Các bệnh máu ác tính liên quan đến huyết khối

Mục lục

Bài viết được tham vấn chuyên môn cùng Bác sĩ cao cấp, Bác sĩ chuyên khoa II Đoàn Dư Đạt - Bác sĩ Nội đa khoa - Khoa khám bệnh & Nội khoa - Bệnh viện Đa khoa Quốc tế Vinmec Hạ Long.

Ung thư máu là bệnh máu ác tính liên quan tới huyết khối, bệnh làm ảnh hưởng đến các tế bào máu, hạch lympho và tủy xương. Có nhiều cách phân loại bệnh nhưng hiện nay được chia thành 2 loại theo nguồn gốc tế bào: Dòng tủy, dòng lympho.

1. Huyết khối là gì?

Huyết khối là hiện tượng máu đông tại các mạch máu. Huyết khối có thể xảy ra ở mọi loại mạch máu, đa phần xuất hiện tại các tĩnh mạch, nhất là tĩnh mạch nằm sâu bên trong cơ thể thường ở chân gây ra bệnh huyết khối tĩnh mạch sâu.

2. Phân loại các bệnh máu ác tính

Nhóm bệnh máu ác tính là bệnh lý ung thư ảnh hưởng đến các tế bào máu, hạch lympho và tủy xương. Có nhiều cách phân loại các bệnh máu ác tính, nhưng bệnh thường được chia thành hai nhóm chính:

2.1 Bệnh liên quan tới bạch cầu (leukemia)


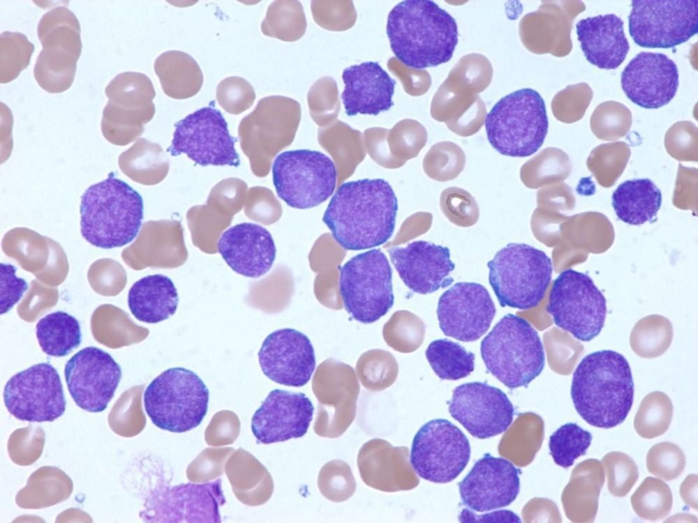
Hình ảnh bạch cầu cấp dòng lympho
Hình ảnh bạch cầu cấp dòng lympho

2.2 Bệnh liên quan tới u lympho (lymphoma)

2.2.1 U lympho Hodgkin

Thường bắt nguồn từ dòng tế bào lympho B. Gồm 4 thể chính là thể xơ nốt, thể hỗn hợp tế bào, thể giàu lympho bào, thể ít lympho bào

2.2.2 U lympho Non- Hodgkin

Gồm nhiều thể khác nhau tùy theo nguồn gốc tế bào chia làm hai nhóm chính là u lympho Non- Hodgkin dòng tế bào T và u lympho Non- Hodgkin dòng tế bào B.

Ngoài ra, bệnh nhân đang mắc ung thư sẽ tăng nguy cơ hình thành huyết khối do nhiều nguyên nhân. Bệnh huyết khối động mạch chủ là một biến chứng hiếm gặp nhưng có khả năng tàn phá cao ở bệnh mắc nhân ung thư đang được hóa trị dựa trên cisplatin. Bệnh nhân cần được chẩn đoán sớm và điều trị dứt điểm để giảm tỷ lệ bệnh tật và tử vong.


U lympho Non- Hodgkin là một bệnh máu ác tính
U lympho Non- Hodgkin là một bệnh máu ác tính

3. Biểu hiện ngoài da của các bệnh máu ác tính

3.1 Do căn nguyên nhiễm trùng

Biểu hiện thường gặp là nhiễm tụ cầu vàng, trực khuẩn mủ xanh gây áp xe hoặc loét ngoài da, nhiễm mycobacterium, viêm mô bào hoặc nhiễm virus nặng và lan tỏa: Virus HPV, zona, Herpes simplex virus.

Nặng hơn bệnh nhân có thể nhiễm nấm candida da niêm mạc và candida nội tạng hoặc nhiễm trùng huyết.

3.2 Do rối loạn miễn dịch

Bệnh nhân sẽ có biểu hiện đột ngột sốt, tăng bạch cầu đa nhân trung tính trong máu, và xuất hiện nhiều module hoặc mảng đỏ dưới da, gây đau, có thể loét. Thường bác sĩ sẽ cho bệnh nhân điều trị bằng corticoid toàn thân.

Rối loạn miễn dịch cũng gây ra viêm da mủ hoại thư biểu hiện bằng các u, cục, nodule rất đau, nhanh chóng vỡ tạo thành vết loét bờ nham nhở, màu đỏ tím, tái phát nhiều đợt, hay gặp ở những vị trí có vi sang chấn và cũng đáp ứng tốt với corticoid toàn thân. Bệnh cũng hay gặp trong nhóm bệnh bạch cầu cấp dòng tủyđa u tủy xương.


Bệnh cũng hay gặp trong nhóm bệnh bạch cầu cấp dòng tủy
Bệnh cũng hay gặp trong nhóm bệnh bạch cầu cấp dòng tủy

3.3 Biểu hiện ngoài da của u lympho dòng tế bào T

Các tế bào T ác tính trong cơ thể ban đầu chúng sẽ di chuyển đến da làm xuất hiện các tổn thương khác nhau. Tổn thương thay đổi khi bệnh tiến triển, thường bắt đầu là một dạng phát ban khiến cơ thể bị ngứa và cuối cùng hình thành các mảng bám và các khối u trước khi di căn đến các bộ phận khác của cơ thể.

Có nhiều nhóm bệnh khác nhau, có thể được phân loại thành:

  • Mycosis Fungoid
  • Các dạng khác của MF(Folliculin Tropic mycosis fungoides, Pagetoid reticulosis, Granulomatous slack skin.
  • Hội chứng Sezary
  • U lympho T tại da ở người lớn
  • U lympho T tại da có CD 30 (+) gồm : u lympho tế bào lớn, và u lympho dạng sẩn (Lymphomatoid papulosis)
  • U lympho dạng viêm mô mỡ dưới da (Subcutaneous panniculitis-like T-cell lymphoma )
  • U lympho tế bào T/ tế bào NK ngoài hạch

Bệnh máu ác tính liên quan tới huyết khối thường sẽ có biểu hiện bằng phát ban đỏ nhỏ nổi trên da và tiến triển dần gây ngứa, đau đớn và lở loét sau 1 thời gian. Vì vậy người bệnh cần thực hiện theo chỉ dẫn của bác sĩ để hiệu quả.

Để đặt lịch khám tại viện, Quý khách vui lòng bấm số HOTLINE hoặc đặt lịch trực tiếp TẠI ĐÂY. Tải và đặt lịch khám tự động trên ứng dụng MyVinmec để quản lý, theo dõi lịch và đặt hẹn mọi lúc mọi nơi ngay trên ứng dụng.

Chia sẻ