10 điều bạn không biết có thể gây ra hơi thở hôi

Mục lục

Chứng hôi miệng chủ yếu là do vi khuẩn sản xuất lưu huỳnh thường sống trên bề mặt lưỡi và trong cổ họng gây ra. Đôi khi, nguyên nhân hơi thở có mùi là khi những vi khuẩn này bắt đầu phân hủy protein với tốc độ rất cao và các hợp chất lưu huỳnh dễ bay hơi có mùi được giải phóng từ mặt sau của lưỡi và cổ họng, khiến người mắc phải gặp rất nhiều trở ngại trong đời sống hằng ngày.

1. Hơi thở hôi là bệnh gì?

Hơi thở của con người bao gồm các chất rất phức tạp với nhiều mùi khác nhau có thể tạo ra các tình huống khó chịu như chứng hôi miệng.

Theo đó, chứng hôi miệng là một từ được sử dụng để mô tả bất kỳ mùi hôi khó chịu nào phát ra từ miệng và hơi thở. Tình trạng không mong muốn này là xảy ra rất phổ biến cho cả hai giới tính và cho tất cả các nhóm tuổi. Dù nguyên nhân hơi thở có mùi là gì, điều này luôn tạo ra những bất lợi về mặt xã hội và tâm lý cho cá nhân; thậm chí, những tình huống này còn làm ảnh hưởng đến mối quan hệ của cá nhân với người khác.

2. Tổng quan về nguyên nhân hơi thở hôi

Chứng hôi miệng được hình thành bởi các phân tử dễ bay hơi gây ra bởi các lý do bệnh lý hoặc không phải bệnh lý và bắt nguồn từ đường miệng hoặc không phải đường miệng. Tình trạng này rất phổ biến ở dân số nói chung và có đến gần 50% người trong cộng đồng mắc chứng hôi miệng. Mặc dù chứng hôi miệng có nguồn gốc từ nhiều yếu tố, 90% trường hợp mắc bệnh là do khoang miệng như vệ sinh răng miệng kém, bệnh nha chu, nấm lưỡi, thức ăn bám vào, răng giả không sạch, phục hình răng bị lỗi, ung thư miệng và nhiễm trùng họng.

Có một số phương pháp để xác định chứng hôi miệng; tuy nhiên, một người có thể mắc phải nhiều nguyên nhân hơi thở có mùi khác nhau. Dù vậy, chứng hôi miệng chỉ có thể được điều trị triệt để nếu căn nguyên được phát hiện đúng cách. Do đó, vấn đề quan trọng nhất để điều trị chứng hôi miệng là phát hiện căn nguyên hoặc xác định nguồn gốc bằng cách khám lâm sàng chi tiết. Việc điều trị phải dựa trên nguyên nhân, có thể bao gồm các biện pháp đơn giản, từ cạo vôi răng, hướng dẫn vệ sinh răng miệng, làm sạch lưỡi và súc miệng.


Nấm lưỡi có thể là nguyên nhân hơi thở hôi
Nấm lưỡi có thể là nguyên nhân hơi thở hôi

3. Các nguyên nhân hơi thở có mùi bắt nguồn từ khoang miệng

Mặc dù chứng hôi miệng có nguồn gốc đa yếu tố nhưng nguồn gốc của 90% trường hợp là do khoang miệng. Trong khoang miệng, nhiệt độ có thể lên tới 37 ° C. Trong quá trình thở ra, độ ẩm cũng có thể đạt tới 96%, nhất là khi thở ra bằng miệng. Những điều kiện này là một môi trường thích hợp cho sự phát triển của vi khuẩn. Số lượng loài vi khuẩn được tìm thấy trong khoang miệng là hơn 500 loài và hầu hết chúng đều có khả năng tạo ra các hợp chất có mùi có thể gây ra chứng hôi miệng.

Trong những điều kiện này, vệ sinh răng miệng kém đóng một yếu tố chính cho sự nhân lên của vi khuẩn gây chứng hôi miệng và làm gia tăng chứng hôi miệng. Những vi khuẩn này bao gồm các loài đặc biệt là Gram âm và vi khuẩn kỵ khí bắt buộc phân giải protein và chúng chủ yếu được giữ lại trong lớp phủ trên bề mặt lưỡi và túi nha chu. Trong số những người khỏe mạnh, không có tiền sử hôi miệng và không có nha chu bệnh, một số có biểu hiện hôi miệng là do vi khuẩn lưu lại trên bề mặt lưỡi. Những vi khuẩn này phân hủy các chất hữu cơ (chẳng hạn như glucose, mucin, peptit và protein có trong nước bọt, dịch mô, mô mềm miệng và các mảnh vụn được giữ lại) và tạo ra các hợp chất có mùi.

Do vệ sinh răng miệng kém, các mảnh vụn thức ăn và mảng bám vi khuẩn răng miệng tích tụ trên răng và lưỡi, gây sâu răng và các bệnh nha chu như viêm nướu, viêm nha chu. Tình trạng viêm các mô nướu và nha chu tạo ra các nguồn bệnh nha chu liên quan đến mảng bám có thể làm tăng mức độ nghiêm trọng của chứng hôi miệng. Tuy nhiên, các dạng bệnh nha chu khác, đặc biệt là các dạng cấp tính và rầm rộ như viêm lợi loét hoại tử cấp tính, viêm phúc mạc, bệnh Vincent hoặc các dạng viêm nha chu nặng, có thể làm tăng mùi hơi thở khó chịu. Mặt khác, tình trạng mở rộng nướu răng do phản ứng viêm hoặc dùng thuốc (chẳng hạn như phenytoin, cyclosporin hoặc thuốc chẹn kênh canxi) cũng có thể làm tăng nguy cơ có mùi hôi.

Bên cạnh tình trạng nha chu, các tổn thương sâu không được điều trị cũng tạo ra vùng lưu giữ các mảnh vụn thức ăn và mảng bám vi khuẩn gây ra mùi hôi. Một yếu tố quan trọng khác gây ra chứng hôi miệng là dòng chảy của nước bọt. Nước bọt có chức năng như chất đệm hoặc chất làm sạch và giữ cho vi khuẩn ở mức có thể kiểm soát được. Do đó, giảm lưu lượng nước bọt sẽ có tác động tiêu cực đến việc tự làm sạch miệng không đầy đủ gây ra chứng hôi miệng. Nguyên nhân gây giảm lưu lượng nước bọt có thể bị ảnh hưởng bởi nhiều lý do như thuốc (ví dụ: thuốc chống trầm cảm, thuốc chống loạn thần, thuốc lợi tiểu và hạ huyết áp), bệnh tuyến nước bọt (ví dụ: bệnh tiểu đường, hội chứng Sjorgen), hóa trị hoặc xạ trị.

Các yếu tố khác trong khoang miệng cũng góp phần gây ra chứng hôi miệng là các yếu tố nội nha, phẫu thuật và bệnh lý như răng bị lộ ra ngoài, bệnh lý khoang miệng, ung thư miệng và loét, vết thương trên phục hình hoặc răng giả, các dụng cụ cố định chỉnh nha, giữ răng vào ban đêm hoặc không thường xuyên vệ sinh răng giả, mão phục hình không thích ứng tốt, làm bong thân cầu và dính thức ăn vào kẽ răng. Tất cả những yếu tố này là khu vực giữ thức ăn hoặc mảng bám, làm tăng số lượng vi khuẩn, phân hủy mô, phân hủy axit amin và giảm lưu lượng nước bọt, dẫn đến việc giải phóng các hợp chất dễ bay hơi và gây ra chứng hôi miệng.


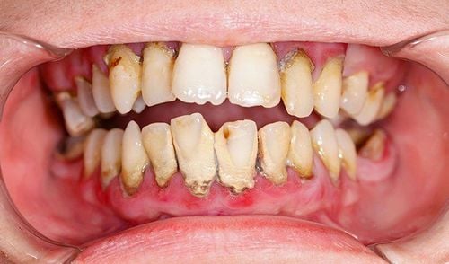
Nha chu là một trong các nguyên nhân hơi thở hôi
Nha chu là một trong các nguyên nhân hơi thở hôi

4. Các nguyên nhân hơi thở có mùi bên ngoài khoang miệng

Gần 8% các trường hợp hôi miệng có nguyên nhân từ bên ngoài nhưng ít khi gặp. Các vấn đề về hệ hô hấp, bệnh tiêu hóa, bệnh gan, rối loạn hệ thống huyết học hoặc nội tiết và các điều kiện trao đổi chất đều có thể là nguyên nhân gây hôi miệng.

Các vấn đề về hệ hô hấp có thể được chia thành các vấn đề về đường hô hấp trên và dưới. Đó là viêm xoang, u ác tính ở cổ họng, hở hàm ếch, dị vật trong mũi hoặc phổi, u ác tính ở mũi, áp xe dưới thận, nhiễm trùng mũi, u amidan, viêm amidan, u ác tính ở họng, nhiễm trùng phổi, viêm phế quản, và bệnh ác tính phổi giãn phế quản. Hoạt động của vi khuẩn trong các bệnh lý này gây ra chứng hôi miệng, dẫn đến thối rữa các mô hoặc gây hoại tử và loét mô và sản sinh ra khí có mùi hôi, hết hạn gây ra chứng hôi miệng.

Các bệnh về đường tiêu hóa gây ra chứng hôi miệng bao gồm hẹp môn vị, tắc nghẽn tá tràng, thông động mạch chủ-ruột, túi hầu, túi thừa, thoát vị hoành gây ứ đọng thức ăn. Viêm thực quản trào ngược, chứng khó nuốt (achalasia), tăng tiết mỡ hoặc các hội chứng kém hấp thu khác có thể gây đầy hơi quá mức hoặc nhiễm Helicobacter pylori gây loét dạ dày sẽ làm tăng nồng độ vi khuẩn trong khoang miệng.

Ngoài ra, các bệnh về gan hoặc huyết học như suy gan và bệnh bạch cầu, suy thận, rối loạn hệ thống nội tiết là nhiễm toan ceton do đái tháo đường hoặc kinh nguyệt, rối loạn chuyển hóa trimethylamin niệu và tăng natri máu có thể gây ra chứng hôi miệng.

Ngoài ra, mọi người cũng có thể bị hôi miệng nếu ăn nhiều các loại thực phẩm có mùi như tỏi, hành, thực phẩm nhiều gia vị. Các sản phẩm khác như rượu, thuốc lá, trầu, lạm dụng dung môi súc miệng gây loạn khuẩn khoang miệng cũng có thể gây mùi khó chịu.

Tóm lại, các nguyên nhân hơi thở có mùi có thể bắt nguồn từ cả bên trong và bên ngoài miệng. Trong phần lớn các trường hợp, hôi miệng thường do vi khuẩn có trên răng và các mảnh vụn trên lưỡi gây ra. Chính vì vậy, khi lo lắng “miệng hôi là bệnh gì” hay nguyên nhân hơi thở hôi việc thăm khám với nha sĩ định kỳ có thể giúp loại trừ bệnh nha chu và xác định bất kỳ lý do nào, đem lại nụ cười đầy tự tin và rạng ngời.

Nguồn tham khảo: mouthhealthy.or, hopkinsmedicine.org, ncbi.nlm.nih.gov

Để đặt lịch khám tại viện, Quý khách vui lòng bấm số HOTLINE hoặc đặt lịch trực tiếp TẠI ĐÂY. Tải và đặt lịch khám tự động trên ứng dụng MyVinmec để quản lý, theo dõi lịch và đặt hẹn mọi lúc mọi nơi ngay trên ứng dụng.

Chia sẻ