Ai dễ bị thai bám vết mổ lấy thai

Mục lục

Thai bám vết mổ lấy thai là trường hợp hiếm gặp của sản khoa, tuy nhiên ngày nay tỉ lệ mổ lấy thai cao khiến thai bám ở sẹo mổ cũ có tỷ lệ tăng cao. Khi phát hiện ra thai bám ở sẹo mổ cũ, người bệnh cần phải nhập viện điều trị ngay lập tức vì thai càng lớn thì nguy cơ vỡ tử cung càng cao, gây nguy hiểm đến tính mạng người bệnh.

1. Thai bám vết mổ lấy thai là gì?

Thai bám ở sẹo mổ cũ là một dạng trong thai ngoài tử cung, thai nhi sẽ làm tổ ở vết sẹo mổ ở trên tử cung. Đây là trường hợp được các bác sĩ chuyên khoa đánh giá là khá hiếm gặp trong thai ngoài tử cung. Tuy nhiên hiện nay, tỷ lệ mổ lấy thai ngày càng gia tăng so với sinh thường dẫn đến tình trạng thai bám vào vết mổ lấy thai cũ cũng ngày càng tăng lên.

Có hai dạng thai bám ở sẹo mổ cũ:

  • Thai phát triển chủ yếu trong tử cung và làm tổ ở sẹo mổ cũ
  • Tại vị trí sẹo mổ cũ, thai bám sâu vào trong lớp cơ và phần mô sợi của tử cung.

Thai bám vết mổ lấy thai là tình trạng nguy hiểm của sản khoa. Nếu không phát hiện sớm để điều trị, bạn có thể gặp những biến chứng như nhau cài răng lược, vỡ tử cung, xuất huyết ồ ạt, xâm lấn bánh nhau vào bàng quang, có thể phải cắt tử cung hoặc không điều trị kịp thời có thể dẫn đến tử vong.


Thai bám vết mổ lấy thai là tình trạng nguy hiểm của sản khoa
Thai bám vết mổ lấy thai là tình trạng nguy hiểm của sản khoa

2. Các dấu hiệu nhận biết thai bám ở sẹo mổ cũ

Vì thai bám ở sẹo mổ cũ là một dạng của thai ngoài tử cung nên nó có đầy đủ các dấu hiệu của thai ngoài tử cung. Sau đây là các dấu hiệu nhận biết thai bám ở sẹo mổ cũ mà bạn nên lưu ý:

  • Mất kinh, rong kinh là triệu chứng điển hình của thai bám ở sẹo mổ cũ. Nếu bạn đã từng mổ lấy thai trước đó mà gặp tình trạng này thì nên thăm khám để xác định rõ tình trạng cơ thể mình.
  • Đau bụng, ra máu âm đạo bất thường
  • Có các triệu chứng mệt mỏi, nghén như phụ nữ có thai bình thường

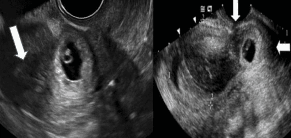
Ngoài các dấu hiệu trên, bạn có thể xác định xem mình có bị thai bám ở sẹo mổ cũ hay không bằng cách siêu âm âm đạo kết hợp với doppler, siêu âm 3D hoặc MRI không thường quy đối với những trường hợp khó chẩn đoán.

3. Ai dễ bị thai bám vết mổ lấy thai?

Những trường hợp sau đây dễ gặp tình trạng thai bám ở sẹo mổ cũ:

  • Nếu bạn đã từng mổ lấy thai thì sẽ có nguy cơ thai bám ở vết mổ lấy thai cũ
  • Đã từng làm những phẫu thuật trên cơ tử cung như bóc u xơ, may tái tạo tử cung, nhau cài răng lược đã mổ bảo tồn, mổ điều trị nhau tiền đạo
  • Đặc biệt phụ nữ nạo phá thai nhiều lần có nguy cơ cao bị thai bám ở sẹo mổ cũ hơn so với người bình thường.
  • Đã từng bị thai ngoài tử cung và làm phẫu thuật cắt bỏ
  • Sử dụng các phương pháp thụ thai nhân tạo như thụ tinh trong ống nghiệm, bơm tinh trùng...
  • Phụ nữ có tiền sử nhau thai bám chặt

4. Làm thế nào để điều trị thai bám ở sẹo mổ cũ?


Khi phát hiện mình bị thai bám ở vết sẹo mổ cũ, bạn tuyệt đối không được tự ý bỏ thai hay dùng thuốc bỏ thai ở bất kỳ cơ sở y tế nào
Khi phát hiện mình bị thai bám ở vết sẹo mổ cũ, bạn tuyệt đối không được tự ý bỏ thai hay dùng thuốc bỏ thai ở bất kỳ cơ sở y tế nào

Khi phát hiện mình bị thai bám ở vết sẹo mổ cũ, bạn tuyệt đối không được tự ý bỏ thai hay dùng thuốc bỏ thai ở bất kỳ cơ sở y tế nào. Bạn nên nhập viện hoặc đến các cơ sở y tế đủ điều kiện để chữa trị.

Điều trị thai bám ở sẹo mổ theo nguyên tắc bỏ thai, tránh tai biến và bảo tồn tối đa tử cung của người bệnh. Có 5 phương pháp điều trị tùy thuộc vào tuổi thai, kích thước túi thai, nguyện vọng sinh sản và tình trạng huyết động học của bệnh nhân:

  • Hủy thai trong túi ối: Phương pháp này sử dụng đối với thai đã có hoạt động tim thai, bác sĩ thực hiện dưới sự hướng dẫn của siêu âm qua cổ tử cung hoặc thành bụng.
  • Lấy khối nhau thai

Có hai cách để lấy khối nhau thai ra khỏi cơ thể người bệnh là nong nạo và phẫu thuật.

Nong nạo thường được thực hiện bởi các bác sĩ chuyên khoa có nhiều kinh nghiệm vì phương pháp này có nguy cơ xuất huyết rất cao. Để khắc phục tình trạng này, bác sĩ thường kết hợp với những phương thức cơ học khác như thắt động mạch tử cung trước, chèn bóng sau nạo.

Phẫu thuật được thực hiện với mục đích loại bỏ được khối nhau thai đồng thời bảo tồn được tử cung của người bệnh. Phương pháp này được chỉ định thực hiện khi bệnh nhân không đủ điều kiện để điều trị nội khoa và khối thai xâm lấn quá nhiều. Phương pháp này có ưu điểm giúp lấy hết mô nhau thai đồng thời sửa chữa lại sẹo mổ cũ để ngăn ngừa tái phát, nhược điểm của nó là đường mổ dài gây mất thẩm mỹ, thời gian hậu phẫu dài và có thể tăng nguy cơ rau tiền đạo và rau cài răng lược

  • Chèn ( tamponade): Phương pháp này được sử dụng với mục đích kiểm soát máu rỉ ra sau phẫu thuật hút thai
  • Hóa trị toàn thân: Mục đích làm giảm phân bố mạch máu ở khối thai, giúp tiêu hủy tế bào thai
  • Tắc mạch máu nuôi: Đây là phương pháp chuẩn bị cho phẫu thuật hoặc hóa trị, các phương pháp thực hiện là thắt động mạch tử cung ngả âm đạo, thắt động mạch chậu trong, tắc mạch cổ tử cung, tử cung hoặc động mạch chậu trong.

5. Những lưu ý sau khi điều trị thai bám vết mổ lấy thai


Sau khi điều trị thai bám vết mổ lấy thai, bệnh nhân nên tránh thai ít nhất 1-2 năm bằng phương pháp như thuốc tránh thai hay sử dụng bao cao su
Sau khi điều trị thai bám vết mổ lấy thai, bệnh nhân nên tránh thai ít nhất 1-2 năm bằng phương pháp như thuốc tránh thai hay sử dụng bao cao su

Bệnh nhân nên sử dụng thuốc bổ máu hoặc bổ sung sắt qua đường ăn uống.

Nên tránh thai ít nhất từ 1-2 năm bằng các phương pháp như sử dụng bao cao su, cấy que, dùng thuốc tránh thai. Tuy nhiên lưu ý không được sử dụng phương pháp đặt vòng tránh thai.

Nếu có thai lại sau thời gian ngắn điều trị, bệnh nhân nên thông báo tình trạng với bác sĩ, thăm khám để được tư vấn điều trị vì có nguy cơ nứt vết mổ.

Để đặt lịch khám tại viện, Quý khách vui lòng bấm số HOTLINE hoặc đặt lịch trực tiếp TẠI ĐÂY. Tải và đặt lịch khám tự động trên ứng dụng MyVinmec để quản lý, theo dõi lịch và đặt hẹn mọi lúc mọi nơi ngay trên ứng dụng.

Chia sẻ