Ứng dụng kỹ thuật trí tuệ nhân tạo trong chụp cắt lớp quang học kết hợp nội soi và nội soi bằng laser chẩn đoán ung thư thực quản

Mục lục

Bài viết bởi Thạc sĩ, Bác sĩ Mai Viễn Phương - Bác sĩ nội soi tiêu hóa - Khoa Khám bệnh & Nội khoa - Bệnh viện Đa khoa Quốc tế Vinmec Central Park

Nhằm đưa ra những đánh giá chính xác và có hướng điều trị tích cực, mang đến hiệu quả cao cho bệnh nhân, hiện kỹ thuật trí tuệ nhân tạo trong chụp cắt lớp quang học kết hợp nội soi và nội soi bằng laser đã được ứng dụng trong chẩn đoán ung thư thực quản.

Chữ viết tắt:

EC: Ung thư thực quản

AI: artificial intelligence

BE: Barrett thực quản

1. Tổng quan về ứng dụng của trí tuệ nhân tạo với nội soi tiêu hoá

Do diễn tiến nhanh và tiên lượng xấu của ung thư thực quản (EC) nên việc phát hiện và chẩn đoán sớm có giá trị rất lớn trong việc cải thiện tiên lượng cho bệnh nhân. Tuy nhiên, nội soi phát hiện sớm ung thư thực quản, đặc biệt là loạn sản Barrett hoặc loạn sản biểu mô vảy thực quản, rất khó. Do đó, yêu cầu về phương pháp phát hiện các đặc điểm ung thư thực quản sớm hiệu quả hơn đã dẫn đến những nghiên cứu chuyên sâu trong lĩnh vực trí tuệ nhân tạo (AI).

Kỹ thuật học và ghi nhớ Deep learing (DL) đã mang lại những đột phá trong việc xử lý hình ảnh, video và các khía cạnh khác, trong khi hệ thống mạng nơ-ron phức tạp (CNN) đã mở đường cho việc phát hiện hình ảnh và video nội soi có độ phân giải cao.


Ung thư thực quản giai đoạn sớm được nhìn thấy qua nội soi
Ung thư thực quản giai đoạn sớm được nhìn thấy qua nội soi

Phân chia giai đoạn của ung thư sớm thực quản
Phân chia giai đoạn của ung thư sớm thực quản

2. Ứng dụng của thuật toán Machine learning và Deep learning trong ung thư thực quản

Hiện nay yêu cầu về các phương pháp phát hiện và xác định đặc điểm ung thư thực quản sớm hiệu quả hơn đã dẫn đến các nghiên cứu chuyên sâu trong lĩnh vực trí tuệ nhân tạo (AI), có thể được xác định bằng trí thông minh do máy móc thiết lập trái ngược với trí thông minh tự nhiên được hiển thị bởi con người và động vật khác.

Học máy (ML) và học sâu (DL) là những phần quan trọng của AI. Học máy có thể được chia thành các phương pháp có giám sát và không được giám sát. Học không giám sát là xác định các nhóm trong dữ liệu theo những điểm chung, thiếu kiến ​​thức về số lượng các nhóm hoặc ý nghĩa của chúng. Khi gói đào tạo chứa các cặp đầu vào, đầu ra, cần có một mô hình học có giám sát để ánh xạ đầu vào mới đến đầu ra. Các kỹ thuật ML thông thường bị hạn chế về khả năng xử lý dữ liệu tự nhiên ở dạng thô. Trong giai đoạn đầu của nghiên cứu và phát triển, việc đào tạo mô hình chủ yếu là với ML, qua đó các nhà nghiên cứu phải trích xuất thủ công các đặc điểm bệnh có thể xảy ra dựa trên kiến ​​thức lâm sàng. Sức mạnh của hệ thống chẩn đoán có sự hỗ trợ của máy tính (CAD) này yếu và không đủ để áp dụng trong chẩn đoán thời gian thực lâm sàng.

3. Vai trò của trí tuệ nhân tạo AI trong phát triển ung thư sớm thực quản

3.1 Chứng loạn sản Barrett và ung thư biểu mô tuyến thực quản giai đoạn sớm

Trí tuệ nhân tạo AI dựa trên hệ thống nội soi ánh sáng trắng (WLE) và hệ thống nội soi dải tần số hẹp NBI. Có một số hạn chế để nhận ra các tổn thương ung thư sớm liên quan đến Barrett thực quản bằng WLE, một công nghệ thông thường. WLE độ nét cao (HD-WLE) và hệ thống nội soi NBI đã từng được coi là để nâng cao độ chính xác của việc chẩn đoán các tổn thương ung thư sớm liên quan đến Barrett thực quản.


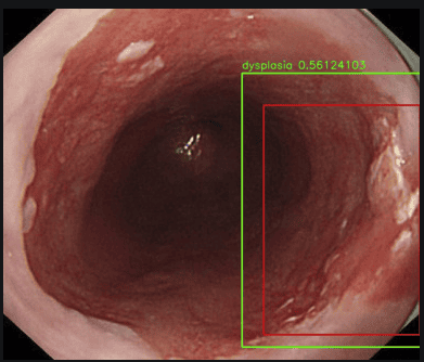
Hình ảnh loạn sản thực quản được đánh giá qua hệ thống nội soi có sử dụng trí tuệ nhân tạo AI: máy tính sẽ tìm khu trú tổn thương tự động (ô màu đỏ), đánh giá tổn thương đó có bao nhiêu phần trăm là ung thư
Hình ảnh loạn sản thực quản được đánh giá qua hệ thống nội soi có sử dụng trí tuệ nhân tạo AI: máy tính sẽ tìm khu trú tổn thương tự động (ô màu đỏ), đánh giá tổn thương đó có bao nhiêu phần trăm là ung thư

3.2 Vai trò của chụp cắt lớp quang học kết hợp qua nội soi (EOCT) và nội soi bằng laser đồng tiêu (CLE)

Trí tuệ nhân tạo AI dựa trên chụp cắt lớp quang học nội soi và nội soi bằng laser đồng tiêu: Ngoài WLE và NBI, kỹ thuật chụp cắt lớp quang kết hợp qua nội soi (EOCT) và nội soi bằng laser đồng tiêu (CLE) cũng được sử dụng để chẩn đoán sớm chứng loạn sản liên quan đến EAC / BE. EOCT có thể xác định các tổn thương khối u sớm liên quan đến Barrett thực quản bằng cách phân tích các cấu trúc niêm mạc và dưới niêm mạc thực quản. CLE có thể quan sát mô niêm mạc và hình thái tế bào để đạt được sinh thiết quang học. Tuy nhiên, sự phức tạp của hai công nghệ hình ảnh này, việc đọc hình ảnh mất nhiều thời gian và yêu cầu bác sĩ nội soi cao cấp đã hạn chế việc sử dụng chúng trên lâm sàng.


Nguyên lý và cấu tạo của hệ thống chụp cắt lớp quang học kết hợp qua nội soi (EOCT)
Nguyên lý và cấu tạo của hệ thống chụp cắt lớp quang học kết hợp qua nội soi (EOCT)

Để giải quyết vấn đề này, Qi và cộng sự đã trích xuất nhiều đặc điểm hình ảnh EOCT và kết hợp một hoặc nhiều đặc điểm để phân loại tổn thương, nhưng kết quả không khả quan. Sau đó, Swager và cộng sự đã sử dụng hình ảnh nội soi bằng laser thể tích (VLE, tích hợp với OCT thế hệ thứ hai) để đào tạo và thử nghiệm, và kết quả cho thấy hệ thống CAD vượt trội hơn so với các chuyên gia VLE. Veronese và cộng sự đã sử dụng hình ảnh CLE, và kết quả cho thấy hệ thống có thể phân biệt chính xác chuyển sản dạ dày (GM), chuyển sản ruột (IM) và tân sinh.


Mối tương quan mô học với hình ảnh chụp cắt lớp quang học kết hợp qua nội soi (EOCT)
Mối tương quan mô học với hình ảnh chụp cắt lớp quang học kết hợp qua nội soi (EOCT)

Ghatwary và cộng sự cho thấy độ nhạy của hệ thống sử dụng hình ảnh CLE để chẩn đoán IM và ung thư cao hơn đáng kể so với hệ thống để chẩn đoán GM. Tương tự, hệ thống CAD do Hong thiết lập đã không xác định được GM, độ nhạy chẩn đoán IM không khác biệt đáng kể so với nghiên cứu trên và độ nhạy chẩn đoán ung thư cũng giảm nhẹ. Điều này có thể là do số lượng hình ảnh GM và tân sinh có hạn. Hiện tại, có rất ít nghiên cứu lâm sàng trong lĩnh vực này và hình ảnh có sẵn còn hạn chế. Trong tương lai, cần có thêm nhiều nghiên cứu để khẳng định giá trị của VLE / CLE kết hợp với trí tuệ nhân tạo AI trong chẩn đoán sớm EAC.


Hình ảnh của chụp cắt lớp quang kết hợp qua nội soi (EOCT) và nội soi bằng laser đồng tiêu (CLE)
Hình ảnh của chụp cắt lớp quang kết hợp qua nội soi (EOCT) và nội soi bằng laser đồng tiêu (CLE)

Hình ảnh chụp cắt lớp quang kết hợp qua nội soi (EOCT) của một tổn thương ở thực quản
Hình ảnh chụp cắt lớp quang kết hợp qua nội soi (EOCT) của một tổn thương ở thực quản

4. Chẩn đoán theo thời gian thực bằng AI

Hiện tại, nghiên cứu trong lĩnh vực này còn hạn chế. Ebigbo và cộng sự tiếp tục tối ưu hóa hệ thống CAD dựa trên nghiên cứu trước đó và lần đầu tiên áp dụng vào phát hiện thời gian thực lâm sàng. Trong khi 14 bệnh nhân ung thư Barrett được kiểm tra nội soi, 62 hình ảnh nội soi (36 ung thư biểu mô thực quản sớm và 26 Barrett thực quản không loạn sản) được chụp bằng hệ thống CAD để phân loại theo thời gian thực, và kết quả cho thấy độ nhạy và độ đặc hiệu là 83,7% và 100 %, tương ứng. Không có sự khác biệt đáng kể giữa hệ thống và các bác sĩ nội soi có kinh nghiệm.

Tuy nhiên, vẫn còn một số thiếu sót trong nghiên cứu này. Thứ nhất, số lượng bệnh nhân và hình ảnh thấp. Thứ hai, hệ thống vẫn sử dụng hình ảnh để chẩn đoán, không phải video để phát hiện thời gian thực. Cuối cùng, khả năng hỗ trợ phân định tổn thương và hướng dẫn sinh thiết của AI vẫn chưa được xác minh. Ngoài ra, hệ thống CAD được xây dựng bởi Hashimoto và cộng sự có thể đáp ứng nhu cầu phát hiện thời gian thực trên lâm sàng. Thật không may, các nhà nghiên cứu đã không xác minh hiệu suất của hệ thống trong chẩn đoán thời gian thực.


Sử dụng AI trong hệ thống nội soi: Ô vuông màu xanh là máy tính tự động khu trú hình ảnh tổn thương khi đưa máy soi đến.
Sử dụng AI trong hệ thống nội soi: Ô vuông màu xanh là máy tính tự động khu trú hình ảnh tổn thương khi đưa máy soi đến.

Tokai và cộng sự cũng sử dụng hình ảnh nội soi không phóng đại để phân tích và nhận thấy rằng độ nhạy của NBI cao hơn một chút so với WLE, và hiệu suất chẩn đoán của hệ thống tốt hơn so với các chuyên gia nội soi. Phân tích sâu hơn cho thấy độ chính xác của hệ thống CAD trong chẩn đoán u xâm lấn đến các lớp biểu mô, màng đệm, cơ niêm EP / LPM và MM là hơn 90%, cao hơn đáng kể so với chẩn đoán u xâm lấn đến lớp dưới niêm SM1 và SM2. Nguyên nhân có thể là do bộ hình ảnh huấn luyện không chứa hình ảnh thực quản bình thường, và hệ thống đã nhầm lẫn sự nén ngoài khung và không mở rộng hoàn toàn thành thực quản với các đặc điểm tổn thương.


Hình ảnh IPCL bình thường và bất thường
Hình ảnh IPCL bình thường và bất thường

Hình ảnh nội soi tế bào
Hình ảnh nội soi tế bào

Kết luận, trí tuệ nhân tạo AI đang cố gắng được sử dụng để phát hiện nội soi, chẩn đoán bệnh lý, chẩn đoán gen và dự đoán nguy cơ ung thư của ung thư thực quản sớm. Điều này rất hữu ích cho các bác sĩ nội soi và bác sĩ giải phẫu bệnh để cải thiện độ chính xác của chẩn đoán và hỗ trợ bác sĩ điều trị và đưa ra các chiến lược tiếp theo. Các tổn thương ranh giới của bệnh lý ung thư thực quản vẫn còn khó xác định có thể là hướng chính của chẩn đoán bệnh lý có sự hỗ trợ của AI trong tương lai.

Mặc dù hiện nay các trang thiết bị, máy móc đã phát triển hiện đại giúp việc điều trị mang đến kết quả tốt hơn. Tuy nhiên, cách tốt và an toàn nhất chúng ta nên duy trì lối sống, chế độ ăn uống lành mạnh kết hợp việc kiểm tra sức khỏe định kỳ để sớm phát hiện ra mầm bệnh từ đó có hướng can thiệp kịp thời.

Hiện Bệnh viện Đa khoa Quốc tế Vinmec đang phát triển các dịch vụ tầm soát và phát hiện sớm ung thư đường tiêu hóa kết hợp khám lâm sàng và cận lâm sàng để đem lại kết quả chính xác nhất có thể.

Việc kiểm tra sức khỏe được thực hiện bởi đội ngũ chuyên gia, bác sĩ giàu kinh nghiệm kết hợp cùng với máy nội soi NBI có gây mê. Xét nghiệm tổng phân tích tế bào máu ngoại vi (bằng máy đếm laser). Xét nghiệm thời gian prothrombin bằng máy tự động. Xét nghiệm thời gian thromboplastin một phần hoạt hoá (APTT: Activated Partial Thromboplastin Time) bằng máy tự động. Siêu âm ổ bụng tổng quát... Việc ứng dụng công nghệ cùng điều kiện trang thiết bị hiện đại vào thăm khám sẽ đưa ra kết quả chính xác, giúp việc điều trị trở nên hiệu quả, rút ngắn thời gian nằm viện cho bệnh nhân.

Tài liệu tham khảo

  1. Bray F, Ferlay J, Soerjomataram I, Siegel RL, Torre LA, Jemal A. Global cancer statistics 2018: GLOBOCAN estimates of incidence and mortality worldwide for 36 cancers in 185 countries. CA Cancer J Clin. 2018;68:394-424. [PubMed] [DOI]
  2. Hur C, Miller M, Kong CY, Dowling EC, Nattinger KJ, Dunn M, Feuer EJ. Trends in esophageal adenocarcinoma incidence and mortality. Cancer. 2013;119:1149-1158. [PubMed] [DOI]
  3. Thrift AP. The epidemic of oesophageal carcinoma: Where are we now? Cancer Epidemiol. 2016;41:88-95. [PubMed] [DOI]
  4. Lu-Ming Huang, Wen-Juan Yang, Zhi-Yin Huang, Cheng-Wei Tang, Jing Li, Artificial intelligence technique in detection of early esophageal cancer, World J Gastroenterol. Oct 21, 2020; 26(39): 5959-5969

Để đặt lịch khám tại viện, Quý khách vui lòng bấm số HOTLINE hoặc đặt lịch trực tiếp TẠI ĐÂY. Tải và đặt lịch khám tự động trên ứng dụng MyVinmec để quản lý, theo dõi lịch và đặt hẹn mọi lúc mọi nơi ngay trên ứng dụng.

Chia sẻ