Chụp X Quang Hirtz trong chẩn đoán viêm xoang

Mục lục

Bài viết được tham vấn chuyên môn cùng Thạc sĩ, Bác sĩ Trịnh Văn Đông - Bác sĩ Chẩn đoán hình ảnh - Khoa Chẩn đoán hình ảnh - Bệnh viện Đa khoa Quốc tế Vinmec Hạ Long.

Chụp Xquang Hirtz là một phương pháp được thực hiện khá phổ biến có thể giúp bác sĩ quan sát được cụ thể bên trong các hốc xoang sàng trước, xoang sàng sau và xoang bướm.

1. Bệnh viêm xoang là gì?

Xoang là các hốc xương rỗng, có kích thước khác nhau nằm trong khối xương sọ mặt, ở xung quanh hốc mũi và thông với hốc mũi. Các xoang được lót bởi niêm mạc liên tục với niêm mạc hốc mũi. Ngoài tác dụng giúp làm giảm trọng lượng của hộp sọ, các xoang còn có nhiều chức năng quan trọng khác như giúp cộng hưởng âm thanh, giúp cung cấp oxy nuôi dưỡng hệ thống xương. Xoang được xem là các hốc hỗ trợ cho mũi, giúp làm ấm, ẩm luồng không khí thở.

Viêm xoang là tình trạng các hốc xoang bị bít tắc, chứa dịch hay mủ, lớp niêm mạc lót các xoang bị viêm nhiễm. Viêm xoang được phân loại tùy theo thời gian mắc bệnh:

  • Viêm xoang cấp: Các triệu chứng sổ mũi, nghẹt mũi, đau đầu, đau nhức vùng mặt,... xuất hiện đột ngột nhưng không kéo dài quá 4 tuần.
  • Viêm xoang bán cấp: thời gian mắc bệnh kéo dài từ 4-8 tuần.
  • Viêm xoang mạn tính: các triệu chứng của viêm xoang kéo dài hơn 8 tuần.
  • Viêm xoang tái phát: là tình trạng người bệnh bị nhiều đợt viêm xoang trong cùng 1 năm.

Bệnh nhân viêm xoang nếu không được điều trị sớm sẽ gây ra nhiều biến chứng
Bệnh nhân viêm xoang nếu không được điều trị sớm sẽ gây ra nhiều biến chứng

Có nhiều nguyên nhân gây viêm xoang như do nhiễm virus, vi khuẩn, do bị tổn thương lớp niêm mạc sau chấn thương, do dị ứng với một số tác nhân khác như phấn hoa, khói bụi, hóa chất,....

Viêm xoang là một bệnh lý rất phổ biến ở nước ta, chiếm khoảng 25-30% tổng số bệnh nhân đến khám các bệnh lý tai mũi họng và có xu hướng ngày càng tăng. Bệnh ảnh hưởng nhiều đến sức khỏe, gây ra các triệu chứng gây khó chịu như nghẹt mũi, giảm khứu giác, đau tức vùng trán, chảy nước mũi vàng xanh, đặc,.... Theo đó, người bệnh viêm xoang nếu không được chẩn đoán và điều trị kịp thời, có nguy cơ gặp nhiều biến chứng nguy hiểm như viêm đường hô hấp, viêm ổ mắt, viêm dây thần kinh thị giác sau nhãn cầu, viêm màng não, áp xe não, viêm tắc mạch máu,...

2. Chụp Xquang Hirtz trong chẩn đoán viêm xoang

2.1. Các phương pháp chụp X-quang chẩn đoán viêm xoang

Để chẩn đoán bệnh viêm xoang, ngoài dựa vào các triệu chứng lâm sàng, bác sĩ sẽ chỉ định các phương pháp chẩn đoán hình ảnh như nội soi, CT scanner mũi xoang, siêu âm mũi, chụp X-quang,... để đánh giá chính xác tình trạng bệnh. Chụp X-quang xoang là một phương tiện chẩn đoán được sử dụng phổ biến hiện nay. Dựa vào hình ảnh X-quang bác sĩ sẽ quan sát được cụ thể tình trạng bên trong các hốc xoang. Có nhiều phương pháp chụp X-quang có thể được sử dụng như:

  • Chụp X-quang xoang tư thế Blondeau (chụp x quang tư thế mũi-cằm-phim): giúp nhận biết được tình trạng xoang hàm, xoang trán và hốc mũi.
  • Chụp X-quang Hirtz (chụp x quang tư thế cằm- đỉnh phim): giúp nhận biết tình trạng của xoang sàng trước, xoang sàng sau và xoang bướm.
  • Chụp X-quang xoang tư thế Schuller chẩn đoán các bệnh viêm nhiễm ở xoang chũm.
  • Chụp X-quang xoang tư thế Stenvers: giúp thấy hình chiếu của toàn bộ xương đá trên phim X-quang từ phần ngoài tới phần trong mỏm chũm của xương đá.

Bác sĩ chỉ định tư thế chụp tùy thuộc vào mục đích và khu vực xoang cần chụp X-quang.


Hình ảnh viêm xoang trên phim Blondeau
Hình ảnh viêm xoang trên phim Blondeau

2.2. Chụp X-quang Hirtz (chụp x quang tư thế cằm- đỉnh phim) thực hiện như thế nào?

Chụp X-quang Hirtz được thực hiện khi người bệnh được chẩn đoán bệnh viêm xoang sàng trước, viêm xoang sàng sau hoặc viêm xoang bướm. Ngoài ra, chụp X-quang Hirtz còn cung cấp chi tiết việc đánh giá tầng trước đáy sọ, vùng cánh bướm.

Để chụp X-quang Hirtz người bệnh sẽ được hướng dẫn nằm ở tư thế ngửa đầu sao cho đầu thả khỏi thành bàn để đỉnh đầu chạm vào phim, tia X đi từ trên xuống dưới.

Để thu được hình ảnh chuẩn xác, phục vụ tốt cho việc chẩn đoán, phim phải được đặt cân đối 2 bên phải và trái. Vách ngăn mũi chiếu thẳng giữa 2 răng số 1. Hình chiếu hai xoang sàng trước và sau trên cùng một bình diện, mốc phân định là khe 2 răng hàm số 6 và 7. Cung hàm trên và hàm dưới trùng nhau thành một hình vòng cung.


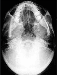
Chụp X-quang Hirtz là một trong những phương pháp chẩn đoán viêm xoang
Chụp X-quang Hirtz là một trong những phương pháp chẩn đoán viêm xoang

2.3. Nhận định kết quả chụp x quang Hirtz trong chẩn đoán viêm xoang

Trong điều kiện bình thường, hình ảnh các xoang sàng trước và sau sáng đều, các vách ngăn của các tế bào sáng rõ.

Nếu xoang mắc bệnh lý, các tế bào sàng mờ đều hoặc đặc do có mủ, niêm mạc dày, polyp trong xoang. Nếu các vách ngăn sàng không rõ, bị mất đi hoặc bị phá hủy, có thể người bệnh bị polyp mũi hoặc u ác tính.

Khi nghi ngờ xoang có dị vật, bác sĩ sẽ chỉ định chụp thêm tư thế sọ nghiêng để xác định vị trí cụ thể. Nếu nghi ngờ có khối u, polyp trong xoang hàm, bác sĩ sẽ chỉ định bơm chất cản quang vào xoang để chụp phát hiện.

3. Viêm xoang được điều trị như thế nào?

Sau khi có kết quả chụp x-quang Hirtz cùng với triệu chứng lâm sàng và các xét nghiệm, nếu xác định người bệnh bị viêm xoang, tùy theo mức độ bệnh bác sĩ sẽ kê đơn thuốc điều trị phù hợp. Ngoài ra, bác sĩ sẽ hướng dẫn các thủ thuật để hỗ trợ cho việc điều trị bằng thuốc như xông mũi, rửa xoang mũi. Nếu phương pháp điều trị nội khoa không hiệu quả, tình trạng viêm nhiễm kéo dài, gây ảnh hưởng nhiều đến cuộc sống người bệnh, bác sĩ có thể chỉ định phẫu thuật điều trị viêm xoang.

Ăn uống đủ chất, tăng cường vận động để tăng sức đề kháng, hạn chế tiếp xúc khói bụi, không khí ô nhiễm, giữ ấm cơ thể khi thời tiết giao mùa,... là các biện pháp có thể giúp hạn chế nguy cơ mắc bệnh viêm xoang hoặc hạn chế viêm xoang tái phát.


Duy trì thói quen tập luyện giúp bạn ngăn ngừa bệnh viêm xoang
Duy trì thói quen tập luyện giúp bạn ngăn ngừa bệnh viêm xoang

Nếu thấy xuất hiện các triệu chứng của viêm xoang bạn nên khám ngay để kịp thời chẩn đoán sớm và điều trị, tránh các biến chứng.

Để đặt lịch khám tại viện, Quý khách vui lòng bấm số HOTLINE hoặc đặt lịch trực tiếp TẠI ĐÂY. Tải và đặt lịch khám tự động trên ứng dụng MyVinmec để quản lý, theo dõi lịch và đặt hẹn mọi lúc mọi nơi ngay trên ứng dụng.

Chia sẻ