Unfortunately, the content on this page is not available in
English.
Please press continue to read the content in Vietnamese.
Thank you for your understanding!
Chủ đề Viêm thận bể thận sinh hơi
Trang chủ
Chủ đề Viêm thận bể thận sinh hơi
Danh sách bài viết
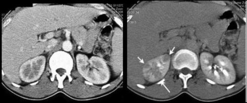
Hình ảnh viêm thận - bể thận sinh hơi trên cắt lớp vi tính
Viêm thận - bể thận sinh hơi là căn bệnh ít được mọi người biết đến, các trường hợp phát hiện ra bệnh thường quá muộn và phải điều trị bằng phẫu thuật cắt bỏ thận. Chụp CT là phương pháp hiệu quả và nhanh chóng giúp bác sĩ đánh giá được tình trạng bệnh kịp thời.
Xem thêm