Bài viết được viết bởi Bác sĩ chuyên khoa I Võ Công Hiền - Bác sĩ Chẩn đoán hình ảnh, Khoa Chẩn đoán hình ảnh - Bệnh viện Đa khoa Quốc tế Vinmec Nha Trang.
Chụp MRI sọ não được coi là phương pháp đánh giá sọ não không xâm lấn tối ưu nhất. Có giá trị đặc biệt trong việc chẩn đoán các bệnh lý ở tuyến yên và thân não. Giúp phát hiện và đánh giá nhiều bệnh hay bất thường của sọ não, đặc biệt là u não do hình ảnh rõ nét, chi tiết, quan sát được cả mạch não mà không cần tiêm chất tương phản. Bệnh lý sọ não vô cùng đa dạng, phức tạp vì vậy việc đọc kết quả MRI sọ não bên cạnh bác sĩ chuyên khoa nắm vững kiến thức, giải phẫu hình ảnh học thì cần theo trình tự nhất định để tránh bỏ sót các tổn thương.
1. Nắm rõ thông tin hành chính
Tên, tuổi bệnh nhân
Vị trí cần chụp:
- Não bộ
- Tuyến yên
- Động mạch vùng cổ
Chỉ Định
Kỹ Thuật:
Loại chuỗi xung: hình ảnh T1, T2SE, T2 FLAIR, T2*, Diffusion và ADCmap, T1 gadolinium.
- Trường hợp đặc biệt: Hình ảnh động mạch, tĩnh mạch: dòng, gado T1 IR, T2 CISS, T1 FS. Hình ảnh tưới máu, hình bó thần kinh, hình ảnh chức năng, phép đo phổ.
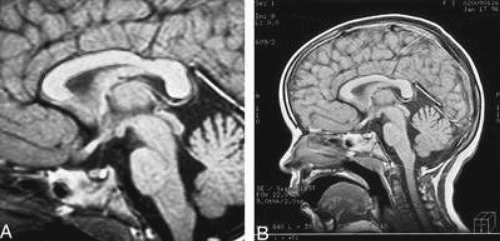
- Hướng cắt: cắt ngang, mặt phẳng trán, mặt phẳng đứng dọc.
Đọc hình ảnh: Mô tả dấu hiệu, lý giải dựa theo vị trí, cấu trúc giải phẫu, số lượng.
a. Dấu hiệu tổn thương: Dấu hiệu trực tiếp
Tín hiệu trong mỗi chuỗi xung không tiêm? Tín hiệu sau tiêm?
Kết quả: Tổn thương : phù, tổn thương đặc.
- Xuất huyết, vôi hóa, mỡ.

- Dạng nang : tín hiệu dịch thay đổi theo nồng độ protein.
- Dòng nhanh, dòng chậm...
- Bắt hay không bắt chất tương phản từ.
- Tổn thương đồng nhất hay không đồng nhất.
Vị trí tổn thương:
- Thùy não, đường giữa, hố sau, nền sọ... Có tương hợp với dấu hiệu lâm sàng không?
- Hình thái và vị trí phù hợp với vùng tưới máu động mạch không?
- Tôn trọng, không thay đổi cấu trúc bên trong não bộ? các khoang Virchov Robin không bị ảnh hưởng?
- Tổn thương duy nhất hay nhiều tổn thương?
b. Tác động của tổn thương lên các cấu trúc bình thường lân cận: Dấu hiệu gián tiếp.
- Phù nề
- Đẩy các cấu trúc lân cận: các rãnh vỏ não, đường giữa, bản trong xương sọ...
- Tụt não :
+ Tổn thương trên lều: tụt thể chai, móc thái dương, hạnh nhân tiểu não.
+ Hố sau: Thùy nhộng trên, hạnh nhân tiểu não.
- Giãn nở não thất:
+ Do tắc nghẽn DNT: tắc nghẽn trong não? hoặc ngoài não?
+ Do teo não.
+ Do não không phát triển: dị dạng.
Các dấu hiệu gợi ý căn nguyên: tùy theo tiền căn lâm sàng, khảo sát khác, diễn tiến để đọc các dấu hiệu trên cộng hưởng từ.
b.1. Tổn thương trong não
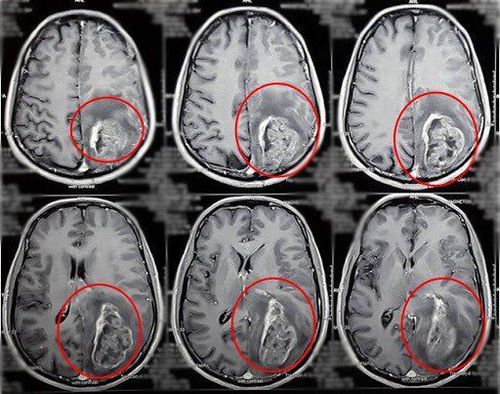
- U trong não:
+ Thần kinh đệm: u tế bào đệm
+ Mô thần kinh: u nguyên bào tủy, DNET
+ Mô tạo huyết: lymphoma, u lưới mạch
+ Di căn não: Theo đường máu, theo đường dưới nhện.
+ Trường hợp đặc biệt: U quái, u trong não thất, hội chứng cận u.

+ Nhồi máu não: Vùng tưới máu động mạch, mật độ và tín hiệu, căn nguyên.
+ Xuất huyết não, màng não.
+ Viêm huyết khối tĩnh mạch não.
- Bệnh lý viêm: xơ cứng rải rác, bệnh chất trắng não cấp, bệnh saccoit...
- Bệnh lý nhiễm trùng: Nhiễm vi trùng: áp xe, tụ mủ, viêm màng não.
- Bệnh lý nhiễm virus: Bệnh não do herpes, HIV,...
- Nhiễm ký sinh trùng, nấm: sán lợn,...
- Bệnh thoái hóa : Bệnh Parkinson, teo nhiều ổ hệ thống, bệnh Alzheimer...
- Bệnh lý nhiễm độc : Rượu, ma túy, oxyt cacbon...
b.2. Tổn thương ngoài não: U và giả u / tùy theo vị trí
- Vòm sọ: tổn thương xương, tổn thương màng não khu trú hay lan tỏa: viêm dày màng não.
- Nền sọ: tầng trước, tuyến yên, đường giữa, hố sau.
c. Tổn thương có thể phối hợp trong và ngoài não
- Chấn thương sọ não.
- Dị dạng não, dị dạng màng não, dị dạng sọ: dị dạng não trước, dị nguyên, u mỡ, u quái, Chiari. Nang màng nhện, thoát vị não màng não. Dính liền khớp sọ.
- Hội chứng thần kinh - da: U xơ thần kinh, xơ cứng củ, Sturge Weber, Von Hippel Lindau...
Dĩ nhiên có thể thảo luận nhiều căn nguyên / các khả năng, độ chắc chắn? Tùy ý kiến đồng nghiệp để có hướng xử trí: Khẩn? Khảo sát hình ảnh khác? Khảo sát cận lâm sàng khác?

Để đặt lịch khám tại viện, Quý khách vui lòng bấm số HOTLINE hoặc đặt lịch trực tiếp TẠI ĐÂY. Tải và đặt lịch khám tự động trên ứng dụng MyVinmec để quản lý, theo dõi lịch và đặt hẹn mọi lúc mọi nơi ngay trên ứng dụng.