Chủ đề U máu thùy trán phải
Chủ đề U máu thùy trán phải
Trang chủ Chủ đề U máu thùy trán phải

Danh sách bài viết

Slide item
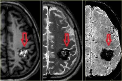
U máu thùy trán phải kiêng những gì?
Chào bác sĩ! Thưa bác sĩ, em bị u máu thùy trán phải. Bác sĩ cho em hỏi, em bị u máu thùy trán phải kiêng những gì ạ? Cảm ơn bác sĩ!
Xem thêm
Câu chuyện khách hàng Thông tin sức khỏe