Sẹo sau phẫu thuật vú: Những điều cần biết

Mục lục

Bài viết bởi Thạc sĩ, Bác sĩ Nguyễn Lê Thảo Trâm - Bác sĩ Chẩn Đoán Hình Ảnh - Khoa Chẩn đoán hình ảnh - Bệnh viện Đa khoa Quốc tế Vinmec Nha Trang

Sẹo vú sau phẫu thuật là biến chứng lành tính thường xảy ra sau can thiệp ngoại khoa vào vú và rất dễ bị nhầm lẫn với tổn thương ác tính ở vú. Do đó, việc chẩn đoán xác định sẹo vú sau phẫu thuật và những tổn thương vú ác tính là vô cùng quan trọng.

1. Hình ảnh sẹo vú sau phẫu thuật

Sẹo vú sau phẫu thuật là biến chứng lành tính thường, tuy nhiên rất dễ nhầm lẫn với các tổn thương ác tính ở vú. Dựa vào hình ảnh một số kỹ thuật chẩn đoán hình ảnh, bác sĩ sẽ chẩn đoán chính xác đây là sẹo vú lành tính hay các tổn thương, dấu hiệu bệnh ung thư vú.

1.1. Nhũ ảnh

Hình ảnh sẹo vú sau phẫu thuật thường biểu hiện với vùng rối loạn cấu trúc, khối mô mềm bờ không rõ xen kẽ với những vùng thấu quang hoặc biểu hiện với khối bờ tua gai, đôi khi khối có nhiều nốt vôi hóa kèm theo. Sẹo vú sau phẫu thuật thường liên quan với sẹo trên da hoặc vùng can thiệp ngoại khoa trước đó. Chụp nhũ ảnh giúp đánh giá sẹo vú tốt hơn khi được đè ép và phóng đại tổn thương, đặc biệt với vật liệu định vị (kim định vị, dây định vị), nhũ ảnh có thể giúp phân biệt sẹo vú sau phẫu thuật với tổn thương khối ác tính khác. Tổn thương này sẽ ổn định hoặc giảm kích thước dần theo thời gian khi so sánh trên các phim nhũ ảnh.

1.2. Siêu âm

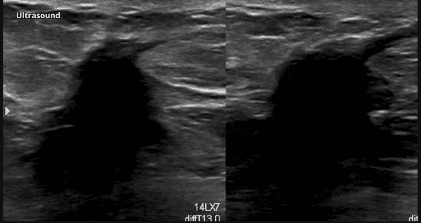
Siêu âm vú không những cho phép đánh giá hình ảnh tổn thương một cách rõ ràng mà còn cho phép đánh giá tính chất di động của tổn thương thông qua quá trình đè ép với thời gian thực (real-time). Hình ảnh siêu âm sẹo trong vú là cấu trúc hồi âm kém nguồn gốc từ mô liên kết tái tạo tăng sinh lan tỏa. Tổn thương có bờ không phân biệt, có bóng lưng. Mô sẹo xơ liên kết khi đè ép dưới đầu dò thường bị dẹt ra, làm khối hồi âm kém và bóng lưng biến mất. Đây là đặc điểm có thể dùng để phân biệt giữa u tái phát và sẹo sau phẫu thuật.

2. Chẩn đoán phân biệt sẹo vú phẫu thuật và tổn thương ác tính ở vú

Cần phân biệt sẹo vú sau phẫu thuật với tổn thương vú ác tính hoặc sẹo tỏa tia. Để phân biệt các tổn thương này có thể dùng tính chất thay đổi trên siêu âm (đã nói trên) và hỏi tiền sử can thiệp, phẫu thuật vú để khẳng định thêm.


Hình 1: Nhũ ảnh có hình ảnh co rút mô vú sau phẫu thuật và xạ trị.
Hình 1: Nhũ ảnh có hình ảnh co rút mô vú sau phẫu thuật và xạ trị.

Hình 2: Hình ảnh siêu âm thấy khối hồi âm kém bờ nhiều thùy có bóng lưng.
Hình 2: Hình ảnh siêu âm thấy khối hồi âm kém bờ nhiều thùy có bóng lưng.

Việc chẩn đoán xác định sẹo vú sau phẫu thuật với các tổn thương lành tính, ác tính ở vú rất quan trọng. Đây là yếu tố để bác sĩ xác định những dấu hiệu trên có phải là dấu hiệu bệnh ung thư vú hay khối u ác tính nào hay không? Do đó, để có những chẩn đoán chính xác, người bệnh cần chọn lựa các cơ sở y tế uy tín, có chuyên môn tốt để thực hiện các phương pháp chẩn đoán bệnh lý về vú.

Hiện nay, Bệnh viện Đa khoa Quốc tế Vinmec đã và đang tiếp tục trang bị đầy đủ các phương tiện chẩn đoán hiện đại như: PET/CT, SPECT/CT, MRI, siêu âm, chụp nhũ ảnh..., xét nghiệm huyết tủy đồ, mô bệnh học,.... để chẩn đoán các bất thường về vú.

Sau khi có chẩn đoán chính xác bệnh, giai đoạn, người bệnh sẽ được tư vấn lựa chọn những phương pháp điều trị phù hợp và hiệu quả nhất. Quá trình điều trị luôn được phối hợp chặt chẽ cùng nhiều chuyên khoa để đem lại hiệu quả cũng như sự thoải mái cao nhất cho người bệnh. Sau khi trải qua giai đoạn điều trị, bệnh nhân cũng sẽ được theo dõi, tái khám để nhận định việc điều trị ung thư có đem lại hiệu quả hay không?

Đặc biệt, hiện nay để nâng cao chất lượng dịch vụ, Vinmec còn triển khai Gói tầm soát ung thư vú có thể giúp Quý khách hàng phát hiện bệnh lý ung thư từ sớm trước khi chưa có triệu chứng, đem lại tiên lượng điều trị và cơ hội phục hồi bệnh cao.

Tài liệu tham khảo

  1. https://radiopaedia.org/articles/post-surgical-breast-scar-1?lang=us
  2. https://radiologykey.com/scars-the-treated-breast/

Để đặt lịch khám tại viện, Quý khách vui lòng bấm số HOTLINE hoặc đặt lịch trực tiếp TẠI ĐÂY. Tải và đặt lịch khám tự động trên ứng dụng MyVinmec để quản lý, theo dõi lịch và đặt hẹn mọi lúc mọi nơi ngay trên ứng dụng.

Chia sẻ