Có nên làm trắng răng tại nhà?

Mục lục

Nếu bạn đang muốn làm trắng răng của mình một cách tự nhiên, bạn có thể lựa chọn một số phương pháp được thực hiện ngay tại nhà. Vậy có cách làm trắng răng bị ố vàng tại nhà không và có nên làm trắng răng tại nhà? Bài viết dưới đây sẽ giúp bạn biết cách làm trắng răng tại nhà an toàn và hiệu quả.

1. Nguyên nhân gây tình trạng răng bị ố vàng

Khoảng 18% số người cho biết họ thường che giấu răng của mình trong các bức ảnh, nhiều người thường cảm thấy xấu hổ về màu vàng của răng. Sở hữu hàm răng đẹp là điều rất quan trọng trong cuộc sống của chúng ta ngày nay. Trước khi tìm hiểu cách làm trắng răng, bạn nên biết nguyên nhân tại sao răng của bạn đã trở nên ố vàng. Dưới đây là một số nguyên nhân hay gặp nhất của răng bị ố vàng.

1.1 Vết bẩn

Nếu bạn ăn một số loại thực phẩm hoặc uống đồ uống như cola, rượu hoặc cà phê, răng của bạn có thể vàng hơn. Tương tự như vậy, hút thuốc lá có thể dẫn đến vàng răng, cũng như dùng một số loại thuốc kháng sinh hoặc thuốc kháng histamin.

Việc sử dụng các loại nước súc miệng có chứa chlorhexidine và cetylpyridinium chloride cũng có liên quan đến việc răng bị ố vàng.

1.2 Làm mỏng men

Men răng là lớp ngoài cùng của răng và cũng là lớp trắng nhất. Khi chúng ta già đi, bề mặt cứng này có xu hướng bị mài mòn và để lộ các lớp tối hơn bên dưới nó. Việc ăn nhiều thực phẩm đã qua chế biến có hàm lượng axit cao, như nước ngọt hoặc soda, bánh kẹo hoặc đôi khi là một số loại trái cây, thậm chí một số chất bổ sung có thể làm trầm trọng thêm tình trạng mỏng men do hàm lượng axit của chúng.

Ngoài ra, một số người lại có yếu tố di truyền với hàm răng có lớp men mỏng.

1.3 Vệ sinh răng miệng kém

Có một điều hiển nhiên là nếu bạn không đánh răng và dùng chỉ nha khoa mỗi ngày, bạn sẽ bị vàng răng. Ngay cả khi bạn đã thành thạo việc làm trắng răng tại nhà, bạn vẫn cần phải thực hành vệ sinh răng miệng đúng cách, nếu không bạn sẽ phải chịu những hậu quả tiêu cực như bệnh nướu răng, sâu răng.

1.4 Tình trạng bệnh

Có một số bệnh có thể gây hại cho men răng như bị khô miệng (vì thiếu nước bọt đồng nghĩa với việc ít bảo vệ men răng hơn), thở bằng miệng và đường mũi bị tắc. Những tình trạng này làm giảm lượng nước bọt và ngăn răng hoặc khoang miệng không được khử trùng.

Hơn nữa, một số phương pháp điều trị như hóa trị cũng có thể gây ố vàng hoặc đổi màu răng.


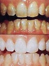
Một số tình trạng bệnh có thể khiến răng bạn bị ố và cần làm trắng răng tại nhà
Một số tình trạng bệnh có thể khiến răng bạn bị ố và cần làm trắng răng tại nhà

2. Các biện pháp làm trắng răng tại nhà

2.1 Tăng cường thói quen đánh răng của bạn

Đầu tiên và quan trọng nhất là phải đánh răng ít nhất hai lần một ngày và tối thiểu hai phút mỗi lần. Điều này không chỉ ngăn ngừa ố vàng mà thậm chí còn có thể mang lại một số tác dụng làm trắng.

Tất cả các loại kem đánh răng đều loại bỏ vết bẩn trên bề mặt vì chúng có chứa chất mài mòn nhẹ. Một số loại kem đánh răng làm trắng có chứa các chất hóa học hoặc đánh bóng nhẹ nhàng giúp mang lại hiệu quả loại bỏ vết bẩn bổ sung.

Nếu bạn muốn nâng cấp độ trắng lên một bậc bạn cần tạo ra hỗn hợp bột nhão từ baking soda và hydrogen peroxide, đây là hai loại hợp chất có thể loại bỏ cả mảng bám và vi khuẩn, đồng thời cũng giúp loại bỏ vết bẩn.

Dưới đây là cách thực hiện:

  • Trộn 1 thìa cà phê muối nở với nửa thìa ô-xy già 3% cho đến khi tạo thành hỗn hợp sền sệt
  • Chải như cách bạn làm với kem đánh răng thông thường
  • Súc miệng nhiều bằng nước sau mỗi lần chải
  • Bạn cũng có thể tạo nước súc miệng bằng cách thêm ít nhất 60ml nước vào hỗn hợp. Ngậm trong miệng khoảng 2 - 4 phút rồi nhổ ra.

Một phương pháp làm trắng răng tự nhiên khác là than hoạt tính, được cho là loại bỏ các sắc tố và vết ố trên răng của bạn. Than hoạt tính có khả năng hấp thụ cao, có thể loại bỏ vi khuẩn và độc tố trong miệng của bạn.

Để đưa than hoạt tính vào chế độ đánh răng của bạn, bạn sẽ cần viên nang than hoạt tính. Mở một viên nang và bôi trực tiếp nó lên bàn chải đánh răng của bạn. Chải nhẹ nhàng theo vòng tròn nhỏ và cố gắng tránh nướu răng của bạn, vì than có thể mài mòn ít nhiều nướu của bạn.

Giữa hai phương pháp, đánh răng bằng than hoạt tính có nhiều rủi ro hơn. Mặc dù có đặc tính làm trắng răng, kỹ thuật này được cho là có thể làm hỏng cấu trúc răng và thậm chí gây ố vàng về lâu dài.

Việc đánh răng với baking soda và hydrogen peroxide được xem là một phương pháp làm trắng răng an toàn và hiệu quả hơn. Theo một nghiên cứu, bạn có thể thấy kết quả sau ít nhất là 6 tuần.

2.2 Sử dụng giấm táo và một số loại vỏ trái cây chà trên răng

Giấm táo (ACV), hoạt động hiệu quả như một chất kháng sinh tự nhiên và đặc biệt là có tác dụng như một chất tẩy rửa răng, cũng có thể loại bỏ các vết bẩn cứng đầu trên răng. ACV đặc biệt hữu ích để loại bỏ vết bẩn do các thủ phạm phổ biến như cà phê và nicotine (hút thuốc).

ACV chứa các hợp chất, bao gồm axit axetic, kali, magiê, chế phẩm sinh học và enzym, có tác dụng tiêu diệt vi trùng và đồng thời thúc đẩy sự phát triển của vi khuẩn probiotic “tốt” có lợi. Vì nó có tính axit tự nhiên, nó giúp phá vỡ mảng bám hoặc các chất khác bám trên răng. Độ pH của giấm táo có thể tẩy sạch các vết ố trên răng, giúp làm trắng răng một cách tự nhiên.

Điều quan trọng khi sử dụng ACV để làm trắng răng là phải kiên trì, sử dụng ít nhất một tháng liên tục để có thể thấy được kết quả. Tuy nhiên, hãy cẩn thận, vì với tất cả các axit, nó có thể loại bỏ lớp men trên răng nếu bạn chải quá mạnh hoặc dùng quá nhiều. Sau khi đánh răng bằng ACV, bạn cần chải lại bằng kem đánh răng thông thường, là loại không có fluor hoặc súc miệng sạch.

Thoa giấm táo lên ngón tay của bạn và chà nó lên răng trong khoảng một phút. Sau đó, súc miệng bằng nước hoặc nước súc miệng hydrogen peroxide.

Tương tự như giấm táo, một số người cho rằng sử dụng trái cây họ cam quýt - bao gồm quả chanh, vỏ cam, hoặc tinh dầu chanh, có chứa axit có lợi - cũng có tác dụng làm trắng răng. Những thực phẩm này nhìn chung rất lành mạnh, chẳng hạn như có lợi cho tiêu hóa do điều chỉnh mức độ axit trong dạ dày, nhưng hàm lượng axit cao cuối cùng cũng có thể làm mòn men răng nếu sử dụng quá nhiều. Giống như sử dụng giấm táo, nếu bạn dùng chanh hoặc vỏ cam trên răng, hãy nhớ luôn súc miệng sau đó. Sử dụng công thức súc miệng bằng hydrogen peroxide được mô tả ở trên để có kết quả.

2.3 Miếng dán và gel làm trắng không kê đơn

Gel làm trắng là loại gel có nguồn gốc từ peroxide, trong suốt được sử dụng bằng bàn chải nhỏ trực tiếp lên bề mặt răng của bạn. Các hướng dẫn khác nhau tùy thuộc vào độ mạnh của peroxide. Thực hiện đúng các hướng dẫn trên sản phẩm. Kết quả ban đầu được nhìn thấy trong vài ngày và kết quả cuối cùng kéo dài khoảng 4 tháng.

Miếng dán làm trắng là những dải rất mỏng, hầu như không nhìn thấy được phủ một lớp gel làm trắng dựa trên peroxide. Các dải phải được dán theo hướng dẫn trên nhãn. Kết quả ban đầu được nhìn thấy trong vài ngày và kết quả cuối cùng kéo dài khoảng 4 tháng.


Miếng dán và gel là một trong các cách làm trắng răng tại nhà
Miếng dán và gel là một trong các cách làm trắng răng tại nhà

2.4 Thay đổi lối sống

Nếu răng của bạn ngày càng vàng hơn, có lẽ đã đến lúc bạn nên đánh giá lại thói quen sống của mình. Uống ít cà phê hoặc rượu; bỏ thuốc lá; ăn ít thức ăn có tính axit.

Đôi khi, học cách làm trắng răng có nghĩa là học cách ngăn ngừa các nguyên nhân gây ra tình trạng xỉn màu hoặc mỏng men răng.

2.5 Uống qua ống hút

Nói cách khác đây là một phương pháp ngăn ngừa răng bị ố vàng. Uống qua ống hút có khả năng bảo vệ răng của bạn chống lại một số loại va chạm hoặc tiếp xúc.

Tất nhiên, phương pháp này cũng có thể gây lãng phí do việc sử dụng ống hút một lần. Bạn có thể cân nhắc việc sử dụng các loại ống hút có thể tái sử dụng.

2.6. Thử dầu kéo

Mặc dù không được Hiệp hội Nha khoa Hoa Kỳ khuyến khích, một số người sử dụng phương pháp súc miệng bằng dầu như một kỹ thuật làm trắng răng tự nhiên. Vậy chính xác thì dầu kéo là gì? Đó là khi bạn rửa sạch miệng bằng dầu dừa, dầu hướng dương hoặc dầu mè sau khi đánh răng và dùng chỉ nha khoa. Súc miệng trong khoảng một phút và sau đó nhổ dầu ra như cách súc miệng thông thường.

2.7. Thực hành vệ sinh răng miệng đúng cách

Duy trì vệ sinh răng miệng đúng cách là cách để ngăn ngừa ố vàng và đổi màu. Bạn cần tuân thủ các bước:

  • Chải hai lần một ngày, mỗi lần ít nhất hai phút
  • Dùng chỉ nha khoa hai lần một ngày để loại bỏ mảng bám giữa các kẽ răng
  • Sử dụng kem đánh răng có chứa florua, được cho là có thể chống sâu răng
  • Súc miệng bằng nước súc miệng do nha sĩ khuyên dùng mỗi ngày một lần

3. Làm trắng răng tự nhiên có gây hại cho răng của bạn không?

Một điều cần lưu ý khi nói đến làm trắng răng là một số chất làm trắng tự nhiên có thể loại bỏ men răng.

Để tránh quá lạm dụng các phương pháp làm trắng răng, hãy bắt đầu từ từ, chỉ sử dụng một lượng nhỏ bất kỳ sản phẩm nào, tuân theo chỉ dẫn và chú ý đến các dấu hiệu của tình trạng ê buốt trở nên tồi tệ hơn.

Các sản phẩm làm trắng răng có thể làm hỏng răng do loại bỏ quá nhiều men răng. Việc sử dụng miếng dán trắng răng liên tục đã được chứng minh là có thể gây mòn và ảnh hưởng tiêu cực đến sức khỏe răng miệng, vì vậy nên hạn chế làm trắng răng theo cách này.

Miếng dán làm trắng răng thông thường và các sản phẩm làm trắng khác, có chứa một loại gel với thành phần hoạt chất là carbamide peroxide, chất này phân hủy thành hydrogen peroxide và một chất thải gọi là urê. Việc sử dụng miếng dán làm trắng răng liên tục đã được chứng minh là có thể gây mòn men răng theo thời gian và cũng khiến răng bị ê buốt, đặc biệt là khi ăn các chất lỏng nóng và lạnh hoặc thực phẩm có tính axit.

Nên sử dụng miếng dán trắng răng ở mức độ vừa phải, lý tưởng nhất là sau khi bạn đã thử các phương pháp tự nhiên để chăm sóc răng tốt hơn.

Sản phẩm tẩy trắng răng chỉ nên được sử dụng dưới sự hướng dẫn của nha sĩ. Hãy nhớ rằng các phương pháp điều trị làm trắng có thể có tác dụng tạm thời nhưng không lâu dài. Cách để làm trắng răng là cung cấp cho cơ thể nhiều thực phẩm lành mạnh, đánh răng và rửa sạch răng, nướu mỗi ngày. Đồng thời hạn chế cà phê, trà và thực phẩm có đường trong chế độ ăn uống của bạn.


Bạn nên được nha sĩ hướng dẫn về các cách làm trắng răng tại nhà
Bạn nên được nha sĩ hướng dẫn về các cách làm trắng răng tại nhà

4. Những trường hợp không nên áp dụng quy trình làm trắng răng

Một số trường hợp không nên áp dụng quy trình làm trắng răng gồm:

  • Các vấn đề về tuổi tác và thai kỳ. Không nên tẩy trắng răng ở trẻ em dưới 16 tuổi. Làm trắng răng trong độ tuổi này có thể gây kích ứng tủy răng hoặc khiến nó trở nên nhạy cảm. Làm trắng răng cũng không được khuyến khích ở phụ nữ mang thai hoặc cho con bú.
  • Răng nhạy cảm và dị ứng. Những người có răng và nướu nhạy cảm, tụt nướu hoặc phục hình khiếm khuyết nên tham khảo ý kiến ​​nha sĩ trước khi sử dụng hệ thống làm trắng răng. Bất kỳ ai bị dị ứng với peroxide (chất làm trắng) không nên sử dụng sản phẩm tẩy trắng.
  • Bệnh nướu răng, mòn men, sâu răng và lộ chân răng. Những người bị bệnh nướu răng hoặc răng bị mòn men thường không được khuyến khích thực hiện các quy trình làm trắng răng. Sâu răng cần được điều trị trước khi thực hiện bất kỳ quy trình tẩy trắng răng nào. Điều này là do các dung dịch tẩy trắng răng thâm nhập vào bất kỳ vết sâu hiện có và các khu vực bên trong của răng, có thể gây ra ê buốt. Ngoài ra, quy trình tẩy trắng răng sẽ không có tác dụng đối với chân răng lộ ra ngoài, vì chân răng không có lớp men.
  • Các phục hình răng: Trám răng có màu và vật liệu composite nhựa dùng trong phục hình răng (mão, làm răng sứ, niềng răng, cầu răng ) không áp dụng làm trắng răng . Do đó, sử dụng chất làm trắng trên răng có chứa chất phục hình sẽ dẫn đến việc làm trắng không đồng đều - trong trường hợp này, làm cho răng không phục hình có vẻ nhẹ hơn so với răng có phục hình. Bất kỳ quy trình tẩy trắng răng nào cũng phải được thực hiện trước khi tiến hành phục hình.
  • Hàm răng sậm màu. Răng ngả vàng đáp ứng tốt với thuốc tẩy trắng, răng ngả màu nâu ít đáp ứng tốt hơn và răng ngả màu xám hoặc ngả màu tím có thể không đáp ứng với thuốc tẩy trắng. Màu xám xanh trên răng do kháng sinh tetracycline gây ra khó làm sáng hơn và có thể cần đến sáu tháng điều trị để làm sáng thành công.

Nguồn tham khảo: webmd.com

Để đặt lịch khám tại viện, Quý khách vui lòng bấm số HOTLINE hoặc đặt lịch trực tiếp TẠI ĐÂY. Tải và đặt lịch khám tự động trên ứng dụng MyVinmec để quản lý, theo dõi lịch và đặt hẹn mọi lúc mọi nơi ngay trên ứng dụng.

Chia sẻ