thể được sử dụng để kiểm tra xương, khớp và các mô mềm như sụn, cơ và gân do chấn thương hoặc sự hiện diện của cấu trúc bất thường hoặc một số tình trạng khác, chẳng hạn như khối u, bệnh viêm, tình trạng bất thường bẩm sinh, thoái hóa xương, bệnh lý tủy xương, và thoát vị hoặc thoái hóa đĩa đệm của tủy sống. MRI có thể được sử dụng để đánh giá kết quả của các phẫu thuật chấn thương chỉnh hình. Suy thoái khớp do viêm khớp có thể được theo dõi bằng cách sử dụng hình ảnh cộng hưởng từ.

Có thể có những lý do khác để bác sĩ của bạn đề nghị chụp MRI xương, khớp hoặc mô mềm.

3.1 MRI của não và tủy sống

MRI là phương pháp xét nghiệm hình ảnh được sử dụng thường xuyên nhất đối với não và tủy sống. MRI thường được thực hiện để giúp chẩn đoán:

Một loại MRI đặc biệt - MRI chức năng của não (fMRI), có thể tạo ra hình ảnh của lưu lượng máu đến các khu vực nhất định của não. Nó có thể được sử dụng để kiểm tra giải phẫu não và xác định phần nào của não đang xử lý các chức năng quan trọng.

Điều này giúp xác định các khu vực kiểm soát chuyển động và ngôn ngữ quan trọng trong não của những người được xem xét phẫu thuật não. MRI chức năng cũng có thể được sử dụng để đánh giá thiệt hại do chấn thương đầu hoặc do các rối loạn như bệnh Alzheimer.


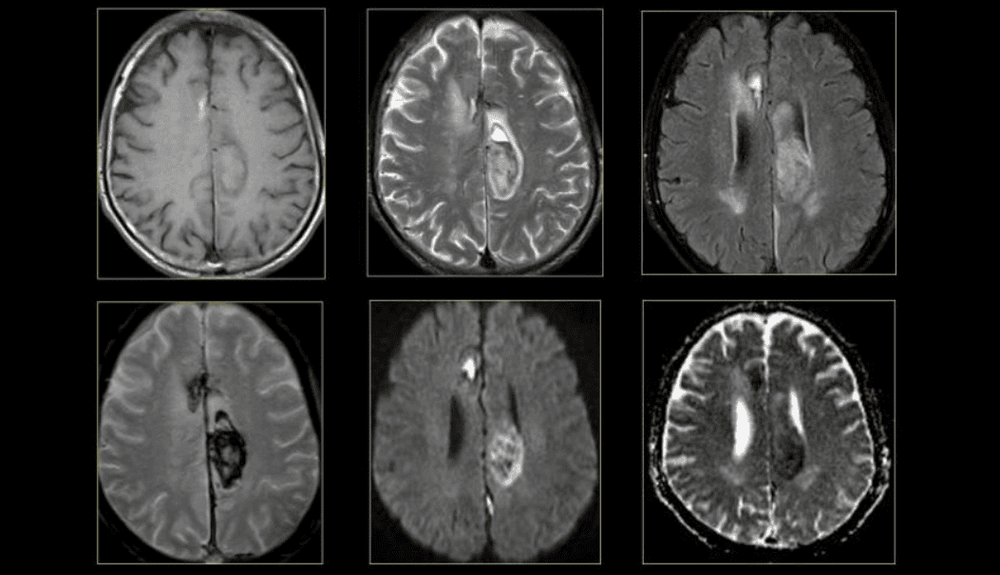
Hình ảnh não bộ trên MRI
Hình ảnh não bộ trên MRI

3.2 MRI tim và mạch máu

MRI tập trung vào tim hoặc mạch máu có thể đánh giá:

  • Kích thước và chức năng của buồng tim
  • Độ dày và chuyển động của các bức tường trái tim
  • Mức độ tổn thương do đau tim hoặc bệnh tim
  • Các vấn đề về cấu trúc trong động mạch chủ, chẳng hạn như phình động mạch hoặc bóc tách
  • Viêm hoặc tắc nghẽn trong các mạch máu

3.3 MRI của các cơ quan nội tạng khác

MRI có thể kiểm tra các khối u hoặc các bất thường khác của nhiều cơ quan trong cơ thể, bao gồm:

  • Gan và ống mật
  • Thận
  • Lách
  • Tuyến tụy
  • Tử cung
  • Buồng trứng
  • Tuyến tiền liệt

3.4 MRI của xương và khớp

MRI có thể giúp đánh giá:

  • Bất thường khớp gây ra bởi chấn thương hoặc lặp đi lặp lại, chẳng hạn như sụn rách hoặc dây chằng
  • Bất thường đĩa đệm ở cột sống
  • Nhiễm trùng xương
  • Khối u xương và mô mềm

3.5 MRI của vú

MRI có thể được sử dụng với chụp nhũ ảnh để phát hiện ung thư vú, đặc biệt ở những phụ nữ có mô vú dày đặc hoặc những người có nguy cơ mắc bệnh cao.


Kết quả chụp MRI vú giúp phát hiện ung thư vú
Kết quả chụp MRI vú giúp phát hiện ung thư vú

4. Những nguy cơ khi chụp MRI

  • Nếu bạn đang mang thai hoặc nghi ngờ rằng bạn có thể mang thai, bạn nên thông báo trước cho bác sĩ. Cho đến nay không có thông tin nào cho thấy MRI có hại cho thai nhi, tuy nhiên xét nghiệm MRI trong ba tháng đầu không được khuyến khích.
  • Bệnh nhân bị dị ứng hoặc nhạy cảm với thuốc nhuộm tương phản hoặc iốt nên thông báo cho bác sĩ hoặc kỹ thuật viên.
  • Nếu bạn bị bệnh thận nặng hoặc đang chạy thận, có nguy cơ mắc một bệnh "xơ hóa hệ thống nguồn gốc thận" từ thuốc nhuộm tương phản. Bạn nên thảo luận về nguy cơ này với bác sĩ trước khi thử nghiệm.
  • Nephrogenic Systemic Fibrosis (NSF) là một biến chứng rất hiếm gặp nhưng gây ra hậu quả rất nghiêm trọng do việc sử dụng thuốc nhuộm tương phản để xét nghiệm MRI ở bệnh nhân mắc bệnh thận hoặc suy thận. Nếu bạn có tiền sử bệnh thận, suy thận, ghép thận, bệnh gan hoặc đang chạy thận nhân tạo, bạn phải thông báo cho kỹ thuật viên MRI hoặc bác sĩ trước khi sử dụng thuốc cản quang.
  • Cơ chế tương phản của MRI có thể có gây ra một số tình trạng khác cho người bệnh, chẳng hạn như dị ứng, hen suyễn, thiếu máu, hạ huyết áp, bệnh thận và bệnh hồng cầu hình liềm.

Có thể có những rủi ro khác tùy thuộc vào tình trạng sức khỏe cụ thể của bạn khi thực hiện MRI. Bạn nên thảo luận về bất kỳ sự lo lắng nào đó với bác sĩ của bạn trước khi làm thủ thuật này.


Phụ nũ mang thai không nên chụp MRI
Phụ nũ mang thai không nên chụp MRI

5. Trước khi chụp MRI bạn cần chuẩn bị gì?

Trước khi kiểm tra MRI, hãy ăn uống bình thường và tiếp tục dùng các loại thuốc thông thường của bạn, trừ khi có sự chỉ định khác từ bác sĩ. Thông thường bạn sẽ được yêu cầu loại bỏ những thứ có thể ảnh hưởng đến hình ảnh từ tính, chẳng hạn như:

  • Trang sức
  • Cặp tóc
  • Kính mắt
  • Xem
  • Tóc giả
  • Răng giả
  • Trợ thính
  • Áo lót
  • Mỹ phẩm có chứa các hạt kim loại

Trước khi bạn chụp MRI, hãy tìm hiểu lý do tại sao bác sĩ của bạn lựa chọn xét nghiệm này. Bạn có thể đặt ra những câu hỏi sau:

  • Tại sao tôi cần chụp MRI?
  • MRI có phải là cách tốt để kiểm tra tình trạng của tôi không?
  • Kết quả sẽ ảnh hưởng đến việc điều trị của tôi như thế nào?
  • Những rủi ro có thể gặp phải là gì?
  • Những lợi ích khi thực hiện xét nghiệm này có lớn hơn những rủi ro đối với tôi không?

Để đặt lịch khám tại viện, Quý khách vui lòng bấm số HOTLINE hoặc đặt lịch trực tiếp TẠI ĐÂY. Tải và đặt lịch khám tự động trên ứng dụng MyVinmec để quản lý, theo dõi lịch và đặt hẹn mọi lúc mọi nơi ngay trên ứng dụng.

Chia sẻ