Viêm dạ dày ruột bạch cầu ái toan được nhìn dưới kính hiển vi như thế nào?

Mục lục

Bài viết bởi Thạc sĩ, Bác sĩ Mai Viễn Phương - Khoa Khám bệnh & Nội khoa - Bệnh viện Đa khoa Quốc tế Vinmec Central Park

Việc chẩn đoán bệnh Viêm dạ dày ruột tăng bạch cầu ái toan được xác định thông qua sinh thiết hoặc lấy dịch báng có tăng eosin trong sự vắng mặt của các tác nhân gây bệnh khác, kể cả ký sinh trùng đường ruột. Viêm thực quản tăng eosin (EE_Eosinophilic esophagitis) cũng nên chẩn đoán phân biệt và thảo luận.

1. Bệnh viêm dạ dày ruột bạch cầu ái toan

Viêm dạ dày ruột tăng bạch cầu ái toan (tiếng Anh dùng từ Eosinophilic gastroenteritis_EG) là một dạng bệnh nằm trong nhóm bệnh lý sau: Viêm thực quản tăng bạch cầu eosin (eosinophilic esophagitis), viêm dạ dày, viêm ruột, viêm đại tràng tăng bạch cầu ái toan (eosinophil gastritis, enteritis, and colitis)

Đây là một bệnh chẩn đoán chủ yếu dựa vào mô bệnh học với tình trạng tăng số lượng bạch cầu ái toan (BCAT) ở mảnh sinh thiết niêm mạc đường tiêu hóa và loại trừ các nguyên nhân gây tăng BCAT tại chỗ. Tuy nhiên, tiêu chuẩn về mô bệnh học cho đến nay vẫn chưa được thống nhất vì vậy vai trò của nhà giải phẫu bệnh kết hợp với bác sĩ lâm sàng rất quan trọng. Việc chẩn đoán bệnh EG được xác định thông qua sinh thiết hoặc lấy dịch báng có tăng eosin trong sự vắng mặt của các tác nhân gây bệnh khác, kể cả ký sinh trùng đường ruột. Viêm thực quản tăng eosin (EE_Eosinophilic esophagitis) cũng nên chẩn đoán phân biệt và thảo luận.

2. Dưới kính hiển vi, bản chất của các hình ảnh này là như thế nào?

Khẳng định chẩn đoán viêm dạ dày ruột tăng bạch cầu ái toan phải dựa vào kết quả mô bệnh học của mảnh sinh thiết lấy ở dạ dày, ruột non (thường là tá tràng), đại tràng hoặc trực tràng. Trong các đoạn của đường tiêu hóa, manh tràng và ruột thừa là vị trí có số lượng BCAT cao nhất có thể đến 30 tế bào/vi trường).

Dạ dày và đại tràng có số lượng BCAT thấp hơn do vậy tiêu chuẩn được thống nhất để chẩn đoán viêm dạ dày ruột tăng bạch cầu ái toan ở hầu hết các nghiên cứu là khi số lượng BCAT trên 20 tế bào/vi trường. Sự phân bố của BCAT có đặc điểm là theo từng vùng do vậy việc sinh thiết nhiều mảnh bao gồm cả những vùng niêm mạc bình thường giúp khẳng định chẩn đoán. Sử dụng các phương pháp nhuộm hóa mô miễn dịch còn giúp xác định được tình trạng lắng đọng các chất được giải phóng từ các hạt của BCAT lắng đọng ở ngoại bào như MBP, ЕСР. .
Trong trường hợp viêm dạ dày ruột tăng bạch cầu ái toan thể cơ hoặc thanh mạc, có thể phải phối hợp thêm với nội soi ổ bụng hoặc nội soi viên nang mới lấy bệnh phẩm để khẳng định chẩn đoán được.

2.1 Viêm dạ dày do bạch cầu ái toan

Ngược lại với thực quản, bình thường có bạch cầu ái toan ở niêm mạc dạ dày, nhưng ở nồng độ thấp hơn ở ruột non và ruột già. Tiêu chuẩn để chẩn đoán viêm dạ dày do bạch cầu ái toan về mặt mô học bao gồm ≥30 bạch cầu ái toan/ quang trường trong ít nhất 5 quang trường và ≥70 bạch cầu ái toan/ quang trường trong ít nhất 3 quang trường.

Đặc điểm chung của sinh thiết viêm dạ dày do bạch cầu ái toan là các tấm bạch cầu ái toan trong lớp đệm mở rộng, dư thừa trong biểu mô bạch cầu ái toan, viêm túi mật / áp xe bạch cầu ái toan, và bạch cầu ái toan trong cơ niêm mạc và lớp dưới niêm mạc. Tế bào Mast và Tế bào lympho có yếu tố FOXP3 có nhiều hơn trong sinh thiết viêm dạ dày do bạch cầu ái toan so với kiểm soát.

Đặc điểm lâm sàng của viêm dạ dày do bạch cầu ái toan bao gồm đau thượng vị, ngoại vi tăng bạch cầu ái toan trong máu, thiếu máu và giảm albumin máu. Nội soi bất thường bao gồm niêm mạc nốt, sung huyết, và loét / ăn mòn, nhưng niêm mạc có thể bình thường.

Viêm dạ dày do bạch cầu ái toan có thể xuất hiện riêng lẻ hoặc có thể kết hợp với dư thừa thâm nhập bạch cầu ái toan trong phần còn lại của đường tiêu hóa, đặc biệt là thực quản, đồng thời hoặc tuần tự. Kháng nguyên hạn chế thành công làm giảm các triệu chứng và tăng bạch cầu ái toan ở mô ở một số bệnh nhân nhi có viêm dạ dày do bạch cầu ái toan.

.


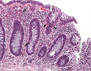
Thấm nhập nhiều mạch cầu ai toan ở tá tràng – Hình ảnh đặc trưng của viêm dạ dày do bạch cầu ái toan khi quan sát dưới kính hiển vi
Thấm nhập nhiều mạch cầu ai toan ở tá tràng – Hình ảnh đặc trưng của viêm dạ dày do bạch cầu ái toan khi quan sát dưới kính hiển vi

Một trường hợp khác có thấm nhập nhiều mạch cầu ái toan ở dạ dày
Một trường hợp khác có thấm nhập nhiều mạch cầu ái toan ở dạ dày

2.2 Viêm ruột non do tăng bạch cầu ái toan

Bạch cầu ái toan dư thừa trong ruột non có thể được coi là bội số của số lượng tối đa được tìm thấy trong sinh thiết thông thường, chẳng hạn như là 2 × 26 bạch cầu ái toan/quang trường hoặc 52 bạch cầu ái toan/ quang trường trong niêm mạc tá tràng và 2 × 28 bạch cầu ái toan/ quang trường hoặc 56 bạch cầu ái toan/ quang trường ở hồi tràng. Lượng bạch cầu ái toan dư thừa bị hạn chế ở ruột non dường như cực kỳ hiếm. Tăng bạch cầu ái toan ở niêm mạc dường như phổ biến, có lẽ riêng biệt, liên quan đến mật độ bạch cầu ái toan dư thừa trong niêm mạc của các bộ phận khác của đường tiêu hóa. Những bệnh nhân báo cáo chứng khó tiêu và không bị loét có tăng số lượng niêm mạc tá tràng bạch cầu ái toan so với những bệnh nhân không báo cáo chứng khó tiêu. Tăng số lượng bạch cầu ái toan trong lớp đệm, tăng bạch cầu ái toan trong biểu mô so với số lượng bình thường, nhung mao, và bạch cầu ái toan trong niêm mạc cơ và lớp dưới niêm mạc có thể được tìm thấy trong viêm thực quản bạch cầu ái toan.

2.3 Viêm đại tràng do tăng bạch cầu ái toan

Bạch cầu ái toan thường có trong niêm mạc ruột kết và hầu hết nhiều ở đại tràng bên phải của cả trẻ em và người lớn. Do đó, sử dụng một giá trị ngưỡng duy nhất để xác định tăng mật độ bạch cầu ái toan kém chính xác hơn và có khả năng gây hiểu lầm so với việc áp dụng các giá trị ngưỡng thích hợp cho từng vị trí đại tràng (phải, ngang, trái, trực tràng) được đánh dấu thích hợp và niêm mạc đại tràng được gửi riêng để sinh thiết.

Bạch cầu ái toan dư thừa có thể được coi là bội số của số lượng đỉnh bạch cầu ái toan/ quang trường trong sinh thiết bình thường, bao gồm 2 × 50 bạch cầu ái toan/ quang trường hoặc 100 bạch cầu ái toan/ quang trường ở manh tràng và đại tràng lên, 2 × 42 bạch cầu ái toan/ quang trường hoặc 84 bạch cầu ái toan/ quang trường trong dấu hai chấm ngang và đi xuống, và 2 × 32 bạch cầu ái toan/ quang trường hoặc 64 bạch cầu ái toan/ quang trường trong niêm mạc trực tràng. Đặc điểm mô học ở sinh thiết đại tràng cho thấy mật độ bạch cầu ái toan tăng lên tăng bạch cầu ái toan trong biểu mô và bạch cầu ái toan ở niêm mạc cơ và lớp dưới niêm mạc.

Sự phổ biến của viêm đại tràng do bạch cầu ái toan rất khó xác định, một phần, bởi vì không có hướng dẫn chẩn đoán bệnh lý hoặc lâm sàng.

Tuy nhiên, một cách tiếp cận hợp lý là viêm đại tràng do bạch cầu ái toan phải là một chẩn đoán bệnh học lâm sàng, tương tự như viêm thực quản do bạch cầu ái toan, đòi hỏi cả hai triệu chứng có thể đề cập đến rối loạn chức năng đại tràng và sinh thiết ruột kết cho thấy thừa bạch cầu ái toan. Sinh thiết ruột kết cho thấy bạch cầu ái toan mật độ lớn hơn bình thường. Hầu hết những bệnh nhân đó đều có các triệu chứng, chủ yếu là tiêu chảy và đau bụng, nhưng khoảng một phần ba không có triệu chứng. Đã báo cáo bất thường nội soi bao gồm xuất huyết, mất niêm mạc, tổn thương màu trắng, niêm mạc hạt nhợt nhạt và loét áp-tơ. Một số nghiên cứu đã ghi nhận rằng lượng bạch cầu ái toan dư thừa có thể được tìm thấy trong sinh thiết niêm mạc từ những bệnh nhân bị bệnh viêm ruột IBD.


Sự phổ biến của viêm đại tràng do bạch cầu ái toan rất khó xác định
Sự phổ biến của viêm đại tràng do bạch cầu ái toan rất khó xác định

Thật vậy, bạch cầu ái toan có thể nhiều hơn trong sinh thiết từ trẻ em bị IBD so với sinh thiết từ trẻ em bị dị ứng, và tăng eotaxin-1 mức độ được báo cáo trong sinh thiết trực tràng từ trẻ em với viêm loét đại tràng. Sự hiện diện của các tế bào viêm cấp tính trong sinh thiết ruột kết cho thấy những thay đổi mãn tính và dư thừa bạch cầu ái toan, đặc biệt là những người thiếu bạch cầu ái toan, nên nghi ngờ IBD với lượng bạch cầu ái toan dư thừa là đúng chẩn đoán. Vai trò của bạch cầu ái toan trong IBD không rõ ràng. Tăng số lượng bạch cầu ái toan có thể được tìm thấy trong đại tràng sinh thiết của những bệnh nhân bị ức chế miễn dịch, đặc biệt là những người nhận tacrolimus, những người đã được cấy ghép nội tạng có thể giải quyết bằng việc hạn chế thực phẩm.

Viêm đại tràng dị ứng ở trẻ sơ sinh đã được chẩn đoán nếu> 20 bạch cầu ái toan / quang trường được tìm thấy trong sinh thiết trực tràng, có thể ở phân bố loang lổ, giải quyết theo dõi lâm sàng loại bỏ các kháng nguyên vi phạm, thường là sữa bò, khỏi chế độ ăn uống của trẻ sơ sinh bị ảnh hưởng. Vì điều kiện này rất dễ dàng, và dường như vĩnh viễn, được điều trị bằng cách rút một loại thực phẩm chất từ ​​chế độ ăn uống, phân loại như một viêm dạ dày ruột tăng esinophil được coi là không phù hợp bởi một số chuyên gia.

3. Chẩn đoán phân biệt khi tăng mật độ bạch cầu ái toan

Chẩn đoán phân biệt khi tăng mật độ bạch cầu ái toan trong niêm mạc đại tràng rộng hơn so với thảo luận ở trên, và bao gồm nhiễm ký sinh trùng, hội chứng tăng bạch cầu ái toan, v.v... Viêm đại tràng do esinophile chính là chẩn đoán chỉ được thực hiện sau khi tất cả các nguyên nhân đã biết cho tăng bạch cầu ái toan ở đại tràng đã bị loại trừ.


Hình ảnh viêm mạn tính niêm mạc đại tràng với sự xuất hiện của nhiều BCAT
Hình ảnh viêm mạn tính niêm mạc đại tràng với sự xuất hiện của nhiều BCAT

4. Theo dõi sau điều trị dựa trên hình ảnh mô bệnh học

Trong quá trình điều trị, theo dõi đáp ứng dựa vào những tiêu chí nào hiện vẫn còn tranh cãi. Cho đến nay trong hầu hết các nghiên cứu, đáp ứng điều trị chủ yếu vẫn dựa trên sự cải thiện triệu chứng lâm sàng và giảm số lượng BCAT. Tuy nhiên còn cần phối hợp thêm với sự thay đổi hình ảnh trên nội soi và mô bệnh học. Theo khuyến cáo của Hội Tiêu hóa Mỹ năm 2013, đáp ứng hoàn toàn về mô bệnh học được định nghĩa là khi số lượng BCAT giảm > 90% số lượng BCAT. Hầu hết các nghiên cứu sử dụng số lượng BCAT nhiều nhất đếm được, một số sử dụng giá trị trung bình. Ngoài ra cần lưu ý đến các đặc điểm khác liên quan đến tổn thương viêm của mô như tăng sinh vùng nền, xơ hóa lớp dưới biểu mô... Việc phát triển các thang điểm phân loại mức độ nặng trên nội soi và mô bệnh học được kỳ vọng sẽ đem đến các công cụ hữu hiệu để theo dõi đáp ứng sau điều trị.
Nhiều khía cạnh của chẩn đoán viêm dạ dày ruột do bạch cầu ái toan, cơ chế bệnh sinh, liệu pháp, v.v., vẫn còn được xác định. Gần đây, Tổ chức các nhà nghiên cứu tiêu hóa bạch cầu ái toan (CEGIR) đã nhận được nhiều sựu giúp đỡ để tạo điều kiện các nghiên cứu về các bệnh hiếm gặp này.. Những nghiên cứu này hy vọng sẽ mang lại kiến ​​thức khoa học cơ bản và lâm sàng sẽ dẫn đến và các liệu pháp hiệu quả.

Bệnh viện Đa khoa Quốc tế Vinmec với hệ thống cơ sở vật chất, trang thiết bị y tế hiện đại cùng đội ngũ chuyên gia, bác sĩ nhiều năm kinh nghiệm trong khám điều trị bệnh, người bệnh hoàn toàn có thể yên tâm thăm khám và điều trị viêm dạ dày ruột do bạch cầu ái toan tại Bệnh viện.

Tài liệu tham khảo

  • A Lowichik 1, A G Weinberg. A quantitative evaluation of mucosal eosinophils in the pediatric gastrointestinal tract. Mod Pathol. 1996 Feb; 9(2):110-4.
  • Kinoshita Y, Ishimura N, Oshima N và cộng sự (2015). Systematic review: Eosinophilic esophagitis in Asian countries. World J Gastroenterol, 21 (27): 8433-40.

XEM THÊM

Để đặt lịch khám tại viện, Quý khách vui lòng bấm số HOTLINE hoặc đặt lịch trực tiếp TẠI ĐÂY. Tải và đặt lịch khám tự động trên ứng dụng MyVinmec để quản lý, theo dõi lịch và đặt hẹn mọi lúc mọi nơi ngay trên ứng dụng.

Chia sẻ