Bài viết bởi Bác sĩ Lê Văn Bình Khoa Hồi sức tích cực - Bệnh viện Đa khoa Quốc tế Vinmec Times City
Phù phổi cấp ở trẻ có thể do rất nhiều nguyên nhân khác nhau gây ra, đây là bệnh lý cấp tính, bệnh nhi chỉ có thể giữ được tính mạng nếu như cấp cứu sớm và hiệu quả.
I. Phù phổi cấp là gì?
Phù phổi cấp là một cấp cứu nội khoa đe dọa tính mạng bệnh nhân. Biểu hiện lâm sàng là suy tim trái và suy hô hấp. Suy thất trái gây tăng áp lực nhĩ trái, tăng áp lực tĩnh mạch và mao mạch phổi làm tăng tính thấm mao mạch hậu quả thấm dịch vào phế nang cản trở sự trao đổi khí, suy hô hấp.
2. Nguyên nhân phù phổi cấp thường gặp ở trẻ em
Một số nguyên nhân gây phù phổi cấp thường gặp ở trẻ bao gồm:
- Viêm cầu thận cấp
- Cao huyết áp
- Thấp tim: Hẹp 2 lá
- Tim bẩm sinh có shunt trái - phải lớn
- Quá tải do truyền dịch hoặc truyền máu
- Suy thận cấp hoặc đợt cấp suy thận mạn
- Viêm cơ tim
- Bệnh tay chân miệng
- Ngộ độc khí CO
- Ngạt nước

3. Triệu chứng của phù phổi cấp ở trẻ em
3.1 Các tình trạng nghĩ đến chẩn đoán phù phổi cấp
- Tiền sử: Thấp tim, tim bẩm sinh, bệnh thận mạn tính
- Bệnh sử có tiểu ít, tiểu máu và phù gợi ý viêm cầu thận cấp
- Đột ngột suy tim cần nghĩ đến viêm cơ tim
- Đang truyền dịch tốc độ nhanh gợi ý quá tải
3.2 Các triệu chứng lâm sàng của phù phổi cấp
Phù phổi cấp thường xuất hiện đột ngột và tiến triển nhanh với các triệu chứng sau:
- Ho
- Khó thở, thở nhanh, phải ngồi thở
- Khạc đờm bọt hồng
- Nhịp tim nhanh
- Nghe phổi có tiếng ran ẩm ở 2 đáy phổi, trường hợp điển hình ran ẩm ở đáy phổi dâng lên
- Gan to, tĩnh mạch cổ nổi
- Áp lực tĩnh mạch trung tâm (CVP) cao
- Tim: nhịp ngựa phi hoặc tiếng tim bệnh lý
- Nặng: vật vã, tím tái, sốc

3.3 Các triệu chứng cận lâm sàng
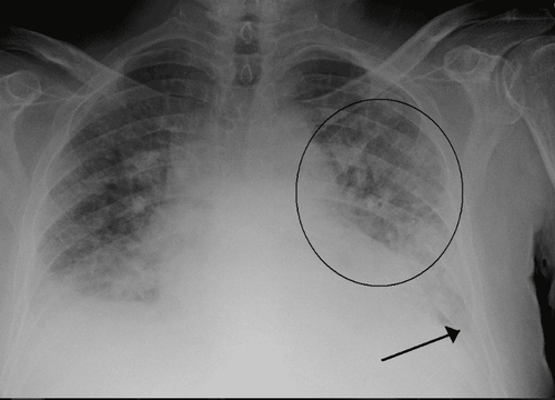
- X-quang tim phổi: Bóng tim to, đám mờ đối xứng từ rốn phổi lan sang hai bên có dạng hình cánh bướm.
- Khí máu động mạch: PaO2 giảm, PaCO2 có thể bình thường hoặc tăng trong trường hợp suy hô hấp nặng. Tỷ số PaO2/FiO2 < 300.
- Điện tim (ECG): Nhịp nhanh
- Siêu âm tim để chẩn đoán bệnh tim, đánh giá chức năng co bóp cơ tim.
- Tổng phân tích nước tiểu nếu nghi viêm cầu thận cấp.
- Nếu nghi ngờ thấp tim: Máu lắng tăng, ASLO.
- Troponine, CK trong trường hợp nghi viêm cơ tim.
4. Chẩn đoán phân biệt phù phổi cấp
Chẩn đoán phân biệt phù phổi cấp với các bệnh lý sau:
- Viêm phổi: Sốt, ho, khó thở, ran nổ, X-quang phổi có hình ảnh đông đặc phổi.
- Cơn hen phế quản cấp: Tiền sử có cơn hen, phổi có ran rít, X-quang phổi hình ảnh phù phổi.
- Xuất huyết phổi: Đờm có máu, không dấu hiệu suy tim, không phù phổi trên X-quang.
- Hội chứng suy hô hấp cấp (ARDS): Phù phổi trên X-quang, không suy tim, CVP bình thường.

5. Điều trị phù phổi cấp như thế nào?
5.1 Nguyên tắc điều trị
- Giảm lượng máu về tim
- Hỗ trợ hô hấp
- Thuốc tăng sức co bóp cơ tim
- Tìm và điều trị nguyên nhân
5.2 Điều trị cụ thể
- Ngừng truyền dịch nếu đang truyền dịch.
- Nằm đầu cao 30 độ.
- Thở máy không xâm nhập (NCPAP): Có tác dụng tránh xẹp phế nang cuối thì thở ra, tăng trao đổi khí, tăng oxy máu, giảm tỉ lệ đặt nội khí quản, giảm tử vong. Tăng áp lực lồng ngực làm giảm lượng máu về tim.
- Thông số: Bắt đầu với áp lực 4 - 6 cmH2O và FiO2 40 - 60% tăng dần áp lực và FiO2 đến khi có đáp ứng, tối đa áp lực 10 cmH2O và FiO2 80%.
- Nếu thất bại NCPAP tiến hành đặt NKQ giúp thở bằng bóng hay thở máy với PEEP cao 6 - 10 cmH2O.
- Nếu không có hệ thống NCPAP có thể cho bệnh nhân thở oxy canuyn 3 - 6 lít/phút hoặc oxy mặt nạ có túi dự trữ thở lại một phần.
- Thuốc:
Furosemid: Tác dụng lợi tiểu, giảm thể tích tuần hoàn và giãn mạch, giảm lượng máu về tim, giảm tiền tải. Liều 1 - 2 mg/kg/lần TMC có thể lặp lại sau 2 giờ khi cần.
Morphin sulfate: Tác dụng an thần, giảm vật vã kích thích và giãn tĩnh mạch, giảm tiền tải. Chống chỉ định ở bệnh nhân huyết áp tụt hoặc sốc hoặc cơn ngừng thở. Liều 0,1 - 0,2 mg/kg/lần TMC. Theo dõi sát hô hấp và huyết động (tác dụng phụ là ngừng thở và sốc).
Giãn mạch Nitroglycerin, Isosorbid dinitrat (Risordan): Tác dụng giãn tĩnh mạch làm giảm tiền tải, ngoài ra còn làm giãn tiểu động mạch, hạ huyết áp. Ngậm dưới lưỡi tác dụng nhanh sau vài phút (< 5 phút). Liều 0,5 mg/kg/lần ngậm dưới lưỡi lặp lại mỗi 15 - 30 phút khi cần.

Thuốc tăng sức co cơ tim:
Trường hợp bệnh nhân không sốc:
- Dobutamin: Thuốc được chọn lựa trong phù phổi. Tác dụng tăng sức co cơ tim và giãn mạch làm giảm tiền tải, thuốc ít gây tăng nhịp. Liều bắt đầu 3 μg/kg/ph TTM, tăng dần liều cho đến khi có đáp ứng, tối đa 10 μg/kg/ph TTM.
- Digoxin: Chỉ định khi suy tim kèm mạch nhanh do tác dụng tăng sức co cơ tim và làm chậm nhịp tim. Liều trẻ > 12 tháng 20 - 40 μg/kg/24 giờ TM (1⁄2 liều tiêm TM chậm, sau đó 1⁄4 liều ở giờ thứ 8 và 1⁄4 liều giờ thứ 16).
- Ức chế Phosphodiasterase (Milrinon): Chỉ định: Bệnh tay chân miệng có phù phổi kèm huyết áp cao. Tác dụng: tăng sức co cơ tim và giãn mạch ngoại biên làm giảm hậu tải, giảm kháng lực mạch máu phổi, giảm tiền tải. Chống chỉ định khi đang sốc. Liều 0,4 μg/kg/ph.
Trường hợp bệnh nhân sốc:
Dopamin: Tác dụng tăng sức co cơ tim, tăng tưới máu thận. Liều bắt đầu 3 μg/kg/ph TTM tăng dần liều cho đến khi có đáp ứng, tối đa 20 μg/kg/ph TTM.
- Nếu có cao huyết áp: Nifedipin (Adalate): 0,2 mg/kg ngậm dưới lưỡi.
- Chạy thận nhân tạo để rút dịch ra khỏi cơ thể trong trường hợp suy thận vô niệu.
- Garrot 3 chi luân phiên: hiện nay không còn khuyến cáo do:
CPAP và tác dụng nhanh và mạnh của các thuốc lợi tiểu, giãn mạch.
Kỹ thuật phức tạp, biến chứng thiếu tưới máu chi nếu không đúng kỹ thuật.
Trong phù phổi cấp do truyền dịch nhanh gây quá tải thường đáp ứng tốt với ngừng dịch, nằm đầu cao, NCPAP, ± Dobutamin.

5.3 Điều trị nguyên nhân các nguyên nhân gây phù phổi cấp:
- Suy tim do tim bẩm sinh
- Thấp tim
- Viêm cầu thận
5.4 Theo dõi
- Bệnh nhân phải được theo dõi sát trong vòng 24 giờ đầu để phòng ngừa phù phổi cấp tái phát.
- Theo dõi: Mạch, huyết áp, nhịp thở, ran phổi, nhịp tim, SaO2, tĩnh mạch cổ mỗi 5 – 15 phút trong giờ đầu. Theo dõi garros ba chi nếu có. Khí máu.
- Khám chuyên khoa tim mạch để tìm và điều trị nguyên nhân.
Bệnh viện Đa khoa Quốc tế Vinmec với hệ thống cơ sở vật chất, trang thiết bị y tế hiện đại cùng đội ngũ chuyên gia, bác sĩ nhiều năm kinh nghiệm trong khám điều trị bệnh lý thần kinh, người bệnh hoàn toàn có thể yên tâm thăm khám và điều trị tại Bệnh viện.
Để đăng ký khám và điều trị tại Bệnh viện Đa khoa Quốc tế Vinmec, Quý Khách có thể liên hệ Hệ thống Y tế Vinmec trên toàn quốc, hoặc đăng ký khám trực tuyến TẠI ĐÂY.
Để đặt lịch khám tại viện, Quý khách vui lòng bấm số HOTLINE hoặc đặt lịch trực tiếp TẠI ĐÂY. Tải và đặt lịch khám tự động trên ứng dụng MyVinmec để quản lý, theo dõi lịch và đặt hẹn mọi lúc mọi nơi ngay trên ứng dụng.