Unfortunately, the content on this page is not available in
English.
Please press continue to read the content in Vietnamese.
Thank you for your understanding!
Chủ đề Vì sao có khí trong màng phổi
Trang chủ
Chủ đề Vì sao có khí trong màng phổi
Danh sách bài viết
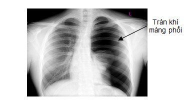
Vì sao có khí trong màng phổi? Chẩn đoán trên X quang có chính xác không?
Khi tràn dịch màng phổi dịch tiết, khoang màng phổi có dịch sẽ gây nên nên hiện tượng dày màng phổi với hình ảnh rõ nét trên phim. Do vậy, X quang là xét nghiệm cận lâm sàng quan trọng nhất trong chẩn đoán bệnh lý phổi.
Xem thêm