Sau nạo hút thai trứng bao lâu mới được mang thai lại?

Mục lục

Bài viết được tham vấn chuyên môn cùng Thạc sĩ, Bác sĩ Nguyễn Văn Thành - Bác sĩ Sản phụ khoa - Khoa Sản phụ khoa - Bệnh viện Đa khoa Quốc tế Vinmec Nha Trang.

Thai trứng là bệnh lý của các gai nhau phát triển bất thường. Sau khi can thiệp điều trị, bệnh nhân phải tránh thai và theo dõi lâu dài để đảm bảo không chuyển dạng ác tính. Chính vì thế, hút thai trứng bao lâu có thai lại được là câu hỏi của những người phụ nữ từng ngày khao khát làm mẹ.

1. Thai trứng là gì?

Thai trứng là một thai kỳ vẫn có sự thụ tinh nhưng bất thường trong sự phát triển của các gai nhau. Lúc này, nguyên bào nuôi phát triển quá nhanh nên tổ chức liên kết bên trong gai nhau cùng với các mạch máu không phát triển theo kịp, bị thoái hóa, phình to và trở thành các bọc nước, dính chùm, chiếm đầy lòng tử cung và lấn át cả bào thai.

Nguyên nhân gây hình thành thai trứng cho đến nay vẫn chưa được biết rõ. Các giả thiết đã được đặt ta là do thiếu dinh dưỡng chủ yếu là thiếu đạm, sinh con ở tuổi còn quá trẻ hay quá lớn tuổi, sinh đẻ nhiều hay cả bất thường về thể nhiễm sắc ở các tế bào nuôi trong thai trứng và các rối loạn miễn dịch.

Phần lớn các trường hợp thai trứng là lành tính. Tuy nhiên, có 15% thai trứng toàn phần và 3% thai trứng bán phần có nguy cơ tiến triển đến ung thư nguyên bào nuôi. Mặt khác, nếu không được chẩn đoán sớm và điều trị sớm, thai trứng gây chảy máu âm đạo rỉ rả hoặc bị sẩy tự nhiên, thành tử cung do bị thai trứng xâm lấn nên khó co hồi tốt, nguy cơ bị băng huyết cao, lượng máu mất rất nhiều và bệnh nhân dễ rơi vào sốc mất máu, nguy kịch đến tính mạng.

2. Chẩn đoán thai trứng như thế nào?


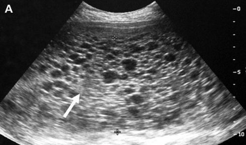
Khi siêu âm thấy lốm đốm được ví như hình ảnh tuyết rơi, hình ảnh chùm nho
Khi siêu âm thấy lốm đốm được ví như hình ảnh tuyết rơi, hình ảnh chùm nho

Sản phụ thường đến khám là do xuất huyết âm đạo. Máu màu đen hoặc đỏ, chảy bất thường kéo dài, lượng ít, dai dẳng. Ngoài ra, sản phụ cũng có thể bị ốm nghén nặng nề hơn bình thường, bị nôn nhiều hơn các lần có thai trước và kéo dài ngay cả khi qua đến tam cá nguyệt giữa.

Đi thăm khám không nghe thấy tim thai. Mật độ tử cung mềm, không sờ thấy hay rất khó sờ thấy các phần của thai nhi do bị chèn ép. Tử cung to hơn tuổi thai do tế bào nuôi tăng sinh quá mức, ngoại trừ thai trứng thoái hoá thì tử cung lại nhỏ hơn tuổi thai. Ngoài ra, sản phụ có thể bị phù, huyết áp cao, tiểu đục do mất protein qua niệu. Nhịp tim nhanh, da bàn tay ấm, run tay, tuyến giáp to và đôi khi có dấu hiệu vàng da, nước tiểu vàng...

Làm xét nghiệm thấy nồng độ ßhCG tăng rất cao, cao hơn tuổi thai và tăng nhanh liên tục. Khi siêu âm cũng không nghe thấy tim thai, không thấy hình ảnh phôi thai mà chỉ thấy lốm đốm được ví như hình ảnh tuyết rơi, hình ảnh chùm nho.

Trắc nghiệm: Bạn có hiểu đúng về dấu hiệu mang thai sớm?

Các dấu hiệu mang thai sớm không phải chỉ mỗi trễ kinh mà còn có rất nhiều dấu hiệu khác như xuất huyết âm đạo, ngực căng tức,… Điểm xem bạn biết được bao nhiêu dấu hiệu mang thai sớm thông qua bài trắc nghiệm này nhé!

3. Cách điều trị thai trứng như thế nào?

Quyết định chấm dứt thai kỳ cần phải được đặt ra ngay sau khi chẩn đoán xác định là thai trứng.

Khối thai trứng có thể lấy ra khỏi lòng tử cung với các biện pháp can thiệp tối thiểu trên tử cung bằng cách dùng dụng cụ nong cổ tử cung kết hợp với máy hút để hút trứng. Sau đó, để đảm bảo không bị sót trứng, bác sĩ sẽ dùng đến kìm hình tim, thìa to và thìa cùn nạo lại. Sau thủ thuật, bệnh nhân luôn được chỉ định kháng sinh để đề phòng nhiễm khuẩn.

Trong các trường hợp thai trứng xâm lấn thành tử cung, ăn lan phức tạp hay có nguy cơ biến chứng thành ung thư nguyên bào nuôi cao, cần phải chỉ định cắt tử cung dự phòng. Đối với thai trứng ác tính, còn phải điều trị bằng hoá chất chống ung thư bổ túc sau đó.

Chỉ riêng các trường hợp bệnh nhân còn trẻ tuổi, chưa có con mới được xem xét vấn đề nạo trứng lấy nhân di căn, hóa trị kèm theo để giữ lại tử cung. Tuy nhiên, sau đó, bệnh nhân cần được lên kế hoạch theo dõi sát, nếu thấy điều trị bảo tồn không kết quả thì phải mổ cắt tử cung.

4. Theo dõi sau nạo thai trứng ra sao?

Các mẫu mô sau nạo thai trứng đều được gửi xét nghiệm giải phẫu bệnh lý để xác định thai trứng lành tính hay ác tính.

Thông thường sau nạo thai trứng 3 đến 4 tuần, cấu trúc và sinh lý tử cung sẽ trở lại bình thường. Nếu tử cung còn to, âm đạo còn ra máu, nguy cơ thai trứng đã biến chứng thành ung thư nguyên bào nuôi.

Đồng thời, nồng độ hCG cũng sẽ được định lượng mỗi tuần một lần từ lúc nạo cho đến khi hCG xuống âm tính. Lúc này, thời điểm định lượng hCG sẽ dãn cách dần nếu các kết quả trước đó đều âm tính. Ngược lại, nếu nồng độ hCG không giảm hay vẫn còn cao bất thường thì phải nghĩ đến khả năng đã chuyển biến thành ác tính.

5. Vấn đề có thai lại sau hút thai trứng


Thai trứng không ảnh hưởng đến khả năng sinh sản về sau ngay cả khi người bệnh đã trải qua hóa trị
Thai trứng không ảnh hưởng đến khả năng sinh sản về sau ngay cả khi người bệnh đã trải qua hóa trị

Có một điều may mắn trong bệnh lý này là thai trứng không ảnh hưởng đến khả năng sinh sản về sau ngay cả khi người bệnh đã trải qua hóa trị. Cụ thể là thai trứng không làm tăng nguy cơ thai chết lưu, dị tật bẩm sinh, sinh non cũng như các biến chứng khác. Và tỉ lệ mắc thai trứng tái phát chỉ từ 1 - 2%.

Để được như vậy, các phụ nữ muốn có thai tốt nhất cần trì hoãn tối thiểu sau hai năm. Đây là khoảng thời gian ít nhất cần thiết để theo dõi và tiên lượng nguy cơ chuyển thành ác tính. Trường hợp có thai trước thời điểm này, nồng độ beta hCG sẽ tăng lên lại. Theo đó, bác sĩ sẽ không thể biết được liệu là một thai nghén bình thường hay tiến triển hóa ác của thai trứng.

Để tăng tính tuân thủ tránh thai, bác sĩ cần giải thích cho bệnh nhân hiểu rằng có thai lại sớm sẽ làm tăng nguy cơ thai trứng tái phát cũng như tiến triển đến ung thư nguyên bào nuôi rất cao. Theo đó, có những trường hợp lại bị tiếp thai trứng, thai lưu hoặc sẩy thai, khiến chị em thêm một lần đau buồn và ảnh hưởng sức khỏe.

Đồng thời, bệnh nhân cũng nên được hướng dẫn tránh thai bằng các phương pháp không can thiệp vào tử cung như dùng bao cao su phối hợp với canh ngày rụng trứng hay xuất tinh ngoài âm đạo. Tuyệt đối không dùng thuốc uống tránh thai hay dụng cụ tử cung nhằm thuận tiện trong việc theo dõi sau nạo thai trứng.

Sau thời gian theo dõi như quy định, trước khi mang thai lại, người phụ nữ phải được khám tổng quát cũng như chuyên sản phụ khoa, làm lại một số xét nghiệm, trong đó nhất thiết phải có kiểm tra nồng độ hCG trong nước tiểu. Chỉ khi hCG âm tính, quyết định mang thai lại mới phần nào được an toàn.

Khi biết mình có thai lại, sản phụ nên khám và siêu âm, xét nghiệm máu thường xuyên hơn một thai kỳ bình thường trong ba tháng đầu tiên để đảm bảo rằng không có gì bất thường. Bởi lẽ là chưa có cách nào phòng ngừa được thai trứng trong lần có thai tiếp theo, lời khuyên là khi thấy điều gì không bình thường, sản phụ cần phải đi khám ngay. Cũng như trong trường hợp vô tình có thai lại sớm hơn, nhất là trước 12 tháng, sản phụ phải được khám và theo dõi rất kỹ để đánh giá diễn tiến của bệnh và can thiệp ngay nếu cần.

Tóm lại, thai trứng dù không thường gặp nhưng gây dự hậu nặng nề nếu không được phát hiện sớm và can thiệp đúng cách. Đồng thời, cũng cần tuân thủ theo dõi sau can thiệp thai trứng, tránh thai theo quy định để đảm bảo sức khỏe sinh sản cho lần sau cũng như cho chính bản thân mình.

Nếu có triệu chứng bất thường, bạn nên được thăm khám và tư vấn với bác sĩ chuyên khoa.

Để đặt lịch khám tại viện, Quý khách vui lòng bấm số HOTLINE hoặc đặt lịch trực tiếp TẠI ĐÂY. Tải và đặt lịch khám tự động trên ứng dụng MyVinmec để quản lý, theo dõi lịch và đặt hẹn mọi lúc mọi nơi ngay trên ứng dụng.

Chia sẻ