Viêm phổi Cytomegalovirus - Phần 2

Mục lục

Bài viết được viết bởi ThS.BS Ma Văn Thấm - Bác sĩ Nội Nhi, Khoa Nhi - Sơ sinh - Bệnh viện Đa khoa Quốc tế Vinmec Phú Quốc.

CMV là một trong những nguyên nhân gây viêm phổi kéo dài và tổn thương nặng nề ở phổi đặc biệt ở những trẻ suy giảm miễn dịch. Bệnh này có thể được quan sát thấy trong các trường hợp nhiễm HIV, bệnh ác tính, suy giảm miễn dịch bẩm sinh, cấy ghép tạng hoặc tủy xương.

6. Chẩn đoán huyết thanh học

  • Thử nghiệm trung hòa, miễn dịch huỳnh quang tìm kháng thể rất hữu ích trong chẩn đoán các trường hợp nhiễm trùng bẩm sinh nhưng không có biểu hiện lâm sàng.
  • Kháng thể đặc hiệu chống CMV là IgM và IgG. Kháng thể có trong sữa mẹ không ngăn chặn được sự lây truyền từ mẹ sang con và hạn chế được sự trầm trọng của bệnh.
  • Khi nhiễm CMV thì mang IgG dương tính suốt đời.

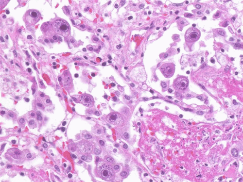
7. Sinh thiết phổi, hình ảnh giải phẫu bệnh

Cần thiết để chẩn đoán xác định viêm phổi do cytomegalovirus.

Hình ảnh giải phẫu bệnh tổn thương phổi có các tế bào phế nang khổng lồ với hình ảnh hạt vùi bào tương và hạt vùi CMV trong nhân với vòng sáng quanh nhân tạo ra hình ảnh giống mắt cú cùng với xét nghiệm PCR CMV dương tính là tiêu chuẩn vàng để chẩn đoán viêm phổi do CMV.


Sinh thiết tế bào phổi tổn thương do nhiễm CMV
Sinh thiết tế bào phổi tổn thương do nhiễm CMV

8. Xét nghiệm phân tử

Phản ứng dây chuyền polymerase (PCR).

III. CHẨN ĐOÁN

Có dấu hiệu viêm phổi theo tiêu chuẩn của WHO. Dựa vào triệu chứng lâm sàng không rất khó xác định, mà chủ yếu dựa vào cận lâm sàng:

  • CMV được phát hiện trên nuôi cấy nguyên bào sợi ở người.
  • Huyết thanh học và thử nghiệm kháng nguyên.
  • PCR và phân tích tế bào học.

1. Chẩn đoán trực tiếp

CMV được đào thải qua nước bọt, nước tiểu chất dịch phế quản nhiều tháng sau khi bi bệnh. phân lập virus bằng cách lấy bệnh phẩm và tổ chức xơ non ở người có nhiều phương pháp:

  • Xác định kháng nguyên huỳnh quang sớm: Bệnh phẩm nuôi cấy tế bào sau một đêm ủ cho phản ứng với kháng thể đơn dòng chống lại Cytomegalovirus gắn với huỳnh quang.
  • Xác định kháng nguyên bạch cầu: Các tế bào đơn nhân từ máu ngoại vi được tách ly tâm rồi nhuộm với kháng thể đơn dòng gắn enzyme hoặc huỳnh quang.
  • Xác định ADN của virus: Trong bệnh phẩm máu,dịch hầu họng, dịch phế quản bằng phản ứng khuếch đại chuỗi gen PCR.

+ Phản ứng khuếch đại chuỗi (PCR): PCR là một kỹ thuật phổ biến trong sinh học phân tử nhằm khuếch đại (tạo ra nhiều bản sao) một đoạn DNA mà không cần sử dụng các sinh vật sống như E.coli hay nấm men.

PCR CMV hiện nay là phương pháp có giá trị nhất trong chẩn đoán nhiễm CMV. Demmler G. J, G. J. Buffone nghiên cứu thấy PCR-CMV trong nước tiểu có độ nhạy là 93% và độ đặc hiệu là 100% khi chẩn đoán nhiễm CMV bẩm sinh.

PCR-CMV được thực hiện trên phương pháp Real-time PCR, tùy theo phương pháp chạy, kết quả có thể cho ta biết trong mẫu bệnh phẩm có DNA của CMV không (định tính) hoặc có bao nhiêu phân tử DNA-CMV trong mẫu đó (định lượng), tuy nhiên giá trị này là bao nhiêu thì có biểu hiện lâm sàng hiện nay vẫn chưa được nghiên cứu kỹ. PCR-CMV sẽ cho kết quả dương tính khi có >100 copies/mm3 plasma.

Viêm phổi do CMV khi tải trọng virus từ 5000cospis/ml ở bệnh nhân không thuộc nhóm suy giảm miễn dịch.


Chẩn đoán trực tiếp bằng cách xác định kháng nguyên huỳnh quang
Chẩn đoán trực tiếp bằng cách xác định kháng nguyên huỳnh quang

2. Chẩn đoán dựa vào huyết thanh

Nhiều kỹ thuật huyết thanh học dùng để xác định kháng thể kháng Cytomegalovirus trong huyết thanh bệnh nhân. Kháng thể lớp IgM được xác định bằng miễn dịch liên kết enzyme hoặc miễn dịch huỳnh quang; kháng thể IgG xác định bằng kỹ thuật ELISA hoặc thử nghiệm ngưng kết hồng cầu thụ động.

3. Chẩn đoán phân biệt

  • Viêm phổi do các loại virus khác.
  • Với các vi khuẩn hay gặp trong viêm phổi.
  • Viêm phổi do nấm.
  • Viêm phổi P.Carinii.
  • Viêm phổi do mycobacteria.

IV. ĐIỀU TRỊ

Thuốc kháng virus cùng các biện pháp khác:

Nâng cao thể trạng, tăng cường miễn dịch và chống các rối loạn nước, điện giải. Các biện pháp cụ thể như sau:

+ Tăng cường dinh dưỡng

+ Phòng chống bội nhiễm, tiêu chảy, rối loạn nước điện giải

+ Tăng cường miễn dịch bằng biện pháp thay thế để dự phòng nhiễm khuẩn cho những người bị các bệnh thiếu hụt IgG và các kháng thể khác.

Liều IGIM (Globulin miễn dịch) khởi đầu là 1,2 ml/kg. Sau đó dùng liều duy trì 0,6 ml/kg (ít nhất là 100 mg/kg) cách 2 - 4 tuần tiêm 1 lần; một vài người có thể cần phải tiêm nhiều lần hơn (khoảng cách thời gian ngắn hơn). Liều duy nhất tối đa là 30 - 50 ml cho người lớn và 20 - 30 ml cho trẻ em và trẻ nhỏ.


Điều trị viêm phổi do CMV cần tuân thủ theo phác đồ điều trị
Điều trị viêm phổi do CMV cần tuân thủ theo phác đồ điều trị

1. Các thuốc đã được sử dụng và nghiên cứu trong điều trị

1.1 Ganciclovir (biệt dược Cymevene 500mg)

Điều trị viêm phổi CMV chủ yếu hiện nay là Ganciclovir

Ganciclovir (biệt dược Cymevene 500mg)

Bản chất: là một dẫn chất của Guanosine có hoạt tính chống lại CMV mạnh hơn rõ rệt so với hoạt chất cũng nhóm là ACYCLOVIR. Ganciclovir là một đồng phân nucleoside có thể ức chế tổng hợp DNA giống acyclovir .điểm khác biệt CMV không chứa một thymidine kinase.

Tác dụng: Ganciclovir có hoạt tính chống lại CMV, HSV, VZV, HHV-6, HHV-7, HHV-8, tuy nhiên các đồng phân khác của nó có tác dụng ưu thế điều trị VZV và Herpes simplex.

Tác dụng không mong muốn: Ðộc tính lâm sàng của ganciclovir là có sốt, phát ban, tiêu chảy, xuất huyết giảm bạch cầu hạt, thiếu máu (20 - 25%), giảm tiểu cầu (6%), giảm bạch cầu trung tính (5% nếu uống, 14% nếu tiêm).

Giảm bạch cầu trung tính có thể xuất hiện ở tuần đầu hoặc tuần thứ 2 sau khi điều trị bằng Ganciclovir. Người bệnh AIDS có nguy cơ giảm bạch cầu trung tính nhiều hơn so với người bệnh bị suy giảm miễn dịch khác. Người bệnh suy giảm miễn dịch do thuốc có nhiều nguy cơ bị giảm tiểu cầu hơn người bệnh AIDS. Giảm bạch cầu thông qua giảm liều và hoặc thêm các yếu tố phát triển.

Khuyến cáo khi sử dụng không nên bắt đầu điều trị nếu số lượng bạch cầu trung tính dưới 500 tế bào /ul hoặc Hb dưới 8g/dl

Đường dùng - liều dùng: Dùng bằng đường truyền tĩnh mạch là dùng đường uống có nồng độ trong huyết thanh thấp hơn gấp 5-10 lần đường tĩnh mạch; nếu tiêm bắp hoặc tiêm dưới da, mô sẽ bị kích ứng nặng vì pH của ganciclovir cao (khoảng 11). Phải truyền tĩnh mạch chậm với tốc độ hằng định trong ít nhất 1 giờ, dùng dung dịch có nồng độ không quá 10 mg/ml, và người bệnh cần được cung cấp nước đầy đủ để tránh tăng độc tính. Dùng thiết bị tiêm truyền có màng lọc với lỗ xốp 0,22 - 5 micromet. Thuốc viên ganciclovir phải uống vào bữa ăn.

Tiêm truyền tĩnh mạch chậm trong 1 giờ: 5 mg/kg/ngày, 1 lần/ngày, dùng trong 7 ngày/tuần hoặc 6 mg/kg/ngày, dùng 5 ngày/tuần. Uống được chấp nhận dùng điều trị viêm võng mạc mắt 1000 mg, 3 lần/ngày, uống vào bữa ăn hoặc 500 mg/lần, 6 lần/ngày, cách nhau 3 giờ/lần, cùng với thức ăn.

Theo dõi trong điều trị:

- Tình trạng lâm sàng của bệnh nhân để nên tiếp tục điều trị hay dừng lại.

- Công thức máu : bạch cầu, tiểu cầu

* Hiện nay đề kháng với Ganciclovir rất ít, chưa có nhiều nghiên cứu về nó. kháng Ganciclovir do đột biến UL97,UL54.

1.2 Valganciclovir

Điều trị bằng Valganciclovir

  • Valganciclovir là một “prodrug” của Ganciclovir hoạt hóa trong ruột và trong gan đối với Ganciclovir;
  • Valganciclovir có sinh khả dụng là 60%. Valganciclovir 900 mg dùng đường uống 1 lần./ngày tương đương 1 lần/ ngày đường tĩnh mạch Ganciclovir 5 mg/kg;
  • Một nghiên cứu phân tích tổng hợp (meta-analysis) chỉ ra hiệu lực tương đương giữa 900 mg valganciclovir và 450mg trong điều trị dự phòng nhiễm CMV trên các bệnh nhân ghép tạng, dù liều 900 mg mỗi ngày có liên quan tăng nguy cơ gấp 3 lần giảm bạch cầu và 2 lần tăng nguy cơ thải ghép tạng;
  • Valganciclovir được dùng để điều trị các trường hợp CMV chọn lọc. Hầu hết kinh nghiệm coh thấy trên những người ghép tụy và thận và bệnh nhân HIV/AIDS có viêm võng mạc do CMV đã được thiết lập điều trị;
  • Thuốc cũng được dùng điều trị trước tiên hoặc phổ cập dự phòng CMV;
  • Tỷ lệ lọc cầu thận (glomerular filtration rate_GFR) < 10 là một chống chỉ định dùng Valganciclovir use.

Hình ảnh thuốc Valganciclovir được sử dụng trong điều trị viêm phổi do CMV
Hình ảnh thuốc Valganciclovir được sử dụng trong điều trị viêm phổi do CMV

1.3 Foscarnet

Bản chất: Foscarnet(natri phosphonofomat) là một chất ức chế chuỗi DNA của quá trình phosphoryl hóa. Thuốc được dùng để điều trị HSV kháng thuốc và các virus kháng với Ganciclovir. Đây là một thuốc điều trị virus có hiệu quả;

Thận trọng: Trên các bệnh nhân có vấn đề về chức năng thận. Các thay đổi nhỏ trong nồng độ creatinine đòi hỏi tính toán lại hệ số thanh thải thận. Foscarnet là một chất gây độc cho thận,bệnh nhân phải bổ sung nước.

Tác dụng không mong muốn: Foscarnet có thể gây chuyển hóa calcium và phosphorus. Các tác dụng ngoại ý khác gồm độc cho thận, thiếu máu, nhức đầu và buồn nôn. Thuốc có thể gây một phản ứng thuốc cố định trên dương vật.

Theo dõi trong điều trị

  • Chức năng thận.
  • Công thức máu.

Foscarnet không đòi hỏi quá trình phosphoryl hóa nội bào. Kháng thuốc Foscarnet là thứ phát đối với các đột biến của quá trình tổng hợp chuỗi DNA tại codon 696-845.

1.4 Cidofovir

  • Cidofovir là một nucleotide ức chế sự sao chép DNA;
  • Thuốc có hiệu quả chống lại nhiều loại virus, thuốc cũng được dùng điều trị viêm võng mạc do CMV khó trị trên các bệnh nhân nhiễm HIV;
  • Kháng thuốc Ganciclovir không cần thiết sử dụng đến Cidofovir;
  • Các bệnh nhân phải bù nước và thuốc phải chỉ định với probenecid để bảo vệ ống thận;

Liều lượng thuốc kháng virus trong điều trị nhiễm và bệnh lý do CMV

V. TIẾN TRIỂN VÀ TIÊN LƯỢNG

  • Với nhóm bệnh nhân suy giảm miễn dịch, CMV gây nhiễm trùng kéo dài và điều trị khó khăn
  • Nguy cơ tái lại cao, nhiễm đi nhiễm lại nhiều lần có thể gây tử vong ở nhóm bệnh này.
  • Với bệnh nhân không suy giảm miễn dịch, sau khi điều trị khỏi đợt cấp, trẻ có thể trở lại bình thường. Tiên lượng tốt trong nhóm bệnh nhân này.

CMV có thể gây tình trạng nhiễm trùng kéo dài cho trẻ
CMV có thể gây tình trạng nhiễm trùng kéo dài cho trẻ

VI. PHÒNG BỆNH

Hiện vẫn chưa có vắc-xin dự phòng CMV trên người. Các nghiên cứu mới đến pha 2, pha sử dụng thử nghiệm trên động vật.

Sàng lọc kỹ máu trước khi truyền máu, sàng lọc tủy xương tạng ghép trước khi đưa vào người nhận.

Trẻ bị bệnh thể vùi tế bào khổng lồ thải virus qua nước tiểu phải cách ly với những trẻ khác.

Có thể sử dụng CMV - globulin miễn dịch tiêm để hạn chế bớt các trường hợp nhiễm khi ghép tạng hoặc dự phòng nhiễm cho các bé có mẹ nhiễm tiên phát CMV trong lúc mang thai. Acyclovir hay valacyclovir có thể hạn chế bớt sự lây nhiễm CMV cho người nhận tạng ghép. Dự phòng cho những trẻ suy giảm miễn dịch do các nguyên nhân bị nhiễm CMV như ở bảng trong mục điều trị trên.

KẾT LUẬN

Tỉ lệ nhiễm CMV trên thế giới chiếm tỉ lệ khá cao.phần lớn không biểu hiện triệu chứng lâm sàng trên người khỏe mạnh nhưng CMV là nguyên nhân gây ra viêm phổi nặng nề ở trẻ em Nếu không được điều trị tốt có nguy cơ tử vong cao,nhất là trên nhóm trẻ suy giảm miễn dịch,và cả những trẻ không thuộc nhóm này.Việc chẩn đoán trên lâm sàng rất khó phân biệt với các loại nguyên nhân khác,chủ yếu được chẩn đoán xác định nhờ vào các xét nghiệm,PCR,cấy dịch hầu họng,phế quản,giải phẫu bệnh.Tuy nhiên có rất nhiều nghiên cứu cho thấy các triệu chứng ho,khò khè kéo dài trên 1 tuần ,điều trị kháng sinh hay các phương phap khac không tiến triển ,kèm theo các dấu hiệu gan,lách to,vàng da có thể nên điều trị theo hướng CMV và làm các xét nghiệm chẩn đoán xác định CMV.

Bệnh viện Đa khoa Quốc tế Vinmec là một trong những bệnh viện không những đảm bảo chất lượng chuyên môn với đội ngũ y bác sĩ giàu kinh nghiệm, hệ thống trang thiết bị công nghệ hiện đại. Bệnh viện cung cấp dịch vụ khám, tư vấn và chữa bệnh toàn diện, chuyên nghiệp, không gian khám chữa bệnh văn minh, lịch sự, an toàn và tiệt trùng tối đa. Khách hàng khi chọn thực hiện các xét nghiệm tại đây có thể hoàn toàn yên tâm về độ chính xác của kết quả xét nghiệm.

Xem thêm: Hướng dẫn chẩn đoán và điều trị viêm phổi

Để đặt lịch khám tại viện, Quý khách vui lòng bấm số HOTLINE hoặc đặt lịch trực tiếp TẠI ĐÂY. Tải và đặt lịch khám tự động trên ứng dụng MyVinmec để quản lý, theo dõi lịch và đặt hẹn mọi lúc mọi nơi ngay trên ứng dụng.

Chia sẻ