Vai trò và chỉ định siêu âm xuyên thóp ở trẻ sơ sinh

Mục lục

Bài viết được tham vấn chuyên môn cùng Thạc sĩ, Bác sĩ Trịnh Văn Đông - Bác sĩ Chẩn đoán hình ảnh - Khoa Chẩn đoán hình ảnh - Bệnh viện Đa khoa Quốc tế Vinmec Hạ Long.

Siêu âm xuyên thóp ở trẻ sơ sinh là kỹ thuật hình ảnh giúp chẩn đoán một số bệnh lý hiệu quả. Đặc biệt siêu âm qua thóp rất an toàn, không gây ảnh hưởng tới cơ thể trẻ sơ sinh.

1. Siêu âm xuyên thóp là gì?

Ứng dụng đặc điểm giải phẫu đặc biệt của trẻ sơ sinh mà các chuyên gia đã sử dụng phương pháp siêu âm thóp để chẩn đoán bệnh lý của hệ thần kinh trung ương cho trẻ dưới 6 tháng tuổi, khi mà các thóp vẫn chưa đóng kín. Đặc biệt đối với trẻ đẻ thiếu tháng, nguy cơ bệnh lý thần kinh cao hơn.

Thóp là vị trí chưa khép hết của xương sọ do các sọ tạo ra. Khi trẻ mới sinh có tất cả 6 thóp bao gồm:

  • Thóp trước: Có kích thước lớn nhất, được tạo nên giữa hai xương trán và hai xương đỉnh sọ. Thời gian đóng trung bình là 14 tháng tuổi.
  • Thóp sau: Nhỏ hơn thóp trước, được tạo thành từ hai xương đỉnh và xương chẩm. Liền sau khoảng 2-3 tháng tuổi.
  • Hai thóp thái dương và hai thóp chũm không được nhắc tới nhiều nhưng các thóp này cũng là những cửa sổ siêu âm tốt để đánh giá bệnh lý thần kinh.

Siêu âm thóp sử dụng cửa sổ thăm khám gồm thóp trước (đây là cửa sổ rộng nên quan sát tốt), thóp sau, hai thóp thái dương và hai thóp chũm là cửa sổ tốt để đánh giá thùy chẩm. Siêu âm thóp thực hiện ở trẻ dưới 6 tháng tuổi khi các xương sọ chưa phát triển hoàn toàn, các khớp sọ chưa liền. Siêu âm sử dụng một đầu do có tần số phù hợp để thăm dò vùng thóp của trẻ, sóng siêu âm phát ra sẽ thu lại được hình ảnh cấu trúc não. Các cấu trúc não gồm nhu mô não, não thất, đồi thì và các mạch máu có thể nhìn thấy khi siêu âm thóp.

Những ưu điểm và nhược điểm của siêu âm qua thóp

Ưu điểm:

  • Sử dụng rộng rãi, nhất là trẻ sơ sinh non tháng.
  • Là phương pháp dễ làm, chi phí thấp, hầu như siêu âm là không xâm lấn và có thể làm ngay tại giường bệnh.
  • Sóng siêu âm cực kỳ an toàn và không sử dụng bức xạ.
  • Quét siêu âm cho hình ảnh rõ ràng về các mô mềm mà không hiển thị tốt trên hình ảnh chụp X quang.

Nhược điểm:

  • Khi siêu âm khó đánh giá vùng hố sau và các mặt lồi của não.
  • Ở những trẻ đẻ đủ tháng có triệu chứng ngạt trong vòng 24 giờ thì không thấy có thay đổi cấu trúc âm trên siêu âm.
  • Khó đánh giá tổn thương trong bệnh lý.

Siêu âm qua thóp giúp bác sĩ chẩn đoán bệnh lý của hệ thần kinh trung ương cho trẻ dưới 6 tháng tuổi
Siêu âm qua thóp giúp bác sĩ chẩn đoán bệnh lý của hệ thần kinh trung ương cho trẻ dưới 6 tháng tuổi

2. Chỉ định siêu âm xuyên thóp

Siêu âm thóp được chỉ định cho một số đối tượng sau:

  • Đối với trẻ sinh non cần được chăm sóc đặc biệt. Đối với đối tượng phải thường xuyên phải siêu âm thóp để loại trừ các biến chứng thần kinh của sinh non như xuất huyết não hoặc tổn thương chất trắng quanh não thất do ngạt. Bởi nguy cơ bệnh lý này tăng cao ở trẻ sinh non hơn so với trẻ sinh đủ tháng.
  • Trẻ xuất hiện tình trạng tăng kích thước đầu bất thường.
  • Thóp phồng

Nhận thấy bất kỳ triệu chứng về thần kinh bất thường nào ở trẻ. Như rối loạn vận động, xuất hiện dấu hiệu của hội chứng não màng não...

3. Vai trò của siêu âm xuyên thóp

Việc siêu âm xuyên thóp giúp chẩn đoán các bệnh lý thần kinh mắc phải và dị tật thần kinh ở trẻ.

3.1 Bệnh lý thần kinh mắc phải phát hiện qua siêu âm thóp

  • Xuất huyết não màng não ở trẻ ở sinh: Siêu âm thóp rất có giá trị trong chẩn đoán và tiên lượng tình trạng bệnh. Đối với trẻ thiếu tháng tỷ lệ xuất hiện bệnh ở những trẻ thiếu tháng lên tới 25-45%, trẻ nhẹ cân (<1500gam) và dưới 32 tuần, nguyên nhân do tăng áp lực lên mạch máu. Đối với trẻ đủ tháng thì ít gặp hơn, chiếm từ 2-4%, nguyên nhân do ngạt, sang chấn, thiếu yếu tố đông máu...
  • Xuất huyết tiểu não: Thường thấy ở trẻ thiếu tháng, nguyên nhân do thiếu máu não; sang chấn khi sinh, rối loạn đông máu... Sử dụng phương pháp siêu âm thóp, đặc biệt cửa sổ siêu âm là thóp sau, thóp thái dương để thăm khám vùng chẩm.
  • Hỗ trợ chẩn đoán xuất huyết ngoài màng cứng: Thường hiếm gặp, do sang chấn mạnh, thường cần kết hợp chụp cắt lớp vi tính.
  • Nhuyễn chất trắng quanh não thất: Là tình trạng hoại tử chất trắng quanh não thất do thiếu máu, có thể do suy thai trong thai kỳ hoặc khi sinh. Siêu âm thóp trước có giá trị chẩn đoán cao.
  • Phát hiện tình trạng khối u hoặc u nang trong não.
  • Bệnh lý nhiễm trùng như: Viêm màng não mủ di chứng, áp-xe não...

3.2 Một số dị dạng bẩm sinh phát hiện nhờ siêu âm thóp

  • Não úng thủy: Là hình ảnh giãn não thất bên và não thất III, có thể do mất cân bằng giữa sản xuất dịch não tủy và hấp thu hoặc do tắc nghẽn dòng chảy. Nguyên nhân hay gặp do các dị tật khác gây ra, nhiễm trùng thai kỳ, u nội sọ...
  • Bất thường thể trai: Teo thể trai, u mỡ thể trai
  • Dandy-walker: Là một bất thường do quá trình đóng của ống thần kinh gây ra. Biểu hiện thường thấy là tràn dịch não, não úng thủy, bất sản thùy nhộng.
  • Não nước.
  • Dị dạng tĩnh mạch galen...

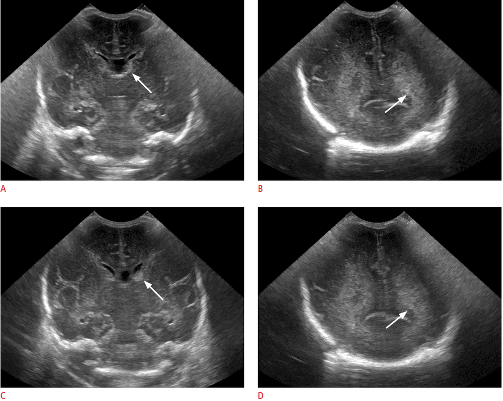
Hình ảnh kết quả siêu âm qua thóp trẻ sơ sinh
Hình ảnh kết quả siêu âm qua thóp trẻ sơ sinh

Siêu âm thóp có giá trị cao trong chẩn đoán bệnh lý thần kinh ở trẻ sơ sinh. Đặc biệt là phương pháp này rất đơn giản, hiệu quả, ít tốn kém, mà an toàn nhưng vẫn giúp ích rất nhiều trong chẩn đoán bệnh.

Những bệnh nhi sinh non, có bất thường về tăng kích thước đầu, thóp phồng hay có những dấu hiệu bất thường về thần kinh nên sử dụng phương pháp siêu âm qua thóp ngay đểu chẩn đoán và điều trị kịp thời.

Để đặt lịch khám tại viện, Quý khách vui lòng bấm số HOTLINE hoặc đặt lịch trực tiếp TẠI ĐÂY. Tải và đặt lịch khám tự động trên ứng dụng MyVinmec để quản lý, theo dõi lịch và đặt hẹn mọi lúc mọi nơi ngay trên ứng dụng.

Chia sẻ